Основні
симптоми і
синдроми при
захворюваннях
нирок.
Синдром
ниркової
недостатності.
Методи
клінічних
досліджень.
Симптоми:
Біль у
попереку, зумовлений
розтягуванням
ниркової
капсули, спазмом
сечоводів, запаленням
навколониркової
клітковини, інфарктом
нирки. Сама
ниркова
тканина
больових
рецепторів
не має. Тупий
ниючий біль у
попереку
може бути при
гострому,
рідше хронічному
гломерулонефриті.
При
хронічному
пієлонефриті
біль частіше
однобічний, тупий; при
інфаркті
нирки –
однобічний
гострий біль.
Іноді біль
може бути
дуже
сильним, так
звана ниркова
коліка, яка
виникає
внаслідок
закупорки
сечовода
каменем або
при його
перегині при
опущеній
нирці. Біль
при нирковій
коліці
однобічний, іррадіює
в
пах, статеві
органи, і
відповідне
підребер’я.
При коліці хворий
неспокійний, кидається
у ліжку.

Сечовий
синдром. До
поняття
„сечовий
синдром”
входять: помірна
протеїнурія
(від 100 мг до
Альбумінурія – поява
альбуміну в
сечі – дуже
важливий
симптом, який
найбільш
часто
виявляють
при ураженні
нирок.
Ранішня
сеча, як
правило, не
містить
білка. Але
після
посилених
фізичних
навантажень,
після
вживання
великої
кількості
їжі, при
сильному
охолодженні
і в здорових
осіб може
з’являтися
білок у сечі
(не більше 0,04-0,05 %) –
так звана
фізіологічна
альбумінурія.
Сюди ж можна
віднести
альбумінурію,
яка
спостерігається
у деяких
здорових (у
підлітків та
юнаків),
звичайно
астенічного
типу людей,
особливо
якщо у них
визначається нефроптоз
у
вертикальному
положенні
тіла і зникає
в лежачому
положенні –
ортостатична
(циклічна)
альбумінурія.
Вона також
виникає у
разі
тривалого
стояння або
ходіння, не
перевищує
Далі
слід
виділити
випадкову,
або несправжню,
альбумінурію,
коли поява
білка в сечі
залежить від
домішок в ній
білкововмісних
утворів
(гній, кров).
Справжня,
або ниркова,
альбумінурія
вказує на
ураження
нирок.
Форменні
елементи в сечі
мають двояке
походження: з
крові або з
самих нирок і
сечовивідних
шляхів. Елементи
кров’яного
походження – лейкоцити
і еритроцити,
елементи
місцевого
походження –
епітелій
сечовивідних
шляхів і
нирок та
сечові
циліндри.
Лейкоцити або
гнійні
клітини в
осаді сечі у
здорових під
мікроскопом виявляються
в кількості 1-3
екземпляри в
полі зору.
Більшу їх
кількість –до
10-20 лейкоцитів
у полі зору –
спостерігають
при багатьох
ниркових
захворюваннях
(нефрити,
пієлонефрити).
Велика ж
кількість
лейкоцитів,
які
вкривають
все поле зору
і дають
значний осад
в сечі
(піурія),
характерна для
запалення
сечовивідних
шляхів (ниркових
мисок –
пієліт,
сечового
міхура –
цистит або
сечовидільного
каналу –
уретрит). Для встановлення
походження
лейкоцитурії
використовують
трьохсклянкову
пробу Томпсона.
Еритроцити в дуже
малій
кількості,
поодинокі в
полі зору або
в препараті
можуть
зустрічатися
і в
нормальній
сечі. Поява
еритроцитів
у більш
значній
кількості
(кілька еритроцитів
у кожному
полі зору,
місцями –
групами) має
вже
діагностичне
значення і
отримала
назву
гематурії
(мікрогематурія).
Домішка
крові в сечі
в кількості 1
мл на літр
надає їй
кров’янистого
відтінку
(макрогематурія).
Спостерігаючи
за
сечовипусканням
хворого з
гематурією,
можна
визначити її
джерело.
Від
гематурії
треба
відрізняти
гемоглобінурію,
тобто появу в
сечі
вільного
гемоглобіну.
Гемоглобінурія
вказує на
різко виражені
процеси
руйнування
еритроцитів
(гемоліз).
Спостерігають
гемоглобінурію
переважно
при
отруєнні гемолітичними
отрутами, пароксизмальній
гемоглобінурії, малярії.
Клітини
плоского
епітелію сечового
міхура і
сечовидільного
каналу в
незначній
кількості, іноді
цілими
шарами, є
ознакою
запального
процесу у
сечовивідних
шляхах.
Хвостаті
епітеліальні
клітини,
клітини ниркового
епітелію
свідчать про
безперечні
органічні
зміни в
ниркових
канальцях.
Виділення
циліндрів із
сечею –
циліндрурія
– є одним із
найважливіших
симптомів
ниркових
захворювань, але
семіологічне
значення
різних видів
циліндрів
різне.
Епітеліальні
і зернисті
циліндри
мають велике
значення як
прямі докази
ураження
ниркової
паренхіми і
вказують на гострий
процес.
Гіалінові
циліндри
виявляють
при гострих і
хронічних
нефритах,
амілоїдозі, а
також при
фізіологічній
протеїнурії.
Гіалінові
циліндри
можна знайти
в сечі
здорових людей
при
збільшенні
її питомої
ваги і зниженні
рН, що
характерно
для
дегідратації.
Воскоподібні
циліндри
спостерігають
звичайно тільки
при
хронічних і
тяжких
захворюваннях
нирок, найчастіше
при
приєднанні
амілоїдного
переродження
судин.
Кількість
циліндрів
залежить від
гостроти, а
не тяжкості
ураження
нирок.
Крім
цих, власне
ниркових
циліндрів, у
сечі нерідко
можна
виявити
лейкоцитарні
циліндри (при
вираженій
піурії), кров’яні
циліндри, що
складаються
з еритроцитів
(при
кровотечах), сечокислі
циліндри (при
виділенні
великої
кількості
сечокислих солей).

Нефротичний
синдром. Нефротичний
синдром - симптомокомплекс, який
характеризується
вираженою протеїнурією (понад
Нефротичний
синдром
спостерігається
при
хронічному
гломерулонефриті, амілоїдозі, малярії, сепсисі, туберкульозі, системних
захворюваннях
сполучної
тканини, цукровому
діабеті та
інших
захворюваннях,
але частіше він
виникає при
хронічному
гломерулонефриті.
Загальний
аналіз крові
характеризується
наявністю
гіпохромної
анемії, зумовленої
втратою із сечею
трансферину
– білка, що
переносить залізо, ШОЕ
збільшена
внаслідок
диспротеїнемії
та анемії.
Довготривала
і стійка
протеїнурія
призводить
до стійкого
зниження
вмісту білка
в плазмі
крові (у 1,5 і
навіть 2 рази).
Значно зменшується
вміст
альбумінів.
У період
набряків
звичайно
зменшений
діурез (250-400 мл
сечі), висока
відносна
густина (1030-1040) і висока
кількість
білка (до 10-20 г/л
і більше).
В осаді сечі
– велика
кількість
гіалінових, зернистих
і
воскоподібних
циліндрів, клітини
ниркового
епітелію.
Лейкоцити і
еритроцити в
осаді сечі
при нефротичному
синдромі не
виявляються.
Основні
функціональні
проби нирок
тривало
залишаються
нормальними.
Перебіг. Якщо
основне
захворювання
не прогресує –
довготривалий, роками.
Нерідко
спостерігають
повторні
пневмонії, бешиху, судинні
тромбози.
Прогноз визначається
основним
захворюванням
і приєднаною
інфекцією.
Пієлонефрит (pyelonephritis) —
неспецифічне
бактерійне
запалення
стінок
ниркових
мисок, інтертубулярного
інтерстицію
з
послідуючим
ураженням
кровоносних
судин і
паренхіми нирок.
Розрізняють
одно- і
двобічний, гострий
і хронічний
пієлонефрит.
Якщо
пієлонефрит
виникає у
разі
відсутності
морфологічних
змін в
сечових
шляхах, то
такий пієлонефрит
називають
первинним.
Пієлонефрит, що
виникає при
наявності
аномалій
нирок і
сечових
шляхів, порушення
відтоку сечі
(стриктури
сечових
шляхів,конкременти, нефроптоз, аденома
передміхурової
залози тощо)
носить назву
вторинного.
Гострий
пієлонефрит.
Гострий
пієлонефрит (pyelonephritis acuta) (ГПН)
виникає
внаслідок
проникнення
в нирку
інфекційного
агента
(кишкова
паличка,стафілокок, протей),
частіше
висхідним
шляхом з
сечового
міхура, сечоводів
урогенно, гематогенно
і лімфогенно
з вогнищ
інфекції в
інших
органах.
Шляхи
проникнення
інфекції до нирок:
через
просвіт
сечоводу за
наявності
міхурово-сечовідного
рефлюкса; гематогенний
шлях, якщо в
організмі є
вогнища інфекції
(тонзиліт, аднексит, гайморит
тощо).
Клініка. Як
правило ГПН
починається
з підвищення температури
тіла до
38-39°С, лихоманки, головного
болю, тупого
болю в
поперековій
ділянці,однобічного
або
двобічного, дизурії.
Може бути
нудота, блювота, біль
в м'язах, суглобах.
Стан хворого
тяжкий з
явищами інфекційно-токсичного
шоку. На
губах -
герпетичні
висипання.
Дихання
почащене, везикулярне.
Тахікардія.
Язик
сухий, обкладений.
Сечопуск
частий, болючий, іноді
— затримка
сечі.
Позитивний
симптом
Пастернацького
на хворому
боці.
Діагностика. Сеча —
відносна
щільність
зменшена
(1012-1015), що пов'язано
з порушенням
функції
дистального
відділу
канальців
нирок, в
зв’язку з чим
порушується
реабсорбція
води, може
бути
поліурія.
Реакція
сечі кисла.
Для пієлонефриту
характерні
лейкоцитурія,
бактеріурія.
Можуть бути
незначно
виражені
гематурія і
протеїнурія
(до 1
г/л), ціліндрурія
(гіалінові, зернисті, епітеліальні).
Позитивні
проби
Нечепуренка,
Аддіс-Каковського,
Амбурже.
Нерідко сеча
виділяється
мутна, має лужну
реакцію,
неприємний
запах, з
осадом солей
і гнійними
пластівцями.
Під
мікроскопом
виявляють в
усьому полі зору
лейкоцити,
зернисті
циліндри, а
також еритроцити.
Загальний
аналіз крові
—
нейтрофільний
лейкоцитоз з
нейтрофільозом, збільшення
ШОЕ.
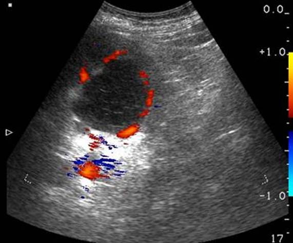
Дані інструментальних
методів
дослідження
(УЗД нирок та
сечових
шляхів, екскреторна
урографія, сканографія, комп’ютерна
томографія)
допомагають
встановленню
діагнозу.
Якщо перебіг
хвороби сприятивий, то
через 1
місяць
настає видужання.
Іноді
захворювання
має прогресуючий
перебіг з
періодами
загострення
і ремісії. Ця
форма часто
переходить в
хронічний
піелонефрит.
Гострий
піелонефрит
може дати
ускладнення: паранефрит, абсцеси
в
нирках, уросепсис, піелонефроз, гостра
ниркова
недостатність.
Лікування: режим
ліжковий; молочно-рослинна
дієта з
виключенням
алкоголю, гострих
страв, консервів, кави.
Рекомендується
пити відвари
шипшини,компоти, мінеральні
води
(Трускавецької, Миргородської)
до 3 л на добу.
Антибактерійну
терапію слід
проводити, враховуючи
збудника і
його чутливість
до
атибіотиків:
а)
використовують
пеніцилін,
напівсинтетичні
пеніциліни,
гентаміцин,
фосфоміцин,
клафоран і
ін., б) призначають
нітрофуранові
препарати:
фуразолідон,
фурагін ( по 0,1
г 3—4 р на добу 7-10
днів), а також
бісептол-480 ( по 2
т. 2-3 р. в день 2-3
тижні), 5-НОК (
по 0,1 г 4 р. в
день 2-3 тижні ).
Антибактерійну
терапію
поєднують з
протигрибковими
засобами,
спазмолітиками,
діуретиками.
Хронічний
пієлонефрит.
Хронічний
пієлонефрит (pyelonephritis chronica, ХПН ) - хронічне
неспецифічне
запалення
інтерстиціальної
тканини
нирок і слизової
оболонки
мисок з
наступним
ураженням
кровоносних
судин і
тенденцією
до прогресування.
Хронічний
пієлонефрит
може бути
наслідком
неефективного
лікування
гострого пієлонефриту.
Розвитку
його сприяє
застій сечі,
запальні
захворювання
жіночих
статевих органів,
апендицит,
сечокам’яна
хвороба, цукровий
діабет,
хронічні
інтоксикації.
На розвиток
захворювання
впливає стан
імунної
системи,аутоімунні
реакції.
Основний шлях
проникнення
інфекції —
висхідний (уриногенний), який
реалізується,
головним
чином, у разі порушення
уродинаміки (сечокам'яна
хвороба, аномалії
та стриктури
сечових
шляхів, пухлини, вагітність
тощо).
Інфекція
поширюється
із ниркових
мисок на
ниркову
паренхіму.
У фазі
загострення
ХНН основні
симптоми нагадують
клінічні
ознаки
гострого
пієлонефриту.
Клініка. Розрізняють
латентну, рецидивуючу, гіпертензивну, анемічну
і азотемічну
форми
захворювання.
В залежності
від форми в
клінічній
картині
наявні всі чи
окремі
симптоми.
Хворих
можуть
турбувати
підвищення
температури
тіла, лихоманка, біль
в ділянці
нирки чи обох
нирок, головний
біль, загальна
слабість,швидка
стомлюваність, дизуричні
розлади. При
нирковій
недостатності
втрачається
апетит, турбують
нудота, блювота, спрага, метеоризм.
При огляді
хворих може
відмічатись
блідість і
сухість
шкіри.
Нирки не
пальпуються, може
бути
напруження і
болючість
м’язів
живота.
При
перкусії
відмічається
зміщення
лівої межі
серцевої
тупості
назовні від
середньоключичної
лінії (при
наявності
артеріальної
гіпертензії).
При
аускультації:
над легенями
везикулярне
дихання. Тони
серця
ослаблені,
акцент ІІ тону
над аортою.
Спостерігається
підвищення артеріального
тиску, як
систоличного,
так і
діастолічного.
Зміни на
очному дні:
артерії
вузькі, вени
розширені (retinopathia hypertonica). При
прогресуванні
захворювання
— крововиливи, у
важких
випадках —
відшарування
сітківки.
У крові:
анемія, лейкоцитоз
з
нейтрофілією, лімфопенією, тромбоцитопенія, прискорення
ШОЕ.
Сеча: питома
вага в кінці
захворювання
знижується
до 1003-1005
(гіпоізостенурія).
Білок у сечі
в невеликій
кількості (до
1 г/л).
Лейкоцитурія
різна в окремих
порціях
сечі, тому
необхідно
досліджувати
сечу за
Нечипоренком,
Амбурже і за Аддіс-Каковським.
При
пієлонефриті
лейкоцитурія
переважає
над
еритроцитурією,
характерна
наявність
осмотично
активних лейкоцитів
в сечі
(клітин
Штернгеймера-Мальбіна).
Бактеріологічне
дослідження
сечі виявляє
значну
кількість
бактерій.
Проба за
Зимницьким
на початку
захворювання
виявляє
гіпостенурію, а
пізніше — гіпоізостенурію.
Знижується
кліренс
креатиніну, сечовини.
Збільшується
рівень
сечовини і
креатиніну в
сироватці
крові.
При
рентгенологічному, ультразвуковому
дослідженні
нирок, комп’ютерній
томографії
знаходять
розширення і
деформацію
ниркових
мисок
різного
ступеня
вираженості, асиметрію,
зморщення
нирок.

Перебіг хронічного
пієлонефриту
при
своєчасному
і адекватному
лікуванні
сприятливий.
Частіше під
впливом
охолодження, інфекцій, інтоксикацій, порушення
дієти можуть
виникати рецидиви, що
ведуть до
прогресування
захворювання.
З часом
рецидиви
стають
частішими, ремісії
короткими.
Прогресування
хвороби веде
до розвитку
вторинно
зморщеної
нирки, ниркової
недостатності.
Лікування: необхідно
уникати
переохолоджень
і простуд;
дієта № 7 (при
загостренні
захворювання).
При анемії —
продукти,
багаті на
залізо (полуниці, яблука,гранати), корисно
вживати виноград, кавуни, дині.
Антибактеріальні
препарати
призначають
10-12 денними
курсами з
переривами в
2-3 тижні.
Широко
застосовують
похідні
налідиксової
кислоти —
неграм,невіграмон;
нітрофурани, бісептол, сульфаніламідні
препарати
короткочасної
дії (етазол, уросульфан).
Перед
призначенням
уросептиків
обов’язково
визначають
вид збудника
і його
чутливість
до
протимікробних
засобів.
Призначають
також
вітаміни групи
В, аскорбінову
кислоту, антигістамінні
препарати, спазмолітики.
За
наявності
гіпертензивного
синдрому обмежують
кількість
кухонної
солі до 4-6 г на добу, призначають
гіпотензивні
засоби.
При анемії
рекомендуються
препарати
заліза. У
фазі ремісії
—
санаторно-курортне
лікування
(Трускавець, Гусятин,
Сатанів,
Південний
берег Криму).
Захворювання
нирок і
сечовивідних
шляхів
Анатомо
фізіологічні
особливості
нирок і
сечовивідних
шляхів.
Сечовивідна
система
забезпечує
виведення з
організму
азотистих
шлаків,
рідини, регулювання
артеріального
тиску, об'єму
циркулюючої
крові,
підтримання
кислотно-лужної
рівноваги і
електролітного
балансу в організмі.
Система
сечовиділення
складається
з нирок, в
яких
утворюється
сеча, і зі
сечовивідних
шляхів. Нирки
розміщені
позаочеревинно,
по обидва
боки
хребетного
стовпа, на
рівні між XI-XII
грудними і II-III
поперековими
хребцями, права
– на один
хребець
нижче від
лівої. Кожна
нирка
оточена
жировою
клітковиною
і вкрита
щільною
оболонкою-капсулою
tunica fibrosa. Нирки фіксуються
в своєму ложі
судинами,
шаром позаочерсвинного
жиру,
нирковою
фасцією, а
також
внутрішньочеревним
тиском. При
вдиху нирки в
нормі зміщуються
на 4-5 см вниз і
легко
доступні для
пальпації.
Над правою
ниркою
розташована
печінка, над
лівою –
селезінка.
Нирка
складається
з коркового і
мозкового
шарів. У
корковому
шарі
містяться
клубочки
(гломерули) –
капілярні
петлі
ниркової
артерії.
Кожний клубочок,
охоплений
спеціальною
капсулою Шумлянського–Боумена,
утворює
мальпігійове
тільце. До
кожного
клубочка
підходить привідна
артеріола (vas
аfferens); її петлі і
утворюють
клубочок;
відводить
кров з
клубочка відвідна
артеріола (vas
еfferens). Від
капсули
відходить
шийка
канальця.
Більшість
канальців розміщена
в мозковому
шарі.
Структурною
одиницею
нирки є
нефрон, який
складається
з мальпігійового
тільця і
системи
ниркових
канальців. У
нирках є
близько 2 млн.
клубочків, а
площа
фільтруючої
поверхні
епітелію
канальців
становить 50 м2.
У звичайних
умовах
одночасно
працює
тільки
частина
клубочків, що
створює
значний
функціональний
резерв нирок.
Нирки
мають
особливу
судинну сітку:
по-перше,
ниркова
артерія
відокремлена
безпосередньо
від аорти і
має великий
калібр;
по-друге,
ниркові
артерії
утворюють дві
капілярні
сітки (у
клубочку і
навколо канальців).
Маса крові,
яка
проходить
через нирки
за хвилину, у 2,5
раза
перевищує
масу власне
органа; в
нормі за добу
через судини нирок
перетікає 1000 л
крові. Від
інтенсивності
кровообігу
головним
чином
залежить ступінь
очищення
крові.
Сеча по
канальцях
надходить до
миски, далі через
сечовід – до
сечового
міхура, де
скупчується
і виділяється
назовні при
сечовипусканні.
Ємкість сечового
міхура у
нормі 300-500 мл.
Миски і
сечовід завдяки
скороченню і
перистальтиці
беруть
участь у
сечовиділенні.
З'ясовано,
що в процесі
утворення
сечі в гломерулах
відбувається
фільтрація
плазми за
винятком
білків;
первинна
сеча, яка
містить
рідину і розчинені
в ній
речовини,
згодом
реабсорбується
в канальцях.
Повністю
піддається
зворотному
всмоктуванню
цукор, трохи
менше – кухонна
сіль і
рідина, ще
менше –
сечовина, зовсім
не
всмоктуються
креатинін,
сульфати. Тому
при
діагностуванні
захворювань
нирок слід
враховувати
виділення
азотних шлаків:
креатиніну і
сечовини, а
також
продуктів
білкового
обміну,
фосфатів і
сульфатів.
Водно-сольовий
обмін,
ступінь
кровопостачання
нирок, рівень
артеріального
тиску регулюються
нейрогуморальною
системою
(ренін,
ангіотензин,
альдостерон,
вазопресин),
що також потрібно
брати до
уваги при
аналізі
діяльності
нирок.

Основні
симптоми
захворювань
нирок.
Із
місцевих
суб'єктивних
симптомів
найбільше
значення
мають біль,
порушення
сечовиділення,
із загальних
– явища
уремічної
інтоксикації,
гіпертензії,
ниркової недостатності.
Ниркові
кольки –
тупий або
гострий біль
у ділянці
нирок
внаслідок
розтягнення
капсули при
гострому
запальному
процесі у нирках,
мисках або
принирковій
клітковині.
Дизурія –
болісне або
утруднене
сечовипускання,
яке
спостерігається
при захворюванні
сечового
міхура,
уретри, мисок
і сечоводів.
Полакіурія
– часті
позиви до
сечовипускання
з виділенням
щоразу
незначної
кількості
сечі.
Поліурія
– виділення
великої
кількості
сечі.
Ніктурія
– виділення
надмірної
кількості
сечі за нічні
години при
звичайному
прийманні
рідини, що
переважає
виділення
сечі за день.
Олігурія
– зменшення
утворення
кількості
сечі
внаслідок
ураження
клубочково-канальцевого
апарату, яке
може перейти в
анурію.
Анурія –
стан, при
якому нирка
не виробляє сечі
або коли сеча
не потрапляє
до сечового міхура.
Розрізняють
секреторну і
екскреторну
анурію.
Секреторна
анурія –
припинення
секреції
ниркою сечі –
розвивається
при тяжких
нефритах,
отруєннях,
тромбозах
ниркових
судин.
Екскреторна
анурія виникає
внаслідок
обтурації
сечоводів
каменем,
перетискання
їх пухлиною,
збільшеними
лімфатичними
вузлами.
Затримка
сечі –
неможливість
самостійного
виділення
сечі зі
сечового
міхура внаслідок
змін
нервово-м'язового
апарату або
механічного
закупорення
виходу з
міхура і
сечовипускного
каналу.
Симптом
Пастернацького
– відчуття
різкого болю
при
постукуванні
по спині в
ділянці
нирок.
Застійна
сеча
характеризується
значною концентрацією
азотистих
шлаків,
високою питомою
вагою,
підвищеним
вмістом
білка.
Циліндрурія
– наявність у
сечі
циліндрів, які
утворюються
в дистальних
канальцях нирок
і є зліпками
білка.
Зернисті
циліндри складаються
із детриту
злущеного
епітелію
канальців;
воскоподібні
циліндри
товстіші,
мають
гомогенну структуру
і чіткі
контури.
Гіалінові
циліндри –
утворення з
глікопротеїну,
який
секретується
канальцями.
Гематурія
– виділення
зі сечею
еритроцитів.
Гемоглобінурія
– виділення
ниркою гемоглобіну
без
наявності в
сечі
формених
елементів.
Гострий
гломерулонефрит.
Гломерулонефрит
–
гетерогенне
захворювання,
для якого
характерна
наявність
імунологічних
та
клініко-морфологічних
проявів
запалення,
насамперед
клубочків
нирок.
Етіологія.
У виникненні
гломерулонефриту
вирішальним
є вплив
інфекційних
чинників,
передусім
бета-гемолітичного
стрептокока
групи А (його
виявляють у 60%
хворих), а
також
стафілококової
інфекції.
Деякі штами
вірусів також
вивчаються
як можливі
етіологічні
чинники.
Наприклад,
доведена
роль Нbs–АГ у
виникненні
мембранозної
гломерулопатії.
До причин
гломерулонефриту
можна
зарахувати
надмірну
інсоляцію,
дію деяких
хімічних та медикаментозних
засобів,
травми тощо.
Виникненню
захворювання
сприяють
різке охолодження
тіла,
надмірна
вологість
повітря.
Вакцинація
також є одним
із чинників
розвитку
гломерулонефриту,
причому
здебільшого
ураження нирок
виникає
після другої
або третьої
ін'єкції
вакцини.
Патогенез
гострого
гломерулонефриту
пов'язують з
імунними
розладами. У
відповідь на
проникнення
в організм
чужорідних
антигенів
утворюються
імунні
комплекси. При
надмірному
надходженні
в організм
екзогенних
антигенів
створюються
умови для тривалої
циркуляції в
організмі
імунних комплексів.
Останні
відкладаються
на базальній
мембрані
клубочкових
капілярів і викликають
локальні
зміни в
стінці капілярів
– пошкоджуючи
їх
ендотеліоцити,
спричиняють
агрегацію
тромбоцитів
та інших
формених
елементів
крові, що
супроводжується
капілярним стазом,
порушеннями
мікроциркуляції.
Внаслідок
зміни
властивостей
компонентів
клітинних
мембран у
процесі
метаболізму
арахідонової
кислоти
утворюються
тромбоксани,
простагландини,
лейкотріени,
які значною
мірою впливають
на розвиток
гломерулонефриту.
Крім цього,
відзначаються
активізація
системи зсідання
крові,
депресія
фібринолізу,
паракоагуляція,
що
призводить
до
відкладення фібрину
у просвіті
капілярів
клубочка, а
отже, до
порушення
мікроциркуляції.
Циркуляторні
та
нейроендокринні
розлади, що
виникають
при цьому,
зумовлюють
різноманітність
клінічних
проявів
гломерулонефриту.
Клінічна
картина.
Розрізняють
такі основні
синдроми:
сечовий, гіпертензивний,
набряковий.
Сечовий
синдром –
поява у сечі
білка (протеїнурія),
формених
елементів
крові
(еритроцити,
лейкоцити),
циліндрів
(циліндрурія).
Гіпертензивний
синдром
виникає
внаслідок
активізації
ренін-ангіотензин-альдостеронової,
симпатико-адреналової
систем,
затримки
солей натрію
і води,
зниження
активності
депресорної
системи.
Набряковий
синдром
пов'язують із
порушенням
клубочкової
фільтрації,
затримкою в організмі
натрію і
води,
надлишком
альдостерону
і
антидіуретичного
гормона,
зниженням
онкотичного
тиску,
підвищеною
проникністю
капілярів.
Крім
цього,
відзначаються
загальні
симптоми:
слабість,
зниження
працездатності,
головний
біль,
підвищення
температури
тіла до 38°С,
задишка під
час
навантаження.
Розрізняють
такі
клінічні
форми
гострого гломерулонефриту:
1)
моносимптомний
—
виявляється
лише сечовим
синдромом;
2)
нефротичний
– набряки,
виражена
протеїнурія,
гіпопротеїнемія,
гіперліпідемія;
3)
розгорнутий
–
артеріальна
гіпертензія,
помірні
набряки,
симптоми
недостатності
кровообігу.
При об'єктивному
обстеженні
відзначається
блідість
шкірних
покривів,
набряки
різного ступеня
вираженості
(від набряків
під очима вранці
до анасарки,
асциту).
Артеріальний
тиск
переважно
підвищений
незначно.
Симптоми
лівошлуночкової
серцевої
недостатності
виникають при
тривалих
порушеннях
метаболізму
в серцевому
м'язі, при
гіпертонічному
кризі, значному
збільшенні
об'єму
циркулюючої
крові
внаслідок
затримки
натрію і
води. У всіх хворих
виявляється
сечовий
синдром.
Загальний
аналіз крові
виявляє
анемію, помірний
лейкоцитоз,
прискорення
ШОЕ, а також
підвищений вміст
серомукоїду,
сіалових
кислот,
фібриногену,
С-реактивного
протеїну,
АСЛ-0, імунних
комплексів.
При
неускладнених
формах гострого
гломерулоінефриту
рівень
сечовини і
креатиніну
не
змінюється.
У сечі
визначається
протеїнурія,
гематурія,
циліндрурія,
рідше –
помірна
лейкоцитурія.
Гематурія
може мати
вигляд
макрогематурії
(сеча має
колір
„мясних
помиїв”) і
мікрогематурії
(до 10-15 еритроцитів
у полі зору).
Ускладнення
гострого
гломерулонефриту:
лівошлуночкова
серцева
недостатність,
еклампсія,
гостра ниркова
недостатність.
Діагностика
базується на
таких
проявах захворювання,
як гострий
початок в
поєднанні зі
сечовим
синдромом,
набряки,
підвищення
артеріального
тиску, а
також на
даних анамнезу
хвороби.
Лікування
гострого
гломерулонефриту
обов'язково
стаціонарне,
зі строгим
ліжковим
режимом 1-1,5
місяця (до
нормалізації
артеріального
тиску, ліквідації
набряків).
Дієта – стіл
№ 7. При цьому
необхідно
обмежити
вживання
рідини і кухонної
солі. При
високому
ступені
активності
процесу
призначають
безсольовий,
стіл і
обмежують
вживання
тваринних
білків.
Медикаментозне
лікування
передбачає
призначення
антибіотиків,
гіпотензивних
і сечогінних
засобів,
патогенетичну
терапію.
Антибіотики
приймають
протягом 7-10
днів при
післястрептококовому
гломерулонефриті.
При підборі
антибіотиків
слід уникати
препаратів, які
мають
нефротоксичну
дію
(канаміцин,
мономіцин
тощо).
Найчастіше
використовують
пеніцилін
або
напівсинтетичний
пеніциліни.
Гіпотензивна
терапія
полягає у
застосуванні:
1) заспокійливих
і засобів
центральної
дії (валеріана,
собача
кропива
(пустирник),
півонія,
бром),
транквілізаторів
(реланіум,
сибазон,
тазепам); 2)
антиадренергічних
препаратів
(допегіт,
клофелін,
аміназин,
анаприлін, фентоламін);
3)
периферичних
вазодилататорів
(апресин,
нітропрусид).
Останнім
часом призначають
такі
препарати, як
коринфар (ніфедипін),
каптоприл.
Гіпотензивними
засобами є
також
діуретики.
Діуретичні
препарати
призначають
при набряках,
артеріальній
гіпертензії,
серцевій
недостатності.
Добре виводять
натрій з
організму
гіпотіазид,
фуросемід,
урегіт,
бринальдикс
Найбільш
ефективний
із них
фуросемід,
який, крім
цього, має найменшу
калійуретичну
дію.
Патогенетична
терапія
спрямована
на забезпечення
імунної
рівноваги в
організмі хворого
шляхом
використання
засобів, які
пригнічують
утворення або
видалення
антитіл. З
цією мстою
призначають
мембранний
плазмоферез,
імуносорбцію,
гемосорбцію,
препарати
імунодепресивної
дії:
глюкокортикоїди
(преднізолон),
антиметаболіти
(6-меркаптопурин,
азатіоприн) тощо.
У комплексній
патогенетичній
терапії використовують
засоби, які
поліпшують
тромбоцитарно-мікроциркулярний
гемостаз (індометацин,
курантил,
тиклід,
гепарин).
Доцільно
також
призначати
помірні дози
аскорбінової
кислоти в
комбінації з
рутином,
вітаміни
групи В.
Особливо
ефективні
препарати
антиоксидантної
дії –
вітаміни А, Е,
есенціале,
які сприяють
стабілізації
клітинних
мембран.
Прогноз
захворювання
здебільшого
сприятливий.
Після
виписки із
стаціонару
хворому слід
уникати
фізичних
перевантажень,
переохолодження,
вологих
приміщень.
Протягом
трьох років після
перенесеного
гострого
гломерулонефриту
жінкам не
рекомендується
вагітніти. За
несприятливих
умов процес
може перейти
у хронічну
форму.
Профілактика
гострого
гломерулонефриту
полягає у
своєчасному
лікуванні вогнищ
хронічної
інфекції.
Для
своєчасної
діагностики
цього захворювання
обов'язковим
є
дослідження
сечі після
перенесених
ангін,
гострих
респіраторних
захворювань,
після
вакцинації.
Хронічний
гломерулонефрит
Хронічний
гломерулонефрит
– хронічне дифузне
захворювання
нирок, для
якого
характерна
наявність
імунологічних
і
клініко-морфологічних
змін,
передусім у
клубочках.
Морфологічні
особливості
впливають на
перебіг захворювання.
Етіологія.
Хронічний
гломерулонефрит
може бути
наслідком
невилікованого
гострого
гломерулонефриту.
Наприклад,
якщо протягом
року при
гострому
гломерулонефриті
зберігається
сечовий
синдром або
набряки, артеріальна
гіпертензія,
то можна
припустити
перехід
захворювання
у хронічну
форму.
Хронічний
гломерулонефрит
виникає як ускладнення
при
системних
васкулітах,
колагенозах,
при деяких
інфекційних
захворюваннях.
Відомий
також
первинний
хронічний
гломерулонефрит
без
початкового
гострого
періоду.
Патогенез
хронічного
гломерулонефриту
виявляється
імунологічними
розладами, характерними
для гострого
гломерулонефриту.
Клінічна
картина.
Розрізняють
такі клінічні
форми
хронічного
гломерулонефриту:
1)
латентний –
виявляється
ізольованим
сечовим
синдромом,
іноді з
помірною
артеріальною
гіпертензією;
2)
гематуричний
– постійна
гематурія;
3)
гіпертонічний
–
артеріальна
гіпертонія з
незначними змінами
в сечі
(незначна
протеїнурія,
гематурія);
4)
нефротичний
– набряки,
виражена
протеїнурія
(більше 3,5 г
білка за
добу),
гіпопротеїнемія,
гіперхолестеринемія,
гіпертригліцеридемія;
5) змішаний
– поєднання
нефротичного
синдрому й
артеріальної
гіпертензії;
6)
підгострий –
швидкопрогресуючий
гломерулонефрит,
який
характеризується
нефротичним
синдромом,
артеріальною
гіпертонією
і швидко
виникаючою
нирковою
недостатністю.
При цьому
варіанті
захворювання
розпочинається
гострий
гломерулонефрит,
однак симптоми
не мають
зворотного
розвитку,
стабілізуються,
розвивається
ниркова
недостатність.
У сечі
виявляється
протеїнурія,
гематурія,
циліндрурія,
іноді
помірна
лейкоцитурія.
У крові в
період
загострення
може відзначатися
помірний
лейкоцитоз,
прискорення
ШОЕ, гіпера-
-глобулінемія.
Рівень
креатинину,
сечовини, а
також величина
клубочкової
фільтрації
залежать від функціонального
стану нирок.
Лікування
призначають
залежно від
клінічної
форми
захворювання,
особливостей
морфологічних
змін у
нирках,
наявності
ускладнень.
При
лікуванні
слід
дотримуватися
певного
режиму:
уникати
переохолоджень,
фізичних
перевантажень,
психоемоційних
стресів.
Категорично
заборонено
працювати у
нічний час.
Щорічно, а
при
необхідності
частіше,
хворого
госпіталізують
для
стаціонарного
лікування.
Дієта
також
залежить від
форми
захворювання.
Наприклад,
при
латентній
формі призначають
загальний
стіп із
обмеженням
солі до 10 г на
добу. При
нефротичній
і
гіпертонічній
формах
кількість
солі
обмежують до
8-6 г на добу.
Медикаментозна
терапія
передбачає
призначення:
1)
патогенетичних
засобів
(кортикостероїди,
цитостатики,
амінохінолінові
препарати),
імуносорбції,
плазмоферезу;
2) гіпотензивних
препаратів
(клофелін,
допегіт,
бета-адреноблокатори);
3) діуретиків (фуросемід,
гіпотіазид,
урегіт); 4)
антибіотиків
(призначають
при
інфекційних
ускладненнях);
5) препаратів,
які
впливають на
процеси
гемокоагуляції
та агрегації
(гепарин, курантил,
тиклід,
індометацин).
Хворі
хронічним
гломерулонефритом
повинні
перебувати на
диспансерному
обліку і один
раз на місяць
здавати на
дослідження
сечу. Таким
хворим
рекомендоване
санаторно-курортне
лікування в
зоні сухого
та жаркого
клімату (Середня
Азія,
Південний
берег Криму).
Оскільки в
цих умовах
виникає
розширення
периферичних
судин,
поліпшується
ниркова
гемодинаміка.
Прогноз.
Тривалість
життя
хворого
хронічним
гломерулонефритом
залежить від
клінічної
форми
хвороби і
функціонального
стану нирок.
Більш
сприятливий
прогноз при латентній
формі, менш
сприятливий
– при гіпертонічній
і
гематуричній
формах і
несприятливий
– при
нефротичній
і, особливо,
змішаній
формах.
Профілактика
хронічного
гломерулонефриту
–
загартування,
здоровий
спосіб життя,
боротьба зі
шкідливими
звичками,
своєчасне
лікування
вогнищ
хронічної
інфекції.

Нефролітіаз
Нефролітіаз,
або
нирковокам'яна
хвороба, – захворювання
нирок і
сечовивідних
шляхів, при
якому
утворюються
ниркові
камені (конкременти).
Етіологія.
Захворювання
пов'язане з
порушенням
сольового і
мінерального
обміну, з інфекційними
процесами,
станом
нервової
системи.
Важливе
значення має
спадково-конституційна
схильність, а
також
особливості
харчування.
Наприклад,
утворення
каменів
спричиняють
питна вода з
підвищеним
вмістом
калійових
солей і мікроелементів
(стронцію,
свинцю,
кремнію),
одноманітна
надмірна їжа,
авітаміноз А,
травми
поперекової
ділянки.
Камені
можуть
утворюватися
під час
вагітності,
при
захворюваннях
шлунково-кишкового
тракту,
нейроендокринних
розладах.
Залежно
від складу
камені
поділяються
на оксалатні,
фосфатні,
уратні.
Оксалатні камені
тверді, зі
шорсткою
поверхнею,
темно-бурого
кольору;
уратні –
гладкі,
жовто-червоні;
фосфатні –
світло-сірі.
Камені
можуть бути
поодинокі
або численні,
розміщені в
одній чи обох
нирках,
завбільшки
від піщинки до
великого
яйця. Після
відходження
каменів
звичайно
утворюються
нові.
Камені,
які
розміщені у
мисках і
чашечках, утруднюють
відтікання
сечі,
травмують
слизову
оболонку,
призводять
до її
запалення, а
при повній
закупорці
сечоводу
спричиняють
гідро- або
піонефроз
(скупчення
рідини або
гною в нирці).
Клінічна
картина.
Клінічні
прояви
хвороби
визначаються
розмірами і
локалізацією
конкрементів.
Класичними
ознаками
нирковокам'яної
хвороби є
біль,
дизурія,
гематурія і
відходження
каменів.
Відходження
каменів
малого
розміру
можливе
майже без больових
відчуттів.
Такий
перебіг
хвороби
триває роками.
Найбільш
типовим
проявом
нирковокам'яної
хвороби є
приступи
ниркових
кольок.
Приступ
виникає
раптово: біль
у ділянці нирок
пекучий,
іррадіює
вниз по
сечоводу у сечовий
міхур і
статеві
органи.
Найменші рухи
посилюють
біль, хворі
неспокійні.
Іноді біль є
хвилеподібним.
Хворі
відчувають
задсрсв'яніння
у пахвинній
ділянці і
стегні.
На висоті
приступу
ниркових
кольок виникають
численні
рефлекторні
явища:
нудота, повторне
блювання,
метеоризм,
запор, припинення
відходження
газів.
Сечовипускання
прискорене,
утруднене,
часто
болісне,
рідко
виникає
анурія. Приступ
ниркових
кольок
супроводжується
слабістю,
серцебиттям,
спрагою,
сухістю у роті,
підвищенням
температури
тіла. Шкіра хворих
волога,
бліда,
симптоми
подразнення
очеревини
відсутні.
При
дослідженні
нирок
визначається
позитивний
симптом
Пастернацького
(болісність
при
постукуванні
по спині у
ділянці нирок),
інколи
пальпується
болісна
збільшена нирка.
Приступ
триває
кілька годин;
після відходжсння
каменя із
сечею біль
ущухає.
Сеча
після
приступу
кров'яниста,
містить багато
кристалів
солей; у
проміжках
між приступами
часом
виявляють
мікрогематурію.
Ниркові
камені
можуть
спричиняти
численні
ускладнення.
Подразнення
конкрементами
навколишніх
тканин часто
призводить до
розвитку
запальних
процесів
(пієліту,
пієлонефриту),
гідро- або
піонефрозу з
уремією й
атрофією
специфічної
ниркової
тканини.
Незважаючи
на
характерну
клінічну
картину
приступу
ниркових
кольок,
необхідно виключати
захворювання
органів
черевної порожнини
(апендицит,
тромбоз
мезентеріальних
судин,
коліти), міжреберні
невралгії,
печінкові
кольки.
Діагностика.
Рентгенологічне
дослідження,
зокрема
оглядова
урограма, дає
змогу побачити
камінь і
уточнити
його
локалізацію;
фосфатних
каменів на
знімках не
видно, тому у
цих випадках
використовують
метод
екскреторної
урографії
або
радіонуклідні
дослідження
нирок.
Лікування
нирковокам'яної
хвороби під
час
приступів і в
між-приступному
періоді різне.
При
неускладненій
нирковокам'яній
хворобі
хворим
призначають
дієту, в якій
обмежені
речовини, що
входять до
складу каменів.
Протипоказане
зловживання
смаженим, м'ясом,
печінкою,
перцем,
гірчицею,
алкогольними
напоями.
Щоб
запобігти
утворенню
осадів у
ниркових
мисках,
хворий
повинен
багато пити
(рекомендуються
мінеральні
води Свалява,
Лужанська,
Саїрме,
лимонний
сік),
приймати магурліт,
блемарен,
алопуринол,
амонію хлорид
тощо. Для
збільшення
об'єму сечі
використовують
відвари з
листя берези,
кореня петрушки,
кукурудзяних
приймочок,
звіробою. Необхідно
регулярно
контролювати
pН сечі. Хворим
рекомендується
багато
рухатися, займатись
гімнастикою
і
лікувальною
фізкультурою.
Хірургічне
втручання
при
нирковокам'яній
хворобі
полягає у
видаленні
каменів із нирки
або
видаленні
самої нирки
при її вторинному
ураженні.
В останні
роки широко
впроваджуються
методи
фітотерапії
нирковокам'яної
хвороби і
розробляються
шляхи неоперативного
дроблення
(літотрипсія)
і видалення
конкрементів
(електрогідравлічні,
ультразвукові,
лазерні
методи).
При
лікуванні
ниркових
кольок
необхідний
ліжковий
режим:
застосовують
теплу грілку
або
зігрівальний
компрес на
ділянку
нирок, гарячі
ванни,
вводять атропін
(1 мл 0,1% розчину
підшкірно),
морфін (1 мл 1% розчину
підшкірно),
но-шпу,
баралгін,
трамал,
заспокійливі
засоби
(реланіум,
дроперидол).
Прогноз
визначається
частістю
рецидивів та
ускладнень.

Гострий
пієлонефрит.
Гострий
пієлонефрит
– гостре
бактеріальне
захворювання
ниркових
мисок,
чашечок і канальців.
Етіологія
і патогенез.
Гострий
пієлонефрит
може
виникати при
наявності в
організмі
будь-якого
хронічного,
запального
процесу.
Мікроорганізми
потрапляють
у нирки з
кров'ю,
лімфою або
висхідним
урогенним
шляхом.
Виникненню
захворювання
сприяють
перевтома,
гіповітаміноз,
переохолодження,
розлади
сечовиділення,
застій сечі в
мисці,
цукровий
діабет,
вагітність.
Необхідно
пам'ятати, що
проникнення
інфекції в сечовивідні
шляхи
можливе
внаслідок
цистоскопії,
катетеризації
мисок.
Розрізняють
гострий
серозний і
гострий гнійний
пієлонефрити
(апостематозний
нефрит,
абсцес і
карбункул
нирки).
Запалення
мисок буває
одно- і двобічним,
залежно від
анатомічних
особливостей.
Клінічна
картина.
Гострий
пієлонефрит
починається
ознобом,
підвищенням
температури
тіла до 38-40°С.
Хворі
відчувають
тупий біль у
попереку і в
підребер'ї,
який
посилюється
при зміні
положення
тіла, їх
турбує загальна
слабість,
головний
біль, біль у
суглобах і
м'язах. При
об'єктивному
обстеженні вдається
визначити
напруження
м'язів у ділянці
нирок і
позитивний
симптом
Пастсрнацького.
Сечовипускання
прискорене і
болісне;
спостерігаються
рефлекторні
метеоризм,
нудота,
блювання.
Сеча
виділяється
мутна, іноді
з осадом солей
і гнійними
пластівцями,
нерідко має
лужну
реакцію,
поганий
запах. У сечі
з'являється в
невеликих
кількостях
білок (0,33-0,99 г/л).
Під мікроскопом
виявляють в
усьому полі
зору лейкоцити,
зернисті циліндри,
а також
еритроцити.
Посів сечі
дає змогу
визначити
ріст
відповідного
збудника.
Якщо
однобічний
пієлонефрит
є наслідком обтурації
сечоводу,
змін у сечі
не виявляють,
оскільки у
сечовий
міхур
надходить
сеча зі
здорової
нирки.
У крові
хворих
гострим пієлонефритом
визначають
нейтрофільний
лейкоцитоз,
прискорення
ШОЕ, анемію.
Клінічний
перебіг
захворювання
залежить від
шляху
проникнення
інфекції: при
гематогенному
–
переважають
загальні
симптоми, при
урогенному –
місцеві. У
тяжких випадках
можливий
розвиток
септичного
стану –
уросепсису з
наростанням
ознак
ниркової
недостатності;
гострий
пієлонефрит
може
ускладнитися
паранефритом,
піддіафрагмальним
абсцесом, рідше
перитонітом.
Лікування
гострого
пієлонефриту
полягає в
призначенні
ліжкового
режиму,
молочно-рослинної
дієти з
виключенням
гострих страв,
консервів,
алкогольних
напоїв,
какао, кави.
Хворим
рекомендують
багато пити –
брусничний
чи
журавлиновий
морс, відвар
зі шипшини,
компоти,
мінеральні
води
(Трускавсцька,
Миргородська,
боржом) в
об'ємі до 3 л на
добу.
Медикаментозну
антибактеріальну
терапію
гострого
пієлонефриту
слід
починати якомога
раніше, але
водночас
доцільно
визначити
чутливість
бактеріальної
флори до антибіотиків,
враховуючи
нефротоксичність
препаратів.
Широко
застосовують
гентаміцин,
фосфоміцин,
азлоцилін,
клафоран,
ампіцилін,
левоміцетин,
пеніцилін.
Для
лікування
гострого
пієлонефриту
призначають
фуразолідон,
фурагін (по 2
табл. 3-4 рази на
день
протягом 7-10 днів),
бісептол ,(по 2
табл. 2-3 рази на
день протягом
2-3 тижнів), 5-НОК
(по 2 табл. 4 рази
на день
протягом 2-3
тижнів).
Необхідно
враховувати
побічну дію
антибактеріальних
препаратів,
залежність
їх впливу від
рН сечі і
електролітного
балансу в
організмі.
Антибактеріальну
терапію при
гострому
пієлонефриті
поєднують із
призначенням
спазмолітиків,
діуретиків,
протигрибкових
препаратів,
дезінтоксикаційних
засобів.
У тяжких
випадках
вдаються до
катетеризації
сечоводів,
промивання
мисок і
сечового
міхура
дезинфікуючими
розчинами.
Прогноз
здебільшого
сприятливий,
за винятком
гнійного,
особливо
двобічного,
пієлонефриту.
Профілактика
полягає у
санації
вогнищ хронічної
інфекції,
усуненні
причин, як
погіршують
відтікання
сечі.
Хронічний
пієлонефритф
Хронічний
пієлонефрит
–
захворювання
ниркових
мисок,
чашечок і
канальців,
яке є наслідком
гострого
пієлонефриту
з поступовим
ураженням
клубочків і
кровоносних
судин нирок.
Етіологія
і патогенез.
Перехід
гострого пієлонефриту
у хронічний
спричиняється
тривалими
патологічними
процесами в
нирках і
сечовивідних
шляхах,
функціональними
змінами
сечових шляхів,
хронічними
запальними
процесами в організмі,
хронічними
інтоксикаціями,
ожирінням,
цукровим
діабетом,
неефективним
лікуванням
гострого
пієлонефриту.
На розвиток
захворювання
суттєво
впливають місцеві
аутоімунні
реакції,
мікробна
асоціація.
Клінічна картина.
Хронічний
пієлонефрит
може перебігати
упродовж
багатьох
років під
„маскою”
різних
захворювань.
Враховуючи
локалізацію
ураження
нирок, одно-
або
двобічність
процесу,
ступінь
пошкодження
ниркової паренхіми,
розрізняють
латентну,
рецидивуючу,
гіпертензивну,
анемічну і
азотемічну
форми хронічного
пієлонефриту.
Захворювання
може
перебігати
безсимптомно,
із
субфебрильною
температурою,
легким
ознобом,
почуттям
розбитості.
Іноді виникають
гарячкові
загострення,
біль в ураженій
нирці. Під
час
об'єктивного
дослідження
визначають
позитивний
симптом
Пастсрнацького.
При
прогресуванні
хвороби
розвивається
синдром
артеріальної
гіпертензії
з гіпертонічними
кризами,
болем у
ділянці
серця, приступами
ядухи,
анемічний
синдром, хронічна
ниркова
недостатність.
Зміни сечі
більш
специфічні:
спостерігається
протеїнурія,
лейкоцитурія,
циліндрурія,
гематурія,
позитивні
проби сечі за
Нечипоренком
і Амбурже. У
крові при
хронічному
пієлонефриті
виявляють
прискорення
ШОЕ, анемію, нейтрофільний
лейкоцитоз.
Лікування.
Лікувальна
тактика
хронічного
пієлонефриту
визначається
його
етіологією,
тяжкістю і
функціональним
станом нирок.
Хворим
рекомендують
уникати
переохолодження
і простуд.
Дієта при
хронічному
пієлонефриті
нічим не відрізняється
від
особливостей
харчування при
інших запальних
захворюваннях
нирок і
нирковій
недостатності.
При
анемічному
синдромі у
харчовий
раціон
обов'язково
включають
продукти,
багаті на
залізо і
кобальт
(полуниці,
яблука,
гранати),
корисні
виноград,
гарбузи, дині.
Важливе
значення має
раціональна,
малотоксична
антибіотикотерапія.
Застосовують
антибіотики
широкого
спектру дії
тривалий час
зі
створенням
відповідної
концентрації
препарату в
сечі і крові.
Для
лікування хронічного
пієлонефриту
призначають
похідні
налідиксової
кислоти
(неграм,
невіграмон),
левоміцетин,
бісептол,
полин.
Антибактеріальні
препарати
призначають
10-12-денними
курсами з дво-,
тритижневими
перервами. На
фоні антибіотикотерапії
підвищують
Імунну
реактивність
організму за
допомогою
аутогемотерапії,
переливання
крові,
введенням
імуноглобуліну.
Рекомендують
приймати
вітаміни
групи В (рибофлавін,
піридоксин,
ціанокобаламін),
аскорбінову
кислоту,
ретинола
ацетат, антигістамінні
і
протизапальні
засоби,
спазмолітики.
Призначають
настої і
відвари з
рослин (трава
хвоща
польового,
нирковий чай,
ведмежі
вушка,
мучниця).
У
випадках
розвитку
артеріальної
гіпертензії
згадане вище
лікування
поєднують із
препаратами
гіпотензивної
і спазмолітичної
дії (допегіт,
клофелін,
коринфар,
папаверин,
дибазол).
Хворим
анемією
призначають
препарати
заліза,
анаболічні стероїди
(неробол,
ретаболіл). У
тяжких випадкам
необхідна
терапія
хронічної
ниркової
недостатності.
У фазі
ремісії
рекомендують
санаторно-курортне
лікування
(Трускавсць,
Желєзноводськ,
Джермук,
Мінеральні
Води).
Прогноз
при
активному
лікуванні,
відсутності
ускладнень
сприятливий.
Профілактика
хронічного
пієлонефриту
полягає у
санацїї
вогнищ
хронічної
інфекції,
лікуванні
захворювань
сечовивідної
системи,
бездоганному
дотриманні
правил асептики
і
антисептики
при
проведенні
інструментальних
урологічних
обстежень
(цистоскопія,
катетеризація
тощо).

Гостра
ниркова
недостатність.
Гостра
ниркова
недостатність
– хворобливий
стан
організму,
який виникає
внаслідок
раптового
припинення
діяльності
нирок.
Етіологія.
Гостра
ниркова
недостатність
розвивається
при шокових
станах,
порушеннях
кислотно-лужної
рівноваги,
гострих
отруєннях
(сулемою, свинцем,
чотирихлористим
вуглецем),
токсикоз-алергічних
реакціях,
захворюваннях
нирок
(гломерулонефрит,
пієлонефрит),
гострій
затримці
сечі (камінь,
пухлина
сечоводу, аденома
простати),
септичному
аборті,
патологічних
пологах тощо.
Патогенез
і
патанатомія.
Унаслідок
припинення
клубочкової
фільтрації і
порушення
виділення
нирками
відпрацьованих
продуктів
обміну
виникає
отруєння
організму азотистими
шлаками. У
крові крім
підвищення
вмісту
сечовини і
залишкового
азоту спостерігається
збільшення
кількості продуктів
ароматичних
фенолів і
складних амінів,
скупчення
сполук
фосфору,
сірки, калію,
виникає
ацидоз.
Клінічна
картина. У
перебігу
гострої ниркової
недостатності
розрізняють
чотири
стадії:
початкову,
олігоануричну,
відновлення
діурезу,
одужання.
Початкова
стадія
триває
декілька
годин і часто
залишається
не
розпізнаною
– переважають
симптоми
основного
захворювання.
В
олігоапуричній
стадії різко
зменшується
або повністю
припиняється
сечовиділення,
знижується у
сечі вміст сечовини,
азоту,
креатиніну.
На 5-7-й день
стан хворого
різко
погіршується,
з'являються симптоми
уремічної
інтоксикації.
Хворі скаржаться
на втрату
апетиту,
сухість у
роті і
спрагу,
гіркий
присмак
сечовини,
нудоту,
блювання;
характерним
є аміачний
запах із рота.
Розвивається
уремічний
стоматит, гастрит
і коліт.
Наростають
нервові
порушення –
слабість,
сповільнене
психічне
сприйняття,
загальна
скутість. У
тяжких
випадках
виникає
уремічна
кома з
приступами
збудження, галюцинаціями,
часом
судомою. У
легенях вислуховується
жорстке
дихання,
застійні хрипи
в нижніх
відділах і
специфічне
шумне „велике”
дихання
Кусемауля
(рідкі глибокі
вдихи і
короткі
видихи).
Інколи
спостерігають
дихання
Чейна–Стокса.
Ураження
серця
виявляється
розвитком
перикардиту
і міокардиту.
Поява шуму
тертя
перикарда –
ознака близького
летального
наслідку. У
хворих з
гострою
нирковою
недостатністю
нерідко
вдається
спостерігати
на шкірі
відкладення
кристалів
сечовини,
схожих на
іній;
порушується
трофіка
шкіри, хворих
турбує
свербіння,
часто виникають
гнійні
ураження
шкіри.
Порушення
водного
обміну
виявляється
гіпергідратацією
або
дегідратацією
тканин.
Тривалість
олігоануричної
стадії – два-три
тижні.
При
сприятливому
перебігу
захворювання
анурія
змінюється
стадією
відновлення
діурезу. Із
наростанням
діурезу
поступово
відновлюються
функції всіх
органів і
систем
організму. Тривалий
час можуть
зберігатися
астенія, анемія,
зниження
концентраційної
функції нирок.
Лікування
хворих
гострою
нирковою
недостатністю
здійснюють у
спеціалізованих
нефрологічних
або
реанімаційних
відділеннях,
оснащених
відповідною
апаратурою.
Крім режиму і
дієти
застосовують,
залежно від
стадії хвороби
і стану
хворого,
медикаментозні
засоби і
методи
очищення
організму
від азотистих
шлаків.
Важливим
є контроль
водного
балансу
(,вода виділяється
з організму
не тільки
нирками, але
й легенями,
шлунково-кишковим
трактом,
шкірою). При
підвищенні
температури
тіла на 1°С
втрата води
зростає на 300-500
мл за добу. Добову
потребу
організму
хворого у
воді
визначають
шляхом
старанного
обліку втрат.
Водний
баланс можна
контролювати
за допомогою
регулярного
зважування
хворого,
визначення
гематокриту,
гемоглобіну,
центрального
венозного
тиску, об'єму
циркулюючої
крові.
Враховуючи
ступінь гідратації
організму,
електролітний
баланс,
кислотно-лужну
рівновагу,
при гострій
нирковій
недостатності
доцільне
парантеральне
введення глюкози
з інсуліном,
натрію
хлориду,
натрію
гідрокарбонату,
глюконату
кальцію, натрію
лактату.
Для
зниження
білкового
катаболізму
вводять
жирові
емульсії,
амінокислотні
препарати,
анаболічні
стероїди.
Застосовують
антибактеріальну
і
симптоматичну
терапію.
Для
лікування
гострої
ниркової
недостатності
застосовують
гемодіалізатори
„штучна
нирка”.
Апарат
„штучна
нирка”
підключають
до судинної
системи
організму
хворого
шляхом
катетеризації
великої
підшкірної
вени стегна або
стегнової
вени. Кров
хворого
гепаринізують
(відсмоктують)
перфузійним
насосом і після
пропускання
через
діалізатор
повертають в
організм.
Гемодіаліз
застосовують
при концентрації
сечовини у
плазмі крові
вище 48 ммоль/л,
креатиніну –
1,3 ммоль/л,
залишкового
азоту – 107
ммоль/л.
Тривалість
одного
сеансу гемодіалізу
– 4-6 год; деяким
хворим
необхідні
декілька
сеансів з
інтервалами
один-два дні.
З інших,
більш
простих
методів очищення
крові
використовують
перитонеальний
діаліз,
гемосорбцію
і
лімфосорбцію.
Апаратні
методи
очищення
організму
від азотистих
шляхів є
обов'язковими
перед виконанням
операції з
пересадження
нирок.
Прогноз
несприятливий.
Профілактика
полягає у
своєчасному
усуненні
етіологічних
чинників.
Хронічна
ниркова
недостатність.
Хронічна
ниркова
недостатність
– хворобливий
стан, який
розвивається
внаслідок загибелі
частини
нефронів
нирок і
характеризується
поступовим і
тривалим
прогресуванням
порушення
видільної
функції
нирок, що
призводить
до уремічної
інтоксикації.
Етіологія
і
патанатомія.
Хронічна
ниркова
недостатність
розвивається
під час тривалих
хронічних
захворювань
нирок, особливо
хронічного
гломерулонефриту
і хронічного
пієлонефриту.
У паренхімі
нирок виникають
незворотні
структурні
зміни:
зменшення
кількості
функціонуючих
клубочків, атрофія
і зморщення
нирок.
Швидкість
прогресування
ниркової
недостатності
залежить від
основного
захворювання
і компенсаторної
здатності
нирок.
Клінічна
картина
хронічної
ниркової
недостатності
визначається
ступенем порушення
функції
нирок,
змінами у
серцево-судинній,
нервовій і
кровотворній
системах
організму,
порушеннями
діяльності
шлунково-кишкового
тракту.
Хворі
апатичні,
малорухливі,
скаржаться на
сухість
шкіри,
свербіж, виражену
м'язову
слабість,
інколи
виникають судоми.
Ураження
кістково-суглобової
системи характеризуються
розвитком
остеопорозу,
болем у
кістках,
накопиченням
рідини у суглобах,
виникненням
„вторинної
подагри”.
У легенях
при
наростанні
явищ
хронічної ниркової
недостатності
вислуховуються
вологі хрипи,
може
розвиватись
уремічний
набряк легень,
фіброзний
плеврит,
вторинні
пневмонії.
Під час
розвитку
ацидозу
виникає
„велике”
шумне
дихання.
Постійно
наростаюча
артеріальна
гіпертензія,
яку часто
називають
„злоякісною
гіпертонією”,
супроводжується
гіпертрофією
лівого
шлуночка,
розвитком
серцевої
недостатності,
серцевої
астми,
аритміями,
ураженням
судин
сітківки
(ангіосклероз,
ретинопатія).
Класичний
вияв
хронічної уремії
– розвиток
перикардиту,
який нерідко виявляється
тільки шумом
тертя
перикарда.
Хворі
поступово
втрачають
апетит,
особливо до
м'ясної їжі.
Спостерігаються
диспептичні
явища –
нудота,
блювання,
спрага. Характерним
є аміачний
запах із
рота,
розвиток гастриту
і коліту.
При
хронічній
нирковій
недостатності
часто
відзначаються
гіпотермія,
анемія, геморагічний
діатез,
порушення
всіх видів обміну.
Температура
тіла іноді
знижується
до 35-36°С і
навіть до 32°С.
Прогресує
кахексія.
У крові
підвищується
вміст
креатиніну (у
термінальній
фазі більше 1,055
мкмоль/л) і
сечовини,
знижується
концентрація
кальцію,
натрію,
зростає
кількість
калію і магнію;
виникає зсув
кислотно-лужної
рівноваги у
бік
декомпенсованого
метаболічного
ацидозу.
Стійко
знижується
клубочкова
фільтрація:
від 40 мл/хв при
вираженій
нирковій недостатності
до 10-5 мл/хв у
термінальній
фазі хвороби.
Виникає
поліурія, яка
згодом
змінюється олігурією
або анурією.
Лікування.
Дієта і
медикаментозна
терапія
визначаються
стадією
захворювання,
вираженістю
ниркової
недостатності
і симптомокомплексом
захворювання.
Харчування
хворих у
стадії
компенсації
повинно бути
повноцінним
і
забезпечувати
фізіологічну
потребу у
білках, жирах
і вуглеводах.
Слід
призначати
дієту, яка
містить 0,6 г
білків на 1 кг
маси тіла
хворого, і
чергувати
звичайні та
розвантажувальні
дні. При
підвищенні
рівня
креатиніну у
крові рекомендують
малобілкову
дієту (20-25 г/добу
– 0,3 г на 1 кг
маси тіла).
Широко
використовують
олії,
продукти, багаті
на
клітковину
(морква,
яблука,
буряк), безбілковий
хліб, мед,
несолоне
масло, яйця.
Іноді
внутрішньовенно
вводять
жирові
емульсії
(ліпофунгін,
ліпомаїз
тощо).
Необхідно
контролювати
водний і
електролітний
баланс,
регулярно визначати
рН крові.
При
застосуванні
медикаментозних
засобів
необхідно
враховувати,
що виведення
їх з
організму у
випадках
прогресування
недостатності
нирок може
змінюватись,
внаслідок
чого зростає
не тільки
ефективність
препаратів,
але і їх
токсичність.
Обережно
призначають
антибіотики,
сульфаніламіди,
серцеві
глікозиди,
кортикостероїди,
нестероїдні,
протизапальні
засоби. Внутрішньовенно
крапельно
вводять
дезинтоксикаційні
розчини:
гемодез,
реополіглюкін,
реомакродез
тощо.
Нетривалий
позитивний
ефект
забезпечує промивання
шлунка і
кишок,
дуоденальне
зондування.
Широко
застосовують
позаниркове
очищення
крові за
допомогою
апарату „штучна
нирка”
(гемодіаліз),
перитонеальний
діаліз, гемо-
і
лімфосорбцію.
Операції
з
пересадження
нирок
виконують при
хронічній
нирковій
недостатності
на фоні
різноманітних
захворювань
нирок.
Для
трансплантації
використовують
нирки живого
донора або
померлого. Важливою
умовою є
оптимальна
імунологічна
сумісність
донора і
реципієнта
за системою
АВО,
резус-чинником,
системою
НLА–DR та іншими
імунологічними
тестами.
Донорські нирки
від померлих
беруть за
умови
біологічної
смерті
(внаслідок
травм). У
післяопераційному
періоді
найважливішим
є
забезпечення
відновлення
функції
пересадженої
нирки, ефективна
імуносупресивна
терапія,
запобігання
відторгненню
трансплантата.
Прогноз
хронічної
ниркової
недостатності
несприятливий.
Нефропатія
вагітних.
Нефропатія
вагітних – пізній
токсикоз
другої
половини
вагітності,
який
загрожує
смертю плода
і розвитком еклампсії.
Нефропатія
характеризується
ознаками
гіпертонічної
хвороби з
ішемічним
ураженням
нирок, мозку,
очного дна,
печінки та
інших
органів.
Етіологія
і патогенез.
Нефропатія
спостерігається
у 1,8-3,3% випадків
вагітності.
Ризик
розвитку
пізнього
токсикозу
вагітності
зростає при
гіпертонічній
хворобі,
вадах серця,
ожирінні,
порушеннях
вищої нервової
діяльності.
Підвищення
артеріального
тиску при
нефропатії
вагітних
зумовлене
передусім
порушенням
центрально-нервових
регуляцій з
участю
ендокринної
ланки. Певний
вплив мають
периферичний
нервово-рефлекторний
чинник,
ішемія матки
і плаценти,
гіперфункція
гіпофізарно-надниркового
апарату,
підвищення
рівня
серотоніну. Розвиток
нефропатії
вагітних
значною
мірою
залежить від
імунних
реакцій,
несумісності
матері і плоду.
Досліджується
вплив
дисемінованого
внутрішньосудинного
зсідання
крові.
Клінічна
картина.
Нефропатія
вагітних може
перебігати в
легкій або
тяжкій формі.
У перебігу
захворювання
розрізняють
три стадії:
просту нефропатію,
преклампсію
та еклампсію.
Клінічно
токсикоз
характеризується
набряками
гомілок або
анасаркою
(набряк
тулуба, зовнішніх
статевих
органів,
обличчя),
протеїнурією,
олігурією
при високій
питомій вазі сечі.
Важливим
симптомом
при
нефропатії
вагітних є
гіпертензія,
спочатку
діастолічна,
а згодом
систолічна.
Хворі
скаржаться
на головний
біль, диспептичні
явища, ядуху.
При
об'єктивному
обстеженні
вагітних
виявляють
набряки,
брадикардію,
розширення
меж серця.
Концентраційна
й
азотовидільна
функції
нирок при.
легкому
перебігу
нефропатії
не змінюються,
У крові
виявляють
диспротеїнемію,
гіперхолестеринемію,
підвищення
вмісту цукру,
незначну
анемію.
При
прогресуючому
підвищенні
артеріального
тиску
розвивається
еклампсія.
Виникають
приступи
тонічної, а
згодом і клонічної
судоми
тривалістю 30-40
хв, які
можуть завершитися
ретинопатією
із втратою
зору, смертю
плода,
крововиливом
або набряком мозку,
розвитком
гострої
серцевої
недостатності.
Симптоми
нефропатії
зникають
після пологів
або після
штучного
переривання
вагітності.
Однак
нефропатія
може спричинити
у
майбутньому
гіпертонічну
хворобу або
хронічний
нефрит.
Лікування.
Із появою
перших ознак
нефропатії
здійснюють
ряд заходів
для затримки
розвитку
хвороби.
Призначають
фізичний і
психічний
спокій,
ліжковий
режим, психотерапію.
У харчуванні
значно
обмежують
сіль (до 1,5-2,0 г на
добу) і
рідину (до 1 л
на добу); застосовують
розвантажувальні
дні з урахуванням
того, що для
повноцінного
розвитку плода
необхідна
достатня
кількість
білків (1,0-1,5 г на 1
кг маси тіла),
жирів (0,7-1,0 г на 1
кг маси тіла),
вуглеводів і
калію.
Медикаментозна
терапія при
нефропатії в основному
симптоматична:
діуретики,
гіпотензивні
засоби,
транквілізатори.
При
розвитку
еклампсії
вдаються до
консервативної
терапії.
Хворих
ізолюють в
окрему палату
з
індивідуальним
постом
акушерки, виконують
маніпуляції
під наркозом
(епідуральна
анестезія),
призначають
нейролептики
у комплексі
(сибазон по 10-20
мг,
дроперидол
по 10 мг у 20 мл 40%
розчину
глюкози, 2 мл 2,5%
розчину
аміназіну).
Для зниження
артеріального
тиску
вводять 25 мл 25%
розчину
магнію сульфату
внутрішньом'язово
кожні 6 год, 2-4 мл
1% розчину
дибазолу 2-3
рази на добу, 10
мл 2,4% еуфіліну кожні
4-6 год, 2 мл 2%
розчину
но-шпи або
папаверину.
Для попередження
набряку
мозку
призначають
перфузії
концентрованої
плазми, 100 мл 20%
розчину альбуміну,
маніту; для
зменшення
проникності
капілярів
судин
використовують
аскорбінову
кислоту,
рутин,
доксилек.
Крім цього, призначають
препарати
для корекції
серцево-судинних
порушень.
При
погіршенні
стану хворої,
почастішанні
приступів
еклампсії
необхідне
дострокове
розродження.
Прогноз
здебільшого
сприятливий.
Профілактика
нефропатії
вагітних
полягає
передусім в
ретельному
контролі за
масою тіла
вагітної,
вимірюванні
артеріального
тиску,
регулярному
дослідженні
сечі.
Збільшення
маси тіла
більше як на
500-600 г на
тиждень у
другій
половині
вагітності
свідчить про
затримку
рідини в
організмі.
СУЧАСНІ
МЕТОДИ ОБСТЕЖЕННЯ ФУНКЦІЇ НИРОК
ДОСЛІДЖЕННЯ
СЕЧІ:
Аналіз
сечі - це дуже
важливий
етап обстеження нефрологічного
хворого.
Виконується
в звичайних
поліклінічних
умовах і в
стаціонарах.
Основні
відомості
про
нормальний
аналізі сечі:
При
дослідженні
бажано
збирати
ранкову сечу,
тому що вона
більш
концентрована.
Перед збором
сечі
проводиться
ретельний
туалет. Для
дослідження
використовується
середня
порція сечі. Мікроскопія сечового
осаду
повинна
проводитися
не пізніше
ніж через 2
години після
збору сечі. В іншому
випадку
відбувається забруднення сечі
мікроорганізмами.
При довшому
зберіганні
потрібно
утримувати
сечу в холодильнику. Загальні
властивості
сечі: сеча зазвичай
прозора,
солом'яно-жовтого
кольору, має
кислу
реакцію.
Колір сечі
визначається
наявністю в
ній
пігментів,
головним чином
цитохромів.
Колір сечі
стає світло-жовтим
при нирковій
недостатності,
прийомі
сечогінних. Сеча темніє при
станах
супроводжуються
розпадом
білків, лихоманкою, пухлиною або токсикозом, при
вагітності.
Забарвлення
сечі може мінятися
при зміні
кількості
еритроцитів,
вільного гемоглобіну,
міоглобіну,
уробіліну.
Колір сечі
може
змінюватися
в залежності
від прийому харчових
продуктів.
Помутніння
сечі може бути
наслідком
високого
вмісту солей, лейкоцитів,
бактерій.
Реакція сечі
обумовлена наявністю
в ній вільних
Н + іонів.
Коливається
в різних
межах,
залежить в
основному
від характеру харчування і прийому
різних ліків.
Лужна
реакція
лишається
наслідком раціону
багатого
фруктами і
овочами.
Кисла сеча буває при
канальцевому
ацидозі,
сечовий інфекції.
Кислотність
сечі має
значення для
утворення сечових
каменів.
Уратні
камені
утворюються в
кислій сечі,
а оксалатні,
кальцієві і
фосватние - в
лужному.
Необхідно
звертати
увагу на
пенистость
сечі.
Нормальна
сеча піниться
злегка. При
вираженій
протеїнурії
пенистость
сечі
збільшується.
Дуже
важливим показником
є відносна щільність сечі.

Білок.
Виділення
білка із
сечею є
найбільш важливою
ознакою
ураження
нирок. У
нормі виділення
білка з сечею
не перевищує
50-200 мг / сут.
Якісні
реакції на білок
стають
позитивними
при
концентрації
білка 0,033 г / л.
Виділення
білка з сечею
протягом
доби
відбувається
нерівномірно.
Більше виділяється
білка у
хворих, коли
вони знаходяться
в
горизонтальному
положенні,
вдень. Тому
важливо
дослідити
добову протеїнурію.
Цукор в сечі
здорової
людини
відсутній, за
винятком
випадків,
пов'язаних з
надмірним
вживанням вуглеводом або в тому
випадку, якщо
береться не
ранкова
порція сечі.
Якщо при
глюкозурії цукор крові
нормальний,
то потрібно
думати про канальцевої
дисфункції.
Це
зустрічається
при важкому
нефротичному
синдромі, при
різних видах
гломерулосклероз.
Мікроскопія сечового
осаду:
У сечі
здорової
людини не
повинно бути
більше 3-4
лейкоцитів у
чоловіків і 4-6
у жінок. Еритроцити
в ОАМ або
відсутні, або
поодинокі і зустрічаються
не постійно.
Якщо
кількість формених
елементів
сечі
перевищує
зазначену
норму, то
зазвичай
аналіз сечі повторюється
(бажано брати сечу
катетером).
Кількісні
методи
підрахунку
формених елементів
сечі:
1) За
Нечипоренко -
кількість
еритроцитів
і лейкоцитів
в 1 мл сечі. У
нормі не більше
2000 лейкоцитів
і 1000
еритроцитів.
2) За Амбурже -
кількість
формених
елементів за
1 хвилину.
норми ті ж.
3) За
Аддіс-Каковскому
- кількість
формених елементів
і циліндрів у
добовій сечі.
У нормі не
більше 2 мільйонів еритроцитів,
4 мільйони лейкоцитів
і 100 тисяч
циліндрів.
Циліндри
в нормальній
сечі
відсутні, за
винятком
одиничних
гіалінових.
Епітеліальні
клітини
суттєвого
діагностичного
значення не
мають
оскільки
потрапляють
в сечу з
будь-яких
відділів
сечових
шляхів.
Бактерії можуть
визначатися
в сечі і в
нормі, особливо
після
тривалого
стояння. Для
більш точного
визначення
типу
бактеріурії
проводиться
посів сечі.
Сеча повинна
бути свіжою і
взятої в
окремий
посуд. Про
бактеріурії
говорять в
тому випадку,
якщо в 1 мл.
сечі
визначається
більше 50-100 тис.
мікробних
клітин
(істинна
бактеріурія).
Якщо
бактерій
менше 50 тис., то
це помилкова бактеріурія.
Наявність
у осаді
значної
кількості
солей може
свідчити про
сечокам'яну
хворобу.
Для
оцінки змін в
аналізі сечі
введено поняття сечовий
синдром.
Сечовий
синдром
включає в
себе:
-
Протеїнурію,
- Гематурію,
- Лейкоцитурію,
-
Циліндрурія.
Протеїнурія
Це
найчастіший
ознака
ураження
нирок. Втрата
білка більше
50-200 мг / сут. У
залежності
від кількості
білка в сечі
розрізняють:
1) виражену
протеїнурію -
більше 3 г на
добу,
2) помірну - 1-3 г
на добу,
3) незначну -
менше 1 г на
добу.
Якісна
характеристика
протеїнурії:
- Селективна -
переважають
низькомолекулярні білки, в
основному
альбуміни,
-
Неселективні
- переважають
глобуліни
поряд з альбумінами.
Залежно
від причини
протеїнурії
виділяють
наступні її
форми:
1) Ниркова:
-
Гломерулярная,
- Тубулятная,
- Змішана;
2) ненирковий:
-
Переповнення,
-
Гемодинамічна.
Фільтрація
білка в
нирках в
нормі:
Через
клубочок
фільтрується
в нормі 0,2 - 0,05 г на
добу білка. У
виходить
частини
петлі Генлі
відбувається
секреція
особливого білка
уропротеіна.
Нирковий
фільтр
складається
з 3 шарів.
Перший шар -
це епітелій,
потім йде
базальна
мембрана, яка
є двошаровим
гидротированного
гелем. Третій
шар - шар
епітеліальних
клітин -
подоцитів.
Вони мають тіло і безліч
ніжок, які
розташовуються
на базальній
мембрані. Між
подоцитів є
отвори, через
які
проходять
незначна
кількість
альбумінів
та інших
низькомолекулярних
білків.

Клубочкова
протеїнурія.
Клубочкова
протеїнурія
визначається
в основному
станом
ниркового
фільтра, його
структурою,
проникність, електростатичним зарядом.
Основна масаальбумінів
не проходить
через
нирковий фільтр,
тому що має
однаковий з
ним позитивний
заряд і
відштовхується
від нього.
При нирковій
патології
змінюється
заряд
базальної
мембрани,
ендотелію,
подоцитів, і
альбуміни
вільно
проходять
через фільтр.
Мають значення
у
пошкодженні
фільтру
імунні комплекси,
запальні,
дегенеративні процеси,
склерозування
клубочків.
На процес клубочкової
фільтрації
впливають
також гемодинамічні
фактори.
Зниження
швидкості
кровотоку і
збільшення
тиску в
клубочках
веде до
гіперфільтрааціі. Такий характер протеїнурії
має місце при
серцевій
недостатності, тромбозу ниркових
вен,
підвищення
онкотичного
тиску плазми
за рахунок
надлишку білків,
наприклад
при
мієломної
хвороби.
Все таки
основною
причиною
клубочкової
протеїнурії
є
пошкодження
ниркового
фільтра. Це
виникає при гломерулонефритах,
амілоїдозі,
діабетичному
гломерулосклерозі,
гіпертонічної
хвороби.
Найчастіше клубочкова
протеїнурія
буває
неселективні.
Канальцева
протеїнурія.
Зустрічається
рідше ніж
клубочкова.
Вона пов'язана
із зниженням
здатності
проксимальних
канальців до
реабсорбції
білка.
Кількість
білка
звичайно не
перевищує 2 г
на добу.
Протеїнурія
селективна.
Вона
представлена
альбумінами,
а також b 2-мікроглобуліну, легкими
ланцюгами
імуноглобулінів
та іншими
білками. Характерним для
канальцеевой
протеїнурії
є переважання
b 2-мікроглобуліну над
альбумінами.
У нормі b 2-мікроглобуліну вільно
фільтруються
в клубочках і
повністю
реабсорбується
в канальцях.
Канальцева
протеїнурія
зустрічається
при хронічних пієлонефритах,
гострому
канальцевому
некрозі, відторгнення
ниркового
трансплантату,
вроджених
туболопатіях.
При
важких
захворюваннях
нирок
характер протеїнурії
змішаний.
Ненирковий
протеїнурія.
Вона
виникає при
підвищенні
гідростатичного
тиску в
клубочках,
незв'язаного
із захворюваннями
нирок, а
також з уповільненням
кровотоку, що
спостерігається
при
застійній
нирці. Така
протеїнурія
зазвичай
помірна, не
досягає 3 г на
добу. При
мієломної
хвороби
розвивається
так звана
протеїнурія
переповнення,
коли при підвищеному
утворенні
плазмових
білків, а останні
фільтруються
нормальними
клубочками.
Аналогічний
процес
протеїнурії
зустрічається
при гемолізі,
міоглобінурія,
синдромі разможженіе.
Слід
пам'ятати, що
при
вираженій
ерітроцітуріі
та лейкоцитурії в аналізі
сечі може
визначатися
помірна протеїнурія,
за рахунок
цих формених
елементів.
Хибно
позитивні
результати
також можуть
давати
йодисто-контрастні
препарати, а
також велика
кількість
пеніцилінів,
цефалоспаринами
і
сульфаніламідів
в сечі.
Фізіологічна
протеїнурія.
1)
Ортостатична
протеїнурія.
Частіше у
чоловіків до
22 років. У осіб
астенічного
статури або з
лордозом
хребта.
Звичайно
проходить до
30 років.
2) Гарячкова
протеїнурія.
При
гарячкових
станах, особливо
у дітей і
літніх. Має
переважно гломерулярний
характер.
3)
Протеїнурія
напруги.
Буває у
здорових при
важких
фізичних
навантаженнях,
при стресах,
переохолодженні.
Поява білка в
сечі пояснюється
порушенням
ниркової
динаміки, уповільненням
кровотоку і
підвищеною
проникністю
базальної
мембрани.
Ортостатична
проба: вранці
хворі не
встаючи
мочаться в
окремий
посуд, потім
протягом 2
годин хворий
ходить
тримаючи
палицю за спиною
для
посилення
лордозу,
після чого повторно
здається
сеча.
Функціональна протеїнурія
зазвичай
минуща, не
перевищує 1 г
на добу, не
супроводжується
іншими змінами
в сечі
(еритроцитурією,
лейкоцитурією,
бактеруріей).
Гематурія
Характеризується
виділенням з
сечею еритроцитів.
Зустрічається
не тільки при
патології
нирок, а й при
тромбоцитопеніях, лейкозах,
передозування
антикоагулянтів.
Гематурію
в залежності
від розмірів
втрати
еритроцитів
ділять на:
1)
Мікрогематурія
- не
змінюється
колір сечі;
кількість
еритроцитів
коливається
від одиничних
до 10-20-100 в полі
зору.
2)
Макрогематурия
- сеча стає
темно-або набуває
кольору
"м'ясних
помиїв";
еритроцити
не
піддаються
підрахунку.
Для
оцінки
ступеня
гематурії
користуються
кількісними
методами.

Макрогематурия
слід
відрізняти
від гемоглобинурии,
міоглобінурія,
порфірії, так
як сеча також
червона
(колір за
рахунок Hb,
міоглобіну,
порфіринів).
За характером перебігу:
1) епізодична
гематурія,
2)
рецидивуюча,
3) стійка.
По
локалізації
патологічного процесу:
1) ініціальні,
2)
термінальна,
3) тотальна.
Для
розмежування
цих трьох
форм
використовується
трехстаканная
проба.
Ініціальна
гематурія
свідчить про
поразку початкової
частини
уретри (травми, виразки, пухлини).
Термінальна
гематурія
(поява крові
в середній
порції і
наприкінці
сечовипускання)
свідчить про запалення,
пухлинному процесі в простаті і
сечовому
міхурі, може
бути обмеження
каменю у
внутрішньому
сфінктера сечового
міхура.
Тотальна
гематурія (кров у всіх трьох
порціях)
визначається
при різних
захворюваннях
сечового
міхура, сечоводів
і нирок.
Гематурію
ділять на
односторонню
і двосторонню.
Це
виявляється
тільки при
цистоскопії.
Гематурія
також буває
болюча й
безбольова.
Гематурія
по
локалізації:
1) ниркова
(нефропатії,
пухлини,
травми, гідронефроз, туберкульоз нирки),
2) сечовідний
(камені,
пухлини,
стриктури сечоводів),
3) міхурово (цистити,
пухлини,
камені,
травми)
Гематурія
при
урологічній
патології
(сечовідний і
міхурово)
буває як
правило
односторонньої,
больовий,
ізольованою,
часто макрогематурія.
Ниркова
гематурія як
правило
стійка, двостороння,
безбольова і
мікрогематурія.
Ниркова
гематурія як
правило
поєднується
з протеїнурією
та
лейкоцитурією.
Винятком є хвороба
Берже (форма
хронічного
гломерулонефриту),
яка протікає
з больовий
макрогематурією.
Причинами
гематурії
при
нефропатіях
буває як
правило
пошкодження
мезангия, а
також
поразка
ланцюжків і
епітелію
звивистих канальців.
Виділяють
гломерулярну
і
негломерулярную
ниркову
гематурію.
Для цього
вивчається
структура
еритроцитів
у
фазово-контрастному
мікроскопі.
Виявлення в
сечі більше 80%
змінених
еритроцитів
свідчить про
гломерулярної
походження
гематурії (в
основному
причиною є
гломерулонефрит).
80% незмінених
еритроцитів
говорить про
негломерулярной
природі
гематурії.
Поняття вилужені і
невищелоченние
еритроцити в
сучасній нефрології
вже не
використовуються,
оскільки це
залежить не
від якості
самих еритроцитів,
їх
пошкодження,
а від
осмолярності
сечі.
Лейкоцитурію
Це
виділення з
сечею більше
5 в полі зору
лейкоцитів.
При
вираженій
лейкоцитурії
(Піура) лейкоцити не
підлягають
підрахунку
та густо
покривають
поля зору.
Для
виявлення
прихованої
лейкоцитурії
іноді
вдаються до
провокаційних
проб з
преднізолоном.
Хворому
вводиться 30
мг
преднізолону
внутрішньовенно.
Потім через
кожну годину
беруть три
порції сечі.
Подвоєння
лейкоцитів
хоча б в
одній порції
свідчить про
приховану
лейкоцитурії.
Після
виявлення
лейкоцитурії
визначаються
її джерела -
сечові шляхи
або нирки, а
також генез -
інфекційний
або
запальний. Для
цього
використовується
трехстаканная
проба і
додаткові методи
дослідження. На
проходження
лейкоцитів з
нирки вказує одночасне
виявлення
лейкоцитів і
зернистих
циліндрів.
Слід
пам'ятати, що лейкоцитурія може бути
асептичної.
Це буває при
інтерстіціональних нефриті,
гломерулонефритах.
Масивна лейкоцитурия практично
завждиінфекційна,
часто
поєднується
з
бактеріурія. Характерна для
гострого і
загострення
хронічного
пієлонефриту.
При
Апостематозний пієлонефриті,
обструктивному
пієлонефриті
лейкоцитурия
може бути
відсутнім.
Для
визначення
якісного
складу
лейкоцитів
використовуються
спеціальні
методи
забарвлення,
а також фазово-контрастна мікроскопія та
біохімічні
методи. Можна
визначити
вид лейкоцита. Нейтрофіли характерні для
інфекційного
процесу,
лімфоцити -
для реакції
відторгнення
трансплантанта,
еозинофіли -
для хронічного
інтерстиціального нефриту.
Цилиндрурия
Циліндри
бувають
білковими
(гіалінові і
воскоподібні)
і містять у
білковому
матриксі
різні
включення
(еритроцитарні, лейкоцитарні,
жирові,
зернисті).
Гіалінові
циліндри є
найбільш
часто зустрічаються.
У здорових не
більше 100 в мл. Патологія при
нефротичному
синдромі і
хронічних гломерулонефритах.
Фляки
циліндри
утворюються
при тривалому
стазе сечі в
канальцях,
характерні
для гломерулонефриту.
Еритроцитарні
циліндри в
основному
визначаються
при нирковій
гематурії
(гломерулонефрит,
васкуліти,
інтерстиціальні нефрити,
інфаркт
нирки).Лейкоцитарні циліндри
характерні
для
остророго та
інтерстиціального
нефриту;
жирові - для
нефротичного
синдрому.
Зернисті
циліндри, які
мають у
своєму
складі клітинні
включення,
іноді
вважають
предстадий
воскоподібні
циліндрів.
Вони завжди ознака
органічного
захворювання
нирок. Зустрічаються
при
хронічному
гломерулонефриті,
хронічній
нирковій
недостатності.

Нирки підтримують гомеостаз організму і
виконують
дуже багато
функцій:
регулювання
обсягу
позаклітинної
рідини і
крові, регуляція
іонного
складу крові,
регуляція
КОС, регуляція
артеріального
тиску,
регуляція еритропоезу,
екскреція
продуктів
азотистого
обміну.
Найбільш
важливе
практичне
значення для визначення функції
нирок має
наступне:
1) визначення
відносної
щільності
сечі в одноразовому
аналізі та
при пробі
Земніцкого;
2) визначення
креатиніну;
3) визначення
швидкості
клубочкової
фільтрації
(ШКФ)
4) визначення
здатності
нирок до
розведення і
концентрування.
Відносна
щільність
сечі
свідчить про
здатність
нирок до
розведення і
концентрування,
тобто
регулювання
позаклітинної
рідини. Вона
може
коливатися в
межах 1005-1025.
Відносна
щільність
сечі
залежить від
випитої
рідини та
діурезу.
Рясне
споживання
рідини
призводить
до
знатітельному
виділенню
сечі низької
щільності, а
обмежене
споживання
рідини,
втрати її при
потовиділенні, проносах,
супроводжується
зменшенням
виділення сечі
та
підвищенням
її щільності.
Практично
контраціонную
функцію
нирок можна
вважати
нормальною
при
відносній щільності
в ранковій
порції 1020-1018.
Низька
відносна
щільність
при
повторному
дослідженні
свідчить про
зниження
контраціонной функції нирок.
Спостерігається
при
хронічній
нирковій
недостатності,
хронічних
інтерстиціальних
нефриті,
пієлонефритах,
канальцевий
дисфункціях,
нирковому
нецукровому
діабеті,
поликистозе,
гідронефроз.
Висока
відносна
щільність
сечі
визначається
при
нефротичному
синдромі за
рахунок
білка в сечі,
при
цукровому
діабеті за
рахунок
глюкози.
Для
уточнення
контраціонной
функції використовується
спеціальні
проби. Найпростішою є проба
Земніцкого,
Добова
кількість сечі
збирається
через кожні 3
години на
окремий
посуд. У
здорової
людини
добове
виділення
сечі
становить 70-75%
від випитої
рідини. Денний
діурез
становить 65-80%
від добового.Коливання відносної
щільності
сечі в пробі
Земніцкого
становлять
не менш 12-16
(наприклад 1006-1020).
При порушенні
здатності
нирок до
розведення на
ні в одній
порції не
буде
відносна
щільність
нижче 1011-1013, а при
зниженні контраціонной
функції - не
перевищує 1020.
Показники
відносної
щільності
сечі нижче 1011-1013
вказують на
гіпостенурією.
Низька
відносна щільність
і зниження її
коливань
називається
ізогіпостенуріей.
Зустрічається
при хронічній
нирковій
недостатності.
Помірне
зниження
відносної
щільності
спостерігається
при
хронічних
пієлонефритах,
особливо при
загостреннях
(порушення
реабсорбції
в канальцях).
Визначення
здатності
нирок до
розведення і
концентрування
здійснюється
за допомогою
проби з
сухоеденіем.
Це більш точний
метод, ніж
проба
Земніцкого.
Хворий на протязі
24 годин, а в
класичній
пробі по
Фальгарду
протягом 36
годин, не
вживає рідку
їжу. Сечу
збирають як
при пробі
Земніцкого.
При гарній
контраціонной
функції
нирок кількість
сечі різко
знижується
до 500-600 мл, а
відносна
щільність
сечі зростає
до 1028-1034 і вище.
Коли знижена
контраціоннаяфункція нирок, то
добовий
діурез
більше
зазначеного,
а відносна
щільність
сечі не
перевищує 1028. Коливання в межах 1020-1024
свідчать про
виразному
порушенні, а
менше 1020 - про
різке
зниження
здатності нирок
до
концентрування.
Не слід
проводити цю
пробу у
хворих
отримують
сечогінні.
На
практиці
частіше
користуються
модифікованої
пробою з
сухояденіє (18
годинна). Хворий
не п'є з 2 год
дня до 8 годин
ранку. У 8 год
хворий
мочиться (ця
сеча не
досліджується).
Потім
протягом 1-1,5
год збирають
сечу. Граничне значення
відносної
щільності 1024.
Якщо менше 1024 -
зниження
функції
нирок.
Проба на
розведення.
Це
дослідження характеризує здатність
нирок
максимально
розводити сечу
в умовах
штучної
гіпергідратації.
Водна
навантаження
частіше
одноразова
або триває
протягом
доби. При
одноразовій
пробі хворою
на протязі 30-90
хвилин
випиває воду
або слабкий
чай з
розрахунку 20
мл на кілограм
ваги. У
здорових
осіб
відносна
щільність
сечі
знижується
до 1003. Причому
протягом
перших 2 год
виділяється
більше 50%
випитої
рідини,
протягом 4
год - більше 80%.
При
порушенні
функції
нирок
відносна щільність
сечі не
знижується
менше 1004.
Визначення
креатиніну. Є
кінцевим
продуктом
креатиніну
крові. Він продукується
м'язовими
клітинами і
фільтрується
клубочками,
практично не
реабсорбіруясь.
Тому вміст
креатиніну
крові точно
відображає
екскреторну
функцію
нирок. Вміст
креатиніну
не залежить
від фізичних
навантажень,
від дієти, що
зустрічається
при
дослідженні
сечовини і
залишкового
азоту. Концентрацію
креатиніну
виявляють за
допомогою
реактивів
хімічним
шляхом. У
нормі концентрація
креатиніну в
крові
становить 0,06-0,123
ммоль / л. При
зниженні
хункціі
нирок
креатинін
крові
зростає.
Дослідження
швидкості
клубочкової
фільтрації.
Використовується
метод
кліренсу (очищення)
речовин, які
в процесі транспорту тільки
фільтруються
і не
реабсорбуються.
У цьому
відношенні
дуже
придатний
креатинін.
Також
використовується
інулін і сечовина.
Досліджується
креатинін у
сечі, крові і
розраховується
за формулою
залежно від
хвилинного
діурезу. Норма - 80-120 мл / хв.
Знаючи СКФ
можна
підрахувати
реабсорбцію
в%:
СКФ -
хвилинний
діурез
СКФ%
Після 40
років СКФ
поступово
знижується,
приблизно на
1% на рік. У віці
80-89 років вона
може
становити
від 40 до 100 мл / хв.
При
захворюваннях
нирок
фільтраційна
функція
знижується. При
ХНН СКФ може
бути 2-5 мл / хв.
Причини
порушення
концентраційної
функції
нирок є зниження
маси діючих
нефронів,
зменшення
фільтрує здібності клубочків,
зниження
ниркового
плазматока,
обструкція
ниркових
канальців,
надлишкова
фільтрація
через
ушкоджений
епітелій
канальців та
ін Це
зустрічається
при хронічному
гломерулонефриті,
хронічному
пієлонефриті,
хронічному
інтерстіціональном
нефриті,
амілоїдозі,
нефросклероз,
артеріальної
гіпертензії.
СКФ може
знижуватися
не тільки при
нирковій
патології,
але і в
умовах гіпотонії,
при шоках,
при
гіповолемії,
при вираженій
серцевій
недостатності.
Значно
рідше при патологічних станах в
нирках
розвивається
стан гіперфільтрації
(СКФ вище 120 мл /
хв). Буває на
ранній стадії
цукрового
діабету, при
гіпертонічній
хворобі,
хронічних
гломерулонефритах.
В даний час
розглядається
як один з механізмів прогресування
ниркової
недостатності.

Рентгенологічні
методи
дослідження
1.
Оглядова
рентгенографія.
Це
обов'язковий метод.
Підготовка
хворого за
допомогою клізми напередодні і
безвуглеводної
дієти.
Дозволяє
уточнити
форму,
величину,
наявність,
кількість
бруньок, їх
розташування,
а також
наявність рентгеноконтрастних
каменів. Ліва
нирка зазвичай
розташована
вище від
правої на 1,5-2 см. Тінь лівої нирки
повинна
ділитися
навпіл XII ребром.
При переході
з
горизонтального
у вертикальне
положення
нирки
зміщуються
на 1-1,5 см.
2.
Внутрішньовенна
урографія.
Видно тінь нирок,
сечоводів і
сечового
міхура. Можна
оцінити не
тільки
анатомічний
стан нирок, але
і функціональний,
тому що можна
простежити
як швидко і
добре
виділяється контраст.
Через 5 - 10 - 15 - 20 - 30 - 60 хв
робляться
рентгенівські
знімки.
Особливо інформативнедослідження
для
діагностики
хронічних пієлонефритів,
тому що можна
оцінити стан
чашково-мискової
системи.
Модифікацією
внутрішньовенної
урографії є метод
інфузійної
урографії.
3.
Ретроградна
пієлографія.
Використовується
в урології
для діагностики
пухлин, туберкульозу,
аномалій
розвитку,
стриктур
сечоводів, сечокам'яної
хвороби.Контраст вводиться
через
сечовий
міхур і
сечоводи в
балії.
Можливе
інфікування
нирок, тому
рідко
використовується
в нефрології.
4.
Антеградная
пієлографія.
Контраст
вводиться в
миски шляхом
черезшкірної
пункції. Використовується
в основному
при так
званій
нефункціонуючої нирки(неінформаційних
інших
методів).
5.
До
додаткових
рентгенологічних
методів відноситься
томографія,
рентгенівське
дослідження
в умовах
ретропневмоперітонеума
(введення
газу в
заочеревинного
простору),
ангіографія
(при підозрі
на пухлину
нирки,
надниркових
залоз, при
гідронефрозі,
при вазоренальної
гіпертензії).
Останнім
часом у клінічну
практику
впроваджено
метод
ниркової ангіографії
з
комп'ютерною обробкою одержуваного
зображення,
так звана
цифрова
субтракційна
ангіографія.
Контраст, кількість
якого в 2-3 рази
менше, ніж
при звичайній
внутрішньовенної
урографії,
вводиться
внутрішньовенно.
Комп'ютером
проводиться
цифрова обробка звукових сигналів для
отримання
зображення
нирок. Рідше
в клінічній
практиці
використовується
такі рентгенологічні
методи, як
ниркова
венографія і
венокаваграфія,
лімфографія.
Комьпьютерная
томографія
використовується
в основному
для діагностики
об'ємних
утворень
(каменів в
нирках, полікістозу,
пухлин
передміхурової
залози,
сечового
міхура).
Ці
методи
протипоказані
при
вираженій нирковій
недостатності,
при
підвищеній
чутливості
до йоду і при
важких
захворюваннях
печінки. При
проведенні
цих досліджень
можливі
алергічні
реакції аж до
анафілактичного
шоку,
можливий
колапс, гостра
ниркова
недостатність, гостра
печінкова
недостатність. Ці
методи
обов'язково
виконуються
у присутності
лікуючого
лікаря. До
побічних
реакцій
відноситься головний
біль,
запаморочення,
гіперемія
обличчя.
падіння
артеріального
тиску. При
алергічних
реакціях
перш за все
використовується
тіосульфат
натрію, як
антидот йоду.
Радіоізотопні
методи
дослідження
Самостійного
значення для
постановки
діагнозу не
мають.
Використовуються
в комплексному
обстеженні.
1) При
ізотопної
ренографії з
боку спини в
положенні
сидячи
хворому
встановлюються
два датчики,
третій в
проекції
серця. Після
внутрішньовенного
введення
гіпурана
реєструються
графіки
виділення
ізотопу з
крові. Кожна
ренограмма
складається
з трьох відділів:
васкулярного,
секреторного
і екськреторного.
Порівнюючи
функцію
правої і лівої
нирки можна
оцінити три
ці сегменти: судинний,
секреторний
та
екскреторної.
2) Сцинтиграфія
нирок.
Виявляється
зміни
функції
нирок. Можна
побачити
підозри на
пухлини
нирок, коли
видно
розрідження
розподілу
ізотопу.
УЗД

Пральні
сканування
нирок
(ехографія) -
неінвазивне
дослідження
нирок, дуже
широко
використовується
в наш час.
Метод дозволяє
уточнити
розміри
нирок,
положення, аномалії
нирок,
виявити
пухлини,
кісти нирок,
конкременти,
гідронефроз.
УЗД має
проводитися
в комплексі з
іншими
дослідженнями.
БІОПСІЯ
НИРОК
Це
прижиттєве морфологічне дослідження
ниркової
тканини.
Метод широко
використовується
з 50-х років.
Проводиться
закритим і
відкритим
методом.
Відкритий -
це
операційний
метод,
використовується
рідко, в
основному користуються
закритим
методом
(пункційна
біопсія
нирок).
Біопсія
нирок
проводиться
з
діагностичною
метою. У 30%
випадків
вона змінює
діагноз. Крім того біопсія
проводиться
для оцінки
характеру
змін у нирках
і вибору
терапії.
Біопсія уточнює
причини
ниркової
протеїнурії,
гематурії, встановлює природу
нефротичного
синдрому,
різних варіантів
хронічних гломерулонефритів,
амілоїдозу,
діабетичного
гломерулосклероз,
подагричної
нирки,
артеріальної
гіпертензії.
При оцінки
біопсійного
матеріалу
використовують
різні методи
забарвлення,
електронну,
люмінесцентну мікроскопію (видно
відкладення
імунних
комплексів).
Абсолютні
протипоказання
до біопсії:
1) наявність
єдиної нирки,
2) порушення
згортання
крові
(гіпокоагуляція,
тромбоцитопенія,
геморагічний
діатез),
3) тромбоз ниркових
вен,
4)
гідронефроз,
піонефроз,
полікістоз.
Повинна
бути
зроблено
запис, що
хворий не проти
дослідження.
Відносні
протипоказання:
1) важка артеріальна
гіпертензія (більше 110
мм.рт.ст.),
2) ХНН
9креатінін
більше 0,44
ммоль / л),
3) патологічна рухливість
нирок,
4) виражений
поширений
атеросклероз.
Ускладнення: кровотеча в миски, під
капсулу, в
клітковину;
утворення
гематоми,
нагноєння
останньої;
пошкодження
сусідніх
органів.
При
обстеженні
нефрологічного
хворого на
першому місці
йде доктор зі
своєї
діагностичної
концепцією,
яку він буде
доводити з
допомогою спеціальних
методів
дослідження.
ЛІКУВАННЯ
ПРИ
ЗАХВОРЮВАННЯХ
НИРОК І СЕЧОВИВІДНИХ
ШЛЯХІВ
Захворювання
нирок.
Захворювання
нирок і
сечовивідних
шляхів
досить
хворобливі й
підступні,
наприклад,
пієлонефрит
і сечокамяна
хвороба.
Захворювання
можуть бути
як запального,
так і
бактеріального
характеру.
Це
трапляється
частіше в
жінок за 50
років. Хвороби
непомітно
можуть
перейти в
хронічну
форму.
Тому
потрібно
почати
своєчасне
лікування.
Пієлонефрит
може
розбудовуватися
як
самостійне
захворювання,
так і у
вигляді
ускладнення
при інших
недугах
сечостатевої
системи. Це
може бути й
аденома
передміхурової
залози, і
сечокамяна
хвороба, і навіть
ускладнення
після грипу.
>Рекомендується
вживати
щодня 80—120 г
меду із соком
лимона й шипшини,
що поліпшує
діурез і
зменшує
інтоксикацію.
При
лікуванні
захворювань
нирок мед призначають
усередину з
рекомендованої
нефрологом
або урологом
мінеральною
водою, краще
теплої. Мед
добре
поєднувати й
із прийманням
пилку,
прополісу,
маткового
молочка.
Ухвалювати
по 1 ст. л. 3- 4 рази
в день.
Комплексне
лікування
досить
ефективне.
Курс лікування
— 3-4 тижня.
>Заварюють
1 ст. л. сухих
плодів
шипшини, 100 г свіжих
плодів 1
склянкою
окропу.
Кипятять 10 хв, залишають
настоюватися
на 12-24 год, потім
проціджують,
віджимають
ягоди, до
відвару
додають 1 ст. л.
меду й
перемішують.
Ухвалюють по
полстакана 2- 3
рази в день.
Використовувати
напій
протягом
першої доби.
Він корисний
для дітей і
дорослих.
>Змішати
100 г меду й 200 г
соку гранату.
Ухвалювати
по 1/4 склянки 4 рази
в день.
Зменшуються
набряки,
депресія й
збільшується
діурез
завдяки цій
суміші Авиценни.
>3 ст. л.
здрібнених
листів
брусниці
залити 2 склянками
окропу.
Настояти в
термосі 3 ч.
Процідити й у
теплий настій.
додати
2 ст. л. меду.
Ухвалювати
по полстакана
3 рази в день
за 30 хв до їжі.
•> Пити
по 1 склянці
березового
соку з 1 ст. л. меду.
•>
Побрати на
один раз 1 ст. л.
соку
журавлини й
змішати його
з 1 ст. л. меду.
Ухвалювати 3
рази в день
за 30 хв до їжі
при
захворюванні
нирок. Курс
лікування — 1
— 1,5 мес.
«>
Приготувати
по 1 склянці
меду і ягід
калини, усе
змішати.
Ухвалювати
по 1 ст. л. 3 рази
в день за 30 хв
до їжі. Курс
лікування — 3-4
тижня.
При
каменях у
бруньках і
сечовому
міхурі.
Пієлонефрит,
сечокамяна
хвороба й ще
цілий ряд
інших захворювань
нирок і
сечового
міхура
заподіюють
хворим
безліч
занепокоєнь
і страждань.
При перших же
ознаках того
або іншої
недуги
сечостатевої
сфери
хворому слід
звернутися
за
консультацією
або
допомогою до
лікаря, який
на підставі
результатів
аналізів
зможе
кваліфіковано
визначити
спосіб
рятування
від недуги. У
цей час в
арсеналі
лікарів є
безліч
терапевтичних,
хірургічних,
а також
апаратних
методів
боротьби із
захворюваннями
цієї сфери.
Не слід
відкидати й
допомогу народної
медицини, яка
пропонує
безліч ефективних
рецептів,
здатних
вилікувати
без хімії
безліч
захворювань
нирок і
сечовивідних
проток.
•>
Склянка
настою
листів
брусниці (
для настою
залити 20 г
висушених
листів
склянкою окропу
й настояти 3-4
год у термосі,
потім
отфильтровать
і остудити),
додати 1 ст. л.
меду,
ретельно
змішати.
Ухвалювати
по склянці 3
рази в день
за 30-40 хв до їжі
до повного
лікування
або за
рекомендацією
лікаря. Даний
рецепт
застосовувати
при сечокамяній
хворобі й
подагрі.
Ч>- Змішати
по 30 г меду,
соки
лимонний і
морквяний. Ухвалювати.
3 разу в
день за 30 хв до
їжі по 150 г. Курс
лікування — 3-.
4 тижня.
Про
Побрати по 200 г
соку лимона й
меду, варити в
закритому
посуді на
водяній
лазні 30-40 хв. Ухвалювати
по 1 ст. л. 3 рази
в день за 30 хв
до їжі. Курс
лікування — 3-4
тижня. Рецепт
застосовувати
при
сечокамяній
хворобі й
подагрі.
•>
Приготувати 2
ст. л. порошку
кореневища
лепехи й
варити їх
протягом 15-20 хв
на киплячій водяній
лазні. Потім
отфильтровать,
остудити й
ретельно
змішати з 2
склянками
світлих
сортів меду.
Ухвалювати
по 1 ч. л. 3 рази в
день за 30-40 хв до
їжі,.
чергуючи
з настоєм
соку чорної
редьки, меду
й горілки,
узятих по 3 ст.
л. і ретельно
змішаних
разом. Цю
суміш
настояти 3
дня, періодично
струшуючи
вміст.
Ухвалювати
по 3 ст. л. 3 рази
в день за 30-40 хв
до їжі й по 1 ст.
л. при
каменях у
бруньках.
Курс
лікування — 3-4
тижня або за
рекомендацією
лікаря.
Побрати
200 г вільхової
кори й
змішати з 250 г
меду,
прокипятити
15 хв, додати
соди на
кінчику ножа.
Ухвалювати по
1 ст. л.
3 разу в
день через 20-30
хв послу їжі.
Рецепт використовувати
при каменях у
бруньках.
Курс лікування
— 3-4 тижня або
за
узгодженням
з лікарем.
При
нічному
нетриманні
сечі в дітей.
>Добре
ухвалювати
мед перед
сном (1-2 ч. л.).
Більш
ефективне вживання
меду разом з
настоєм
деревію й
польового
хвоща (по 1 ч. л.
кожної трави
на склянку окропу,
наполягати 2
год,
процідити,
ухвалювати
по 0,5 склянки).
>1 ст. л.
трави
репешка
звичайного
залити склянкою
окропу.
Настояти в
термосі 1 год,
процідити.
Ухвалювати
по 50 мол 3 рази в
день за 30 хв до
їжі з додаванням
1 ч. л. меду. Курс
лікування — 3-4
тижня при
энурезе.
>При
нестерпності
бджолиної
отрути організмом
дитину
починають
лікування за
наступною
схемою:
беруть
бджолу й
приставляють
на 2,5 див нижче
пупка й на 2,5
див у
будь-яку
сторону від
білої лінії.
Через 5-10 з жало
виймають
пінцетом.
Через 2-3 дня
процедуру
повторюють,
але жало
виймають
через 15-20 с. З
появою білка
й цукру в
сечі лікування
припиняють.
Ефективність
наступає
після 3-25
сеансів.
При запаленні
сечового
міхура.
>Заварити
чай з
кукурудзяними
рильцями й стеблинками
вишні, додати
мед по
смакові. Ухвалювати
замість чаю.
>Змішати
0,5 л сухого
виноградного
вина й 1 склянка
меду.
Ухвалювати
по 50 г 3 рази в
день за 30 хв до
їжі. Курс
лікування — 3-.
4 тижня.
Є прекрасним
сечогінним
засобом.
30 ядер
гіркого
мигдалю
змолоти й
змішати з 850 г
соку редьки
чорної й 150 г
меду.
Ухвалювати 3
рази в день
по 40 г суміші
за 30 хв до їжі. Є
гарним додатковим
засобом до
інших
рецептів при уролитиазе.
Перед
прийманням
суміш
розмішати.
Зберігати в холодильнику.
Курс
приймання — 3-4
тижня.
Засобу
лікування
при
захворюваннях
нервової
системи.
При
ревматичних
поразках
нервової
системи.
">
Маткове
молочко
сприяє
обмінним
процесам.
Його
рекомендують
класти під
мову по 20-30 мг 3
рази в день.
Курс
лікування — 2-3
тижня. Можна
також
використовувати
суміш у співвідношенні
1:20 з маткового
молочка й
45%-ного етилового
спирту.
Ухвалюють її
по 5 капель 4 рази
в день за
годину до
їжі.
При
невралгії.
Рекомендується
комплексне
лікування
бджолиною
отрутою й
матковим
молочком за
схемою й у
дозах,
загальноприйнятих
для
лікування.
При цьому
фармакологічний
ефект значно
підсилюється,
підвищуються
захисні сили
організму.
Найбільш
ефективним
засобом при
лікуванні
названих
захворювань
є бджолина
отрута.
Апитоксикотерапия
(лікування
бджолиною
отрутою)
повинна проводитися
тільки під
спостереженням
лікаря.
Уведення
бджолиної
отрути в
організм людини
здійснюється
за допомогою
ужалення бджолами,
внутрішншкірним
і підшкірним
уведенням
або місцево,
утиранням
мазей, що
містять
бджолину
отруту.
Для
ужалення
рекомендується
використовувати
зовнішні
поверхні
плечей і
стегон. У перший
день хворого
піддають
ужалению однієї
бджолою, на
другий —
двома, на
третій — трьома.
Курс
лікування 18
днів (приблизно
50 ужалений).
Через 3-4 дня
перерви
роблять
щодня по 3
ужалення
протягом 1,5
мес., або 135 ужалений.
Усього за два
курси
лікування
хворий
ухвалює
близько 200
ужалений.
Більш точне дозування
досягається
при
внутрішншкірному
введенні
бджолиної
отрути по 0,1, Э2 і
0,3 мг, що
відповідає 1, 2
і 3 ужаленням.
При
неврастенії,
стертий.
•э
Ухвалювати 100-120
г меду в добу
протягом 1-2
мес. - ранком і
ввечері по 30 г,
а після обіду
40-60 г. Мед необхідно
розбавляти в
склянці води
кімнатної
температури.
Через 1-2 тижні
після
початку
лікування у
хворих наступають
гарний
міцний сон,
почуття
бадьорості,
підвищується
працездатність.
•> При
цьому
захворюванні
сік малини з
медом
виявляє
зміцнювальна
дія. При
подавленому
настрої
ухвалюють
суміш із 1 ст. л.
боржомі, 1 ст. л.
меду й 1/2 ст. л.
дрібно
нарізаного
лимона для
підвищення
життєвого
тонусу.
" Про
Суміш із 1 ст. л.
мяти й 1 ст. л.
ромашки заливають
0,5 л окропу,
закривають
кришкою на
годину, а
потім
проціджують.
Мед додають
по смакові.
Ухвалюють по
1-2 ст. л. 3 рази в
день до
настання
поліпшення (2-3
тижня).
При
захворюваннях
нервової
системи.
>Гарний
лікувальний
ефект
виявляє
застосування
суміші, що
полягає з 1 ст.
л. меду й 1 ч. л. перги,
яку
розбавляють
у склянці
води кімнатної
температури.
Застосовують
ранком і
після обіду
по 30-50 г. Через 1-2
тижні
наступає поліпшення.
■>
Побрати по 1 ч.
л. трави
меліси й
здрібнених кірок
апельсина. Цю
суміш залити
склянкою окропу.
Наполягати 10
хв,
процідити,
додати 1 ч. л.
аптечного
препарату
валеріани.
Ухвалювати
по склянці 2- 3
рази в день
разом з
натуральним
медом (мед не
розчиняти в
настойці, а є
так). Цей чай
виявляє
заспокійлива
дія.
При
головному
болі.
>Настояти
20 г прополісу
в 100 г спирту й
ухвалювати
по 40 капель,
якими
просочують
хліб і зїдають.
«>
Побрати
здрібнені
кореневища
марьина
кореня,
залити горілкою
в пропорції 1:10
і наполягати
8-10 днів. Процідити
й ухвалювати
по 1 ч.л. 3 рази в
день за 15-20 хв до
їжі разом з 1/2 ч.
л. квіткового
пилку.
«>
Залити 1 ст. л.
квіток
бузини
сибірської
склянкою
окропу,
наполягати 20
хв. Процідити
й пити по 1/4
склянки з 1 ст.
л. меду 3- 4 рази в
день за 5 хв до
їжі.
При
безсонні.
Про-О-
Ухвалювати
на ніч розчин
меду як заспокійливий
засіб. Для
цього
побрати 1 ст. л.
меду й
розчинити її
в склянці
теплої води з
лимоном або в
кефірі. Через
1-2 тижні
наступає
поліпшення.
>Якщо
безсоння
викликається
припливом крові
до голови, те
досить
корисно
прикладати
гірчичники
або натертий
хрін до ікр
ніг. Одночасно
рекомендується
прийняти
склянку
огіркового
розсолу з 1 ст.
л. меду, який
за рахунок
ефекту, що
попускає,
сприяє
відливу крові
від голови.
При
захворюванні
нирок огірковий
розсіл
протипоказаний.
>При
безсонні на
ґрунті
неврозу й
підвищеного
психоемоційного
порушення за
30—45 хв до сну
рекомендується
випити 2/3
склянки теплої
води з 1 ст. л.
меду. Уживати
до
нормалізації
сну.
При
нервовій
депресії й
порушенні.
Про
Пилок
ухвалювати
як у
натуральному
виді
(грудочками),
так і в
суміші з
маслом, варенням,
медом і т.д. за
чверть
години до
сніданку й
перед
вечерею.
Денна доза
дорослим: підтримуюча
— 20 г,
лікувальна —
32 г,
відповідно
дітям до 12
років — 12 і 16 г.
Перга в 3 рази
ефективніше
пилку.
Про
Залити 1 ч. л.
сухої
здрібненої
трави пустирника
пятилопаст-
ного
склянкою
окропу. Наполягати
під кришкою,
остудити й
процідити.
Додати 1 ст. л.
меду й
ухвалювати
по 1 ст. л. 3 рази
в день.
•>
Побрати по 2
частині
трави
пустирника,
трави
сухоцвіту
болотної,
трави
материнки, по
1 частині
аркуша
шавлії,
плодів глоду
криваво-червоного.
Усі добре
змішати.
Залити 5 г суміші
склянкою
окропу, 10 хв
нагрівати на
водяній
лазні,
наполягати 20
хв, остудити.
Ухвалювати
по 1/2 склянки 2
рази в день. Курс
лікування — 6-8
тижнів при
підвищеній
нервовій
збудливості,
скаргах на
серцеві перебої,
запамороченні.
Засобу
лікування
при
захворюваннях
шкіри, ранах,
виразках,
опіках і
обмороженнях.
При
лікуванні
інфікованих
ран і виразок
мед
застосовують
у вигляді
мазей, тому
що мед має
протимікробну
дію,
вибірково
впливаючи на
багато коків,
кишкову,
дизентерійну
палички й
підсилюючи в
рані
кровоток і
відтік лімфи,
що веде до
швидкого
очищення її
від гною й
сприяє грануляції
й эпителиза-
ции рани.
Гарні результати
дає
застосування
меду з
рибячим жиром,
що містять
велику
кількість
вітаміну А,
який бере
активну
участь у
відновленні
епітеліальної
тканини.
Вялозаживающие
рани.
У
народній
медицині для
підвищення
лікувального
ефекту мед
часто
додають до
відварів
лікарських
рослин, сокам
овочів і
картоплі для
загоєння ран
і виразок.
При
цих недугах
гарні
результати
дає мазь Конькова,
що містить
великий
відсоток меду.
Її
накладають на
рану з
марлевою
повязкою й
міняють
через кожні 2-4
дня. Курс
лікування — 2-3
тижня.
Фармацевтична
промисловість
випускає
мазь.
Конькова
№ 1, 2 і 3. Можливо
й інша
комбінація:
мед,
спермацет і
10%-ная мазь
календули,
узяті в рівних
кількостях.
Про-
для лікування
ран, що
довгостроково
не гояться, і трофічних
виразок
нижніх
кінцівок у
домашніх
умовах можна
приготувати
наступні ефективні
мазі:.
1)
пеніцилін — 500
тис. ед.,
рибячий жир —
5 г, натуральний
мед — 10 г.
Змішати,
накласти на
виразку й
забинтувати. Міняти
повязки
кожні 2-3 дня.
Курс
лікування — 2-3
тижня;.
2) мед — 80
г, рибячий
жир — 20 г і
ксероформ — 3
г. Мазь
накладають
на очищену
рану з
марлевою повязкою
кожні 2-3 дня.
Курс
лікування 2-3
тижня.
Лікування
ран і
порізів.
>Даний
засіб
уважається
одним із
кращих. Треба
побрати 100 г
рослинної олії,
8 г жовтого
воску, 5 г
білого воску,
20 г соснової
смоли
(каніфолі), 1 г
ладану, 1 ст. л.
несолоного
свіжого
вершкового
масла. Якщо
каніфоль і
ладан у
шматочках, то
роздрібнити
ці шматочки й
перетворити
в дрібний
порошок.
Покласти все
в каструлю й кипятити
10 хв. Увесь час
заважати
суміш і знімати
зверху всю
піну, що
зявляється
на поверхні.
Скласти все в
скляну банку.
Намазувати
цю мазь
тонким шаром
на марлю або
ганчірочку й
прикладати
до рани або
порізу. Відомо,
що мазь
виліковує
всякі рани й
порізи,
навіть дуже
старі й
запущені.
>Залити
1 ст. л. сухої
трави
сухоцвіту
болотної
склянкою
окропу,
поставити на
10-15 хв на водяну
лазню.
Остудити,
процідити й
додати 1 ст. л.
меду. Такий
склад можна
використовувати
для
промивання
при раневих і
виразкових поразках
шкіри.
>Залити
50 г листів
евкаліпта 500
мол окропу,
поставити на
10- 15 хв на водяну
лазню.
Остудити, процідити
й додати 2 ст. л.
меду. Суміш
використовують
для
лікування
ран, що
довгостроково
не гояться, і
виразок у
вигляді
примочок і
ванночок.
При
екземі.
>Ретельно
обмивання й
очистивши
картоплю,
натерти його
на дрібній
тертці, щоб
одержати
кашку. ДО 0,5
склянки
кашки додати
1 ч. л. меду й
перемішати.
Суміш шаром
не менш 1 див
накласти на
марлеву
серветку й
прикласти до
ураженої
ділянки
шкіри, зафіксувати
бинтом,
тримати не
менш 2 ч. Знявши
серветку,
обережно
заберіть
просочившуюся
на рану
суміш. Такі
повязки
протягом дня
можна робити
кілька раз.
На ніч на
уражену
поверхню
можна
накласти
повязку із
прополисной
маззю, а днем
знову
накласти
аплікацію з
картоплі й
меду.
Про
Зробити мазь:
50 г меду
нагріти,
додати 10 г чистого
березового
дьогтю,
ретельно
перемішати.
Зберігати
при
температурі
4°С. Після электрофореза
з
натуральним
медом на вогнище
поразки
накласти
повязку з
маззю.
Процедуру
робити щодня
протягом 15—20
днів. Можна
провести 2—3
курсу лікування.
Крім того,
слід щодня
ухвалювати мед
усередину по
1 ст. л. 3 рази в
день до їжі.
Про
При
пітливості й
мокнучій
екземі рук готовлять
відвар
дубової кори:
1 частина
кори, 5 частин
води. До
склянки відвару
з кори
додають 1 ч. л.
30—40%-ний
спиртової
настойки
прополісу.
.Цю суміш
наносять на
шкіру. При
пітливості
ніг роблять
ножні ванночки,
але з більш
слабкого
відвару
дубової кори
(1:10). ДО 1 л
відвару
додають 10 г
спиртової
настойки
прополісу.
Температура
ванночки — не
більш 38 °С, а
тривалість
процедури — 20
хв. Курс
лікування — 10
днів.
Ч>2 ст. л.
дьогтю, 1 ст. л.
меду, 1/2 ч. л.
бджолиного
воску, 1 ст. л.
розтертого
мідного
купоросу, 1 ст.
л. оцтової
есенції, 4 ст. л.
соняшникового
масла
ретельно
перемішати,
наносити
мазь тонким
шаром на уражену
шкіру.
Лікування до
повного
видужання.
Ч>-
Побрати
рослинна
олія (краще
конопельне,
можна
соняшникове,
тільки не
промислового
виробництва),
лук
ріпчастий,
натуральний
бджолиний
віск.
Почистити
багато лука,
дрібно його
порізати,
залити
маслом і
жарити на
слабкому
вогні до
золотавого
кольору. Потім
лук вилучити,
масло злити у
віск, щоб вийшла
мазь.
Прогріти, щоб
віск
розтопився, остудити,
мазь готова.
Кілька раз
змазати
хворі місця.
При мокрій
екземі через
якийсь час
зявляються
темні
скоринки.
Їхнім не треба
знімати —
самі
відваляться.
Але й після
цього
уражене
місце треба
змазувати.
При
екземі вух,
вушна
сверблячка
При цих захворюваннях
хворих,
схильних до
алергійних
реакцій на
антибіотики
й інші
лікарські
препарати, з
успіхом
можна
лікувати
сумішшю з настойки
прополісу й
настойки
шкарлупи волоських
горіхів.
Засіб
ефективний і
його легко
приготувати
в домашніх
умовах. Відомо,
що в шкарлупі
недоспілого
(зеленого)
волоського
горіха поряд
з більшою
кількістю
аскорбінової
кислоти
втримується
речовина юглон,
яке має дуже
сильну
бактерицидну
властивість
і майже
повністю
знищує
грибкову флору.
Особливо до
нього
чутливі
гриби роду
кандида — бич
сучасної
антибиотикотерапии.
Для готування
настойки
шкарлупу
недоспілого
волоського
горіха
(рекомендується
працювати в
гумових
рукавичках)
подрібнюють
і наполягають
на 70%-ном
етиловому
спирті (10 г
здрібненої
шкарлупи на 100
мол спирту).
Через 4—5 днів
проціджують
>
<ерез 2—3
шару марлі й додають
рівна
кількість
30%-ний
настойки прополісу.
При
сверблячці
протирають
шкіру зовнішніх
слухових
проходів
орехово- прополисовой
настойкою, а
при екземі
вставляють у
вуха марлеві
турундочки
(жгутики),
змочені в цій
суміші, на 30—40
хв 2— 3 рази
всунь.
Звичайне
лікування
триває не
більш 10 днів. У
випадку
встановленого
грибкового
захворювання
після 1—
10-денного
курсу
лікування
роблять
перерва на 2
дня й беруть
посів з вух
для
лабораторного
аналізу на
грибок.
При
лікуванні
опіків і
обморожень.
•У В
невелику
ємність
видавити
небагато
крему (дитячий,
живильний,
для рук),
додати 1 мол
екстракту
алое
(наприклад,
уміст
ампули), 1 мол
настою
звіробоя ( з
раса i5 т
звіробоя на
склянку води)
і 0,5 ч. л. меду.
Додати щіпку
пшеничного
борошна й усі
добре
перемішати.
Змазувати
ушкоджену
поверхню не
менш 2 раз у
день.
Застосовувати
при I-II
ступенях
опіку як
першої
допомоги й
при
обмороженнях
легкого
ступеня.
>
Побрати
полстакана
картопляної
кашки й додати
1 ч. л. меду,
перемішати й
нанести шар 1
див на
марлеву
серветку.
Прикласти її
до
обпаленого
місця й злегка
забинтувати.
Через 2-3 год
повязку
перемінити.
Рекомендований
засіб дає
прекрасний
ефект не
тільки при
опіках, але й
при вуграх,
застарілих
виразках,
екземі й
інших захворюваннях
шкіри.
При
забитий
місцях.
«> Застосовують
прополисную
мазь 15%-ний
концентрації
на вазеліні.
Прикладають
марлеві серветки
із цією
маззю. При
забитий
місцях прополисную
мазь
застосовують
у вигляді втирань.
■>
Змішати
кашку однієї
цибулини
ріпчастого
лука з 1 ст. л.
порошку
листів подорожника
й додати
рівна за
обсягом
кількість
меду.
Застосовувати
для
компресів.
Робити їх 3
рази в день
при забитий
місцях і
синцях,
тримати по 2 ч.
Про
Змішати
виноградний
оцет з медом.
Робити
примочки при
темних
плямах під
очима, а також
на тих місцях
шкіри, де
застигла й
затверділа (
у вигляді
темної плями)
кров.
При
псоріазі.
Про
Побрати по 100 г
соку корінь
лепехи, оцту
столового й
меду, усе це
перемішати,
дати постояти
3—4 ч. Перед
накладанням
лікарських
повязок
добре
збовтати.
Накладати на
2—3 ч. Знявши
повязку,
змазати
ланоліном
або солідолом
при псоріазі.
Засобу
лікування
при
ослабленій
імунній системі,
обміні
речовин,
фізичної
утоми.
При
виснаженні й
ослабленні
організму.
Про
Мед як
харчовий і
лікувальний
засіб застосовують
при
виснаженні й
ослабленні
організму,
рекомендується
ухвалювати його
по 100-150 г у день
із молоком.
*>
Розігріти
(але не
кипятити)
разом
Південь меду,
100 г
вершкового
масла, 100 г
смальцю або
гусячого
жиру, 15 г соку
алое
(столітника)
і 100 г какао.
Ухвалювати
по 1 ст. л. на склянку
гарячого
молока 2 рази
в день
(ранком і ввечері).
«>Змішати
150 г соку алое з
250 г меду й 350 г
вина (кагор),
наполягати в
темряві при
температурі
4—8 °С протягом
4—5 днів.
Ухвалювати
по 1 ст. л. 3 рази
в день за 30
хвилин до
їжі.
«>Листи
алое у віці 3—5
років
витримати в
темряві при
температурі
4—8°С протягом
12—14 днів. Потім
листи промити
у воді,
измельчить і
залити
кипяченою
водою в
співвідношенні
1:3, наполягати
1-1,5 год, отриманий
сік віджати; 100
г соку алое
змішати з 500 г
здрібнених
волоських
горіхів і
додати 300 г
меду.
Ухвалювати
по 1 ст. л. 3 рази
в день за 30 хв
до їжі.
«У
Побрати 2
склянки
соняшникових
насіннячок,
промити,
висушити,
помішуючи на
сковороді.
Потім усе
змолоти на
кавомолці. В 1
л гарячої
води
висипати
мелені
насіннячка й
довести до
кипіння,
додати при
цьому 3 ст. л.
меду (можна 2).
Потім усе
процідити.
Пити з ранку
по 100-150 г до їжі
для
відновлення
енергетики,
потенції й
працездатності.
Скільки пити,
розвяжете по
своєму
здоровю.
Для
поліпшення
обміну
речовин.
>Залити
водою
здрібнені
плоди
шипшини (1:20),
нагрівати на
водяній
лазні 15 хв,
наполягати 12
год,
процідити. Ухвалювати
по 1/2 склянки 1- 2
рази в день.
Курс лікування
— протягом
місяця. Не
рекомендується
при
підвищеної
свертиваемости
крові й
тромбофлебіті.
>Змішати
по 1 ч. л. молоді
листи берези,
листи суниці
й листи
чорниці.
Залити 1 ч. л.
збору
склянкою окропу
в термос на 3-4 ч.
Пити по 1/4
склянки
ранком до їжі
й на ніч. Курс
лікування — 1-2
мес. Повторити
через 1-3 мес.
>Змішати
насіння
кропу — 0,5 ч. л.,
квітки ромашки
— 1 ч. л., липовий
колір — 1 ст. л.
Залити 1 ст. л.
збору 1
склянкою
окропу в
термос на 3-4 ч.
Пити по 0,5
склянки
ранком і на
ніч. Курс
лікування — 1-1,5
мес.
Повторити
через 1-3 мес.
Чусмешать
по 1 ст. л. траву
чорниці,
траву суниці,
траву
брусниці
(збирати при
сході снігу).
Залити 1 ст. л.
збору
склянкою
окропу в
термос на 3-4 ч.
Пити по 1-1/2 склянки
ранком до їжі
й на ніч. Курс
— 1-1,5 мес., повтор
через 1-3 мес.
При
авітамінозі.
>Змішати
плоди
шипшини
(здрібнені) — 20
г, траву
звіробоя — 5 г,
квітки
ромашки — 5 г.
Залити 20 г
збору
окропом, додати
шматочок
свіжої
лимонної
кірки, наполягати
1 ч.
Ухвалювати з
медом по 200 мол
раз у день
після їжі.
>Змішати
листи
кропиви — 10 г,
плоди
шипшини — 5 г,
корінь оману
— 3 г. Залити
Південь
збору холодною
водою,
кипятити на
слабкому
вогні 12—15 хв,
наполягати 1
ч. Додати
перед
уживанням 10—12
крапель
облепихового
масла (у
кожну
порцію). Пити
гарячим по 200
мол 1 раз у
день після
їжі.
>Змішати
плоди
шипшини — 3
частини,
плоди малини
— 1 частина,
листи смородини
чорної — 2
частини,
листи
кропиви — 1
частина,
ягоди
горобини — 2
частини.
Залити 2 ст. л. збору
200 мол окропу,
настояти в
термосі 2 год,
процідити й
пити 2 рази в
день по 100 мол.
Засобу,
що зміцнюють
імунну
систему.
Ч>
Побрати по 100 г
здрібненої трави
безсмертника,
березових
нирок, трави звіробоя
й квіток
ромашки.
Покласти
суміш у
скляну банку
й щільно
закрити
кришкою. Перед
сном залити 1
ст. л. суміші 0,5 л
окропу, наполягати
20 хв,
процідити. На
склянку
відвару побрати
1 ч. л. меду,
розмішати, випити
на ніч.
Ранком
розігріти
відвар, розчинити
в ньому 1 ч. л.
меду й випити
натще при зниженні
захисних сил
організму.
Снідати через
0,5-1 год після
приймання.
Курс
лікування — до
повного
використання
суміші.
Лікування можна
повторити
тільки через
5 років.
Ч>
Покласти в
літрову
банку 100-150 г
дрібно нарізаного
лука, додати 100
г меду,
залити 0,5 л
гарного
виноградного
вина, дати
настоятися 2
тижня, зрідка
збовтуючи.
Профільтрувати
або віджати
через марлю.
Ухвалювати
щодня по 3-4 ст. л.
для
зміцнення
імунітету.
Ч>
Змішати 500 мол
боржомі, 1/2
склянки меду,
сік одного
лимона.
Ретельно
перемішати й
поставити на
добу в
прохолодне
темне місце.
Ухвалювати
по 2 ст. л.
ранком і
ввечері. Курс
лікування — 2
тижня.
ЧХ
Побрати по 1
склянці
кураги, ядер
волоських
горіхів,
ізюму.
Измельчить
усе
компоненти
на мясорубці,
перемішати й
додати 1,5
склянки меду.
Зберігати
суміш у
прохолодному
темному місці.
Ухвалювати
по 1 ст. л. 3 рази
в день за 30 хв до
їжі (дітям по 1
ч. або 1 дес. л.
залежно від
віку). Курс
лікування —
поки не
скінчиться
суміш. Після
перерви курс лікування
можна
повторити.
Цей рецепт
придасться
тим, хто
прагне
підвищити
опірність
організму
інфекціям у
холодну пору
року, додати
йому сил і
енергії.
Ч>
Залити по 5 ст.
л. сухих
здрібнених
листів кропиви
дводомної й
трави
деревію 1 л
киплячого
сухого червоного
вина,
настояти,
укутавши, 2
год, процідити,
підсолодити
медом. Пити
для зміцнення
сил після
важкої
хвороби
кожні 3 год по 50
г протягом
тижня.
Зберігати в
холодильнику.
Ч>
Змішати в
рівних
частинах по
вазі
здрібнені в
порошок
насіння льна
й коріння
окопника. В 1 ч.
л. суміші
додати 1 ст. л.
меду. Дітям
при худорбах
давати 6
таких порцій
у день.