Management of patients with systemic connective tissue diseases: systemic lupus erythematosus (SLE) systemic sclerosis (SS)
Systemic lupus erythematosus (SLE)
Systemic lupus erythematosus (SLE) is a chronic inflammatory disease of unknown cause which can affect the skin, joints, kidneys, lungs, nervous system, serous membranes and/or other organs of the body. Distinct immunologic abnormalities, especially the production of a number of antinuclear antibodies, are another prominent feature of the disease. The clinical course of SLE is characterized by periods of remissions and chronic or acute relapses. Women, especially in their 20s and 30s, are affected more frequently than men. Treatment is based on preventive measures, reversal of inflammation, prevention of organ impairment, and alleviation of symptoms.
History
The term ‘lupus’ was first used during the Middle Ages to describe erosive skin lesions evocative of a ‘wolf’s bite’. In 1846 the Viennese physician Ferdinand von Hebra (1816–1880) introduced the butterfly metaphor to describe the malar rash. He also used the term ‘lupus erythematosus’ and published the first illustrations in his Atlas of Skin Diseases in 1856. Lupus was first recognised as asystemic disease with visceral manifestations by Moriz Kaposi (1837–1902). Th e systemic form was further established by Osler in
Epidemiology
International statistics
The highest rates of prevalence have been reported in
The Lupus Foundation of American estimates prevalence to be up to 1.5 million cases, which likely reflects inclusion of milder forms of this disease. The frequency of SLE varies by race and ethnicity, with higher rates reported in blacks and Hispanics. The incidence of SLE in black women is approximately 4 times higher than that in white women. SLE is also more frequent in Asian women than in white women.
Race-, sex-, and age-related demographics
Worldwide, the prevalence of SLE appears to vary by race. However, there are different prevalence rates for people of the same race in different areas of the world. The contrast between low reported rates of SLE in black women in Africa and high rates in black women in the
Female-to-male ratio
More than 90% of cases of SLE occur in women, frequently starting at childbearing age. The use of exogenous hormones has been associated with lupus onset and flares, suggesting a role for hormonal factors in the pathogenesis of the disease. The risk of SLE development in men is similar to that in prepubertal or postmenopausal women. Interestingly, in men, SLE is more common in those with Klinefelter syndrome (ie, genotype XXY), further supporting a hormonal hypothesis. In fact, a study by Dillon et al found that men with Klinefelter syndrome had a more severe course of SLE than women but a less severe course than other men.
The female-to-male ratio peaks at 11:1 during the childbearing years. A correlation between age and incidence of SLE mirrors peak years of female sex hormone production. Onset of SLE is usually after puberty, typically in the 20s and 30s, with 20% of all cases diagnosed during the first 2 decades of life. The prevalence of SLE is highest in women aged 14 to 64 years. SLE does not have an age predilection in males, although it should be noted that in older adults, the female-to-male ratio falls. This effect is likely due to loss of the estrogen effect in older females.
Etiology
Although the specific cause of SLE is unknown, multiple genetic predispositions and gene-environment interactions have been identified (see the chart in the image below). This complex situation perhaps explains the variable clinical manifestations in persons with SLE.

HLA = human leukocyte antigen; UV = ultraviolet light.
In systemic lupus erythematosus (SLE), many genetic-susceptibility factors, environmental triggers, antigen-antibody (Ab) responses, B-cell and T-cell interactions, and immune clearance processes interact to generate and perpetuate autoimmunity.
SLE has a modest recurrence rate in families: 8% of affected patients have at least one first-degree family member (parents, siblings, and children) with SLE; this is in contrast to 0.08% of the general population. In addition, SLE occurs in both twins in 24% of identical twins and 2% of nonidentical twins, which may be due to a combination of genetic and environmental factors. Some studies have synthesized what is known about the mechanisms of SLE disease and genetic associations. At least 35 genes are known to increase the risk of SLE. A genetic predisposition is supported by 40% concordance in monozygotic twins; if a mother has SLE, her daughter’s risk of developing the disease has been estimated to be 1:40, and her son’s risk, 1:250.
HLA-A1, HLA-B8, and HLA-DR3 are more common in persons with SLE than in the general population. The presence of the null complement alleles and congenital deficiencies of complement (especially C4, C2, and other early components) are also associated with an increased risk of SLE.

Patients with SLE have higher titers of antibodies to Epstein-Barr virus (EBV), have increased circulating EBV viral loads, and make antibodies to retroviruses, including antibodies to protein regions homologous to nuclear antigens. In patients with SLE and EBV infection, the B cells are not primarily defective; rather, the SLE/EBV phenomenon is due to a T-cell abnormality, which causes failure iormal immunoregulation of the B-cell response. Viruses may stimulate specific cells in the immune network. Chronic infections may induce anti-DNA antibodies or even lupuslike symptoms, and acute lupus flares often follow bacterial infections.
POTENTIAL ETIOLOGIC FACTORS
• Viruses (EBV)
• Hormones (estrogen)
• Genetic predisposition (HLA B8)
• Drugs (e.g., procainamide)
↓
Loss of tolerance
↓
Polyclonal В cell hyper-reactivity
↓
AUTOANTIBODY PRODUCTION
(anti-double-stranded DNA, etc.)
↓
Immune complex formation in circulation and tissues
↓
TISSUE INJURY
• Glomerulonephritis
• Vasculitis
• Serositis
• Arthritis
Environmental and exposure-related causes of SLE are less clear. They potentially include the following:
· Silica dust and cigarette smoking may increase the risk of developing SLE
· Administration of estrogen to postmenopausal women appears to increase the risk of developing SLE.
· Breastfeeding is associated with a decreased risk of developing SLE
· Photosensitivity is clearly a precipitant of skin disease
· Ultraviolet light stimulates keratinocytes, which leads not only to overexpression of nuclear ribonucleoproteins (snRNPs) on their cell surfaces but also to the secretion of cytokines that simulate increased autoantibody production.
Patogenesis
The pathogenesis of lupus remains unclear although the concept of apoptosis goes some way to explaining how the immune system may recognise predominantly intracellular antigens. Autoantigens are released by necrotic as well as apoptotic cells. Defects in the clearance of apoptotic cells have been described in SLE which may lead to aberrant uptake by macrophages which then present the previously intracellular antigens to T and B cells thus driving the autoimmune process. Recent work has expanded these concepts and dissected out possible defects in clearance of apoptotic bodies including complement deficiencies, defects in macrophage handling and presentation of these antigens to the immune system. The most striking recent studies have demonstrated the development of autoantibodies years before the onset of clinical features of SLE and the antiphospholipid syndrome (APS). Antinuclear antibodies occurre earlier than antiDNA antibodies and a significant number of these patients had a rise in the anti-DNA titres just prior to diagnosis. Interestingly, anti-Sm and anti-RNP antibodies appeared shortly before diagnosis suggesting a crescendo of autoimmunity resulting in clinical illness. This data also suggests that autoantibodies alone do not necessarily result in clinical disease and that other factors possibly genetic and environmental may be important. It may be possible in the future to predict the onset of clinical features of lupus by clinical assessment and monitoring the development of various lupus autoantibodies.
Classification
The nature of the disease
ü acute
ü subacute
ü chronic:
Ø recurrent arthritis,
Ø discoid lupus,
Ø Raynaud’s syndrome,
Ø thrombocytopenic purpura syndrome,
Ø Sjogren syndrome
Stage of activity
ü Active
Ø high
Ø moderate
Ø minimal
ü Moderate
ü Severe
CLINICAL MANIFESTATIONS
Musculoskeletal involvement
Joints
Arthralgia occurs in about 90% of all patients with SLE. Characteristically, it is polyarticular, symmetrical, episodic and flitting iature. The patients’ symptoms often exceed the objective clinical findings and usually there is no clinically overt arthritis. Synovial effusions are uncommon and of small volume when they do occur. However, approximately 10% of SLE patients do have a deforming Jaccoud’s arthritis. In contrast to patients with rheumatoid arthritis, the deformities are not usually associated with synovial hypertrophy or bony erosions. In fact, tenosynovitis is more common than
erosive synovitis and is the cause of the “swan-neck” deformities and ulnar deviation seen in the Jaccoud’s arthritis of lupus. Examination of the synovial fluid usually reveals a white cell count of less than 3000/mm3, predominantly mononuclear cells. The fluid is often positive for rheumatoid factor and anti-nuclear antibody
Muscles
Clinically obvious muscle involvement has been reported in 30-50% of SLE patients. However, myalgia, muscle weakness and tenderness, may be due to a variety of other complications. Thus both corticosteroid and rarely chloroquine therapy may cause a myopathy. In addition, myalgia may be induced by an adjacent arthralgia, although only 5% of lupus patients have met the ACR criteria for both SLE and polymyositis.
Dermatological involvement
Cutaneous lesions may occur in up to 85% of SLE patients. The butterfly rash is erythematous, often blotchy, and found mainly over the malar bones and across the bridge of the nose
.
Although it is the best known skin lesion, it is merely one of numerous ways in which lupus manifests cutaneously. Lesions such as maculopapular and discoid lesions, splinter haemorrhages, dilated capillaries at the nail base, bullous lesions, angioneurotic oedema, livedo reticularis and buccal, genital and nasal ulceration have also been described.

http://drugline.org/ail/pathography/3141/
Vasculitic skin lesions are usually found at the nailfolds and finger tips or on the extensor surface of the forearm. When they occur around the malleoli, they may lead to tender, deep, leg ulcers which can take months to heal.
Many SLE rashes are exacerbated by ultraviolet light and indeed generalized lupus flares may follow exposure to direct sunlight with inadequate protection. A particularly photosensitive rash is subacute cutaneous lupus erythematosus (SCLE) which is often associated with anti-Ro antibodies.

http://mizzouderm.com/autoimmune.html
Babies born to mothers with anti-Ro and/or anti-La antibodies are at risk of neonatal lupus syndrome.

http://youritablets.com/systemic-lupus-erythematosus-symptoms-and-treatment/
The deposition of immunoglobulins at the dermal-epidermal junction in skin biopsies from patients with lupus was first reported over 40 years ago. These immunoglobulins are usually of the IgG or IgM isotype. Approximately, 90% of biopsies from lupus skin lesions have such immunoglobulin deposits which usually appear as a band along the dermal-epidermal junction, giving rise to the name the “lupus band test”. In patients with SLE, deposition of immunoglobulin and complement may be found in clinically normal skin and is thus a useful adjunct to diagnosis since no such deposition is found in patients with discoid lupus or control subjects.
Lupus nephritis
More than 70% of patients with SLE have renal involvement at some stage of their disease. These descriptions allow better communication between pathologists translating static images from histology slides into meaningful descriptions of the huge variety of biopsy appearances for clinicians. Of the different pathological classes, diffuse proliferative glomerulonephritis (Class IV) has the worst
prognosis, resulting in 11-48% of patients with end stage renal disease at 5 years.

http://www.med.niigata-u.ac.jp/npa/Lectures/Lupus.htm
International Society of Nephrology/Renal Pathology Society 2003 classification of lupus nephritis
Class I
Minimal mesangial lupus nephritis
Normal glomeruli by light microscopy, but mesangial immune deposits by immunofluorescence
Class II
Mesangial proliferative lupus nephritis.
Purely mesangial hyper-cellularity of any degree or mesangial matrix expansion by light microscopy, with mesangial immune deposits. May be a few isolated sub-epithelial or sub-endothelial deposits visible by immunofluorescence or electron
microscopy, but not by light microscopy
Class III
Focal lupus nephritisa
Active or inactive focal, segmental or global endo- or extra-capillary glomerulonephritis involving <50% of all glomeruli, typically with focal sub-endothelial immune deposits, with or without mesangial alterations
Class III (A)
Active lesions: focal proliferative lupus nephritis
Class III (A/C)
Active and chronic lesions: focal proliferative and sclerosing lupus nephritis
Class III (C)
Chronic inactive lesions with glomerular scars: focal sclerosing lupus nephritis
Class IV
Diffuse lupus nephritis
Active or inactive diffuse, segmental or global endo- or extra-capillary glomerulonephritis involving 50% of all glomeruli, typically with diffuse sub-endothelial immune deposits, with or without mesangial alterations. This class is divided into diffuse segmental(IV-S) lupus nephritis when 50% of the involved glomeruli have
segmental lesions, and diffuse global (IV-G) lupus nephritis when 50% of the involved glomeruli have global lesions. Segmental is defined as a glomerular lesion that involves less than half of the glomerular tuft. This class
includes cases with diffuse wire loop deposits but with little or no glomerular proliferation
Class IV-S (A)
Active lesions: diffuse segmental proliferative lupus nephritis
Class IV-G (A)
Active lesions: diffuse global proliferative lupus nephritis
Class IV-S (A/C)
Active and chronic lesions: diffuse segmental proliferative and sclerosing lupus nephritis
Active and chronic lesions: diffuse global proliferative and sclerosing lupus nephritis
Class IV-S (C)
Chronic inactive lesions with scars: diffuse segmental sclerosing lupus nephritis
Class IV-G (C)
Chronic inactive lesions with scars: diffuse global sclerosing lupus nephritis
Class V
Membranous lupus nephritis
Global or segmental sub-epithelial immune deposits or their morphologic sequelae by light microscopy and by
immunofluorescence or electron microscopy, with or without mesangial alterations
Class V lupus nephritis may occur in combination with class III or IV in which case both will be diagnosed
Class V lupus nephritis show advanced sclerosis
Class VI
Advanced sclerosis lupus nephritis
90% of glomeruli globally sclerosed without residual activity
A Indicate the proportion of glomeruli with active and with sclerotic lesions.
B Indicate the proportion of glomeruli with fibrinoid necrosis and/or cellular crescents.
Indicate and grade (mild, moderate, severe) tubular atrophy, interstitial inflammation and fibrosis, severity of
arteriosclerosis or other vascular lesions.
Lungs
The immunosuppressive therapy required by many SLE patients predisposes them to concurrent infection. The lungs are a frequent target for this “secondary” infection and bacteria (including tubercule bacilli), viruses and fungi may all cause pneumonia in lupus patients.Parenchymal alterations, attributable to SLE itself, have been described in 18% of patients. These patients had interstitial fibrosis, pulmonary vasculitis and interstitial pneumonitis. However, many non-specific pulmonary lesions previously attributed to SLE, such as alveolar haemorrhage alveolar wall necrosis, oedema and hyaline membranes, are probably secondary to factors such as intercurrent infection, congestive heart failure, renal failure and oxygen toxicity.In the relatively few cases studied, immune complex deposition has been closely correlated with histological evidence of inflammatory lesions in the pleural (and pericardial) membrane.
Abnormal pulmonary function tests, notably diminished total lung capacity and flow rates, in clinically mild patients with dyspnoea, poor diaphragmatic movement, basal crepitations and occasionally cyanosis and clubbing, are found in up to 50% of SLE patients. A similar proportion of SLE patients may have an acute lupus pneumonitis with a mononuclear cell infiltrate detectable in the alveolar septae. These patients frequently complain of dyspnoea, pleuritic chest pain and coughs. Haemoptysis is less common and true pulmonary haemorrhage from necrotizing alveolar capillaritis is rare. Pleural effusions may be found in about half of these patients (and in other SLE patients especially during generalized disease flares). The effusions are normally small to moderate in size and are usually exudates (i.e. protein content >3 g/100 ml). They are rarely haemorrhagic and usually have a glucose concentration double that found in rheumatoid effusions (normally, 20 mg/100 ml or less).
Heart
Pericardium
Abnormalities of the electrocardiogram, notably of the T wave, are the most frequent
manifestation. A pericardial rub may be more common than a significant pericardial effusion. Histological abnormalities vary from occasional foci of fibrinoid degeneration and inflammatory cell infiltrates to far more extensive lesions. Adhesive chronic pericarditis and very large effusions causing tamponade are very rare.
Myocardium
Whilst true myocardial involvement is less frequent than pericardial disease, prolongation of the PR interval (approximately 10%), fibrinoid degeneration, myocardial infarction and coronary stenosis due to arteritis are occasionally seen. New imaging techniques such as cardiac MRI suggest that myocardial involvement may be more common than previously thought.There is increasing evidence that premature accelerated atherosclerosis considerably increases the risk of cardiovascular events in patients with SLE and this is described in a separate module of this course.
Valves
Systolic murmurs are frequently heard in around 30% of SLE patients. However, they probably reflect the hyperdynamic circulation consequent upon the anaemia often found in these individuals. In contrast, diastolic murmurs are uncommon. Libman-Sacks endocarditis has long been described as a feature of SLE. Although found in up
to 50% of autopsied cases, it rarely causes clinically significant lesions. Histologically, the lesions are small (1-
Central nervous system lupus
The ACR classification criteria for central nervous system (CNS) lupus has changed
considerably from seizures and psychosis. The ACR nomenclature now includes 19 different syndromes that are classifiable . An emerging concept is the distinction between CNS manifestations due to lupus and those due to the APS. A wide variety of neuropsychiatric manifestations attributable to APS have been described including strokes, seizures, movement disorders, transverse myelopathy, demyelination syndromes, transient ischaemic attacks, cognitive dysfunction, visual loss and headaches including migraine.
Neuropsychiatric syndromes observed in SLE.
Central nervous system:
ü Aseptic meningitis
ü Cerebrovascular disease
ü Demyelinating syndrome
ü Headache (including migraine and benign intracranial hypertension)
ü Movement disorder (chorea)
ü Myelopathy
ü Seizure disorders
ü Acute confusional state
ü Anxiety disorder
ü Cognitive dysfunction
ü Mood disorder
ü Psychosis
Peripheral nervous system:
ü Acute inflammatory demyelinating polyradiculoneuropathy (Guillain-Barré syndrome)
ü Autonomic disorder
ü Mononeuropathy, single/multiplex
ü Myasthenia gravis
ü Neuropathy, cranial
ü Plexopathy
ü Polyneuropath
Laboratory diagnosis of CNS lupus can be difficult. Abnormal electroencephalograms occur in about 70% of patients with neurologic complaints and usually show diffuse slowing or focal abnormalities. Cerebrospinal fluid (CSF) shows elevated protein levels in 50% and increased mononuclear cells in 30% of patients; oligoclonal bands and increased Ig synthesis may be found. Lumbar puncture is recommended when the diagnosis of CNS lupus is in doubt or when infection is a possible cause of symptoms. Magnetic resonance imaging (MRI) with contrast is the most sensitive radiographic technique to detect acute and chronic lesions of SLE; changes are ofteonspecific. Patients with focal neurologic lesions are more likely to have positive MRI scans than those with diffuse manifestations. Computed tomography (CT) scans are useful to rule out bleeding or mass lesions, if indicated. Angiograms can detect vasculitis and vascular occlusions or emboli; they cannot visualize vessels smaller than 50 um; lupus vasculitis usually involves smaller vessels. Laboratory measures of disease activity often do not correlate with neurologic manifestations. Neurologic problems (with the exception of deficits resulting from large infarcts) usually improve with immunosuppressive therapy and/or time; recurrences are seen in approximately one-third of patients.
Gastrointestinal System
Common gastrointestinal (GI) symptoms include nausea, diarrhea, and vague discomfort. Symptoms may result from lupus peritonitis and may herald a flare of SLE. Vasculitis of the intestine is the most dangerous manifestation, presenting with acute crampy abdominal pain, vomiting, and diarrhea. Intestinal perforation can occur and usually requires immediate surgery. Patients with pseudoobstruction have abdominal pain; x-rays show dilated loops of small bowel which may be edematous; surgery should be avoided unless frank obstruction is present. Glucocorticoid therapy is useful for all these GI syndromes. Some patients have GI motility disorders similar to those in scleroderma; they are not benefited by steroids. Acute pancreatitis occurs and can be severe, resulting from active SLE or from therapy with glucocorticoids or azathioprine. Elevated amylase levels may reflect pancreatitis, salivary gland inflammation, or macroamylasemia. Elevated serum transaminase levels are common in patients with active SLE but are not associated with significant hepatic damage; they return to normal as the disease is treated.
Ocular Manifestation
Retinal vasculitis is a serious manifestation; blindness can develop over a few days, and aggressive immunosuppression should be instituted. Examination shows areas of sheathed, narrow retinal arterioles and cytoid bodies (white exudates) adjacent to vessels. Other ocular abnormalities include conjunctivitis, episcleritis, optic neuritis, and the sicca syndrome.
Esophagus
Lupus patients occasionally complain of dysphagia or odynophagia. This can be multifactorial from hypomotility, from reflux disease, or from candidiasis from immunosuppression. If the symptoms are severe, they deserve a regular dysphagia evaluation with motility studies, x-rays, and maybe an endoscopy. Although treatment is directed at the cause, motility drugs are no longer favored due to their arrythmogenic potential. Antireflux medications or antifungals are used when appropriate.
Abdomen
Abdominal pain is a diagnostic challenge in SLE and is probably one of the most clinically threatening GI manifestation to be aware of. Min and colleagues looked at causes of acute abdominal pain in SLE patients in emergency departments (EDs). They documented that 59.1% of visits to the ED by SLE patients were from pain due to ischemic bowel disease. The other causes were splenic infarcts, renal venous thrombosis, pancreatitis, serositis, upper GI bleeds, pelvic inflammatory disease, and ectopic pregnancy. Peptic ulcer disease with perforation also manifested as an acute abdomen in a small number of patients with SLE and concomitant NSAID use. Treatment of acute abdominal pain is directed at the cause, with appropriate medical or surgical management of the presenting manifestation.
Intestines
In the bowel, SLE can manifest with vasculitis, malabsorption, or dysmotility. Mesenteric vasculitis in lupus can manifest as an acute abdomen with fever, nausea, vomiting, diarrhea, and rectal bleeding or with the characteristic mesenteric ischemic pain related to meals. The mesenteric involvement can be attributed to either a lupus flare or antiphospholipid antibodies. Suspicion based on a clinical, angiographic, or CT examination of mesenteric vasculitis without bowel perforation warrants an evaluation by a rheumatologist and a possible aggressive therapeutic approach with intravenous steroids with or without other cytotoxic agents, besides the routine treatments with nothing by mouth, IV fluids, cultures, and broad-spectrum antibiotics. If there is intestinal perforation from vasculitis, surgery is the first option followed by cautious start of steroids and cytotoxic agents in the postoperative period. Malabsorption in the form of a protein-losing enteropathy in lupus is uncommon and manifests with diarrhea, abdominal pain, and anasarca. The enteropathy might respond to steroids with or without cytotoxic drugs.
Pancreas
Pancreatitis in lupus is uncommon and could occur in a setting of high SLEDAI scores, antiphospholipid antibody syndrome, and probable steroid use. The more likely causes, as in any other setting, are gallstones, alcohol, and hypertriglyceridemia. Treatment is the same as for pancreatitis from any other cause and includes nothing by mouth, IV fluids, withholding causal drugs, and, rarely, use of steroids if the cause is established by exclusion.
Liver
Drugs, viruses, fatty infiltration, or congestion have been implicated as more common causes of liver enzyme abnormalities in SLE patients. Hepatitis from lupus (lupus hepatitis), although uncommon, manifests as a mild elevation in liver enzymes (aspartate transaminase [AST], alanine transaminase [ALT)], lactate dehydrogenase [LDH], alkaline phosphatase), usually in a setting of active lupus. Such biochemical liver abnormalities from an SLE flare have a tendency to reverse with steroids. Lupoid hepatitis is a separate entity and is considered a subset of chronic active autoimmune hepatitis, where the liver is the main organ of involvement. Patients with lupus hepatitis and lupoid hepatitis can have arthralgias, hypergammaglobulinemia, and positive ANAs. Serologic differentiation may be possible at times and in general involves the presence of anti–ribosomal P and dsDNA autoantibodies in lupus hepatitis versus anti–smooth muscle and auto–liver-kidney-mitochondrial (LKM) antibodies in lupoid hepatitis. Definite differentiation is only possible on histology, which shows a lobular involvement in lupus hepatitis versus rosetting of liver cells and dense lymphoid infiltrate in lupoid hepatitis.
Haematological abnormalities
Red blood cells
A normochromic, normocytic anaemia is frequently found in SLE patients, with concomitant low levels of both the serum iron and iron binding capacity. This abnormality appears to be related, as in other diseases, to chronic inflammation and shunting of elemental iron from erythroblasts to macrophages.Iron-deficiency anaemia may be induced by non-steroidal anti-inflammatory drugs, which can cause gastrointestinal haemorrhage. Excessive blood loss from menorrhagia, sometimes related to severe thrombocytopenia, may have the same effect. Haemolytic anaemia as detected by the Coombs’ test is another rare feature of SLE. Autoimmune thrombocytopenia occasionally manifests simultaneously with haemolytic anaemia: this
condition is known as Evan’s syndrome.
Platelets
Two forms of thrombocytopenia (platelet count < 100 x 109/l) are found in SLE. Firstly, it may be encountered in a chronic form, generally associated with mild disease. Secondly, it may occur in an acute form, similar to idiopathic autoimmune thrombocytopenic purpura. This latter association is with disease carrying a greater morbidity and mortality. Platelet destruction appears to be mediated by anti-platelet antibodies and aPL are also associated with thrombocytopenia as well as with thrombosis.
White blood cells
Persistent leucopenia (< 4.0 x 109/l) is one of the ACR criteria for the classification of SLE. It probably results from a combination of destruction of white cells by autoantibodies, decreased marrow production, increased or marginal splenic pooling, and complement activation. It should also be noted that the immunosuppressive drugs used in the treatment of SLE may cause a marked leucopenia.
Serological abnormalities
The serum from SLE patients may bind to an extensive array of molecules including nucleic acids (antinuclear antibodies) and phospholipid binding proteins (lupus anticoagulant, anticardiolipin antibodies, β2 glycoprotein 1 antibodies). Antibodies may also be detected against diverse cells including leukocytes, erythrocytes, platelets and neurones. In addition to these autoantibodies, numerous other abnormalities are evident, including the LE cell phenomenon, hypocomplementaemia, elevated levels of acute phase proteins, gamma globulins and circulating immune complexes.
Non-specific features
Fever, lymphadenopathy, hair loss and Raynaud’s phenomenon are all commonly found in SLE patients. Fever in lupus patients may be striking and often requires extensive investigation to exclude concurrent infection, although a normal CRP in this context usually suggests a low likelihood of sepsis.
Lymphadenopathy may also be dramatic in SLE, to such an extent that lymph node biopsy may have to be performed to exclude malignancy. Some patients seem more prone to this feature than others and in this group the degree of lymphadenopathy may reflect general disease activity.
Splenomegaly occurs in about 10% of patients.
The clinical diagnosis of SLE hinges on careful and very thorough assessment of the
presenting clinical features, examination of all the organ systems and selected investigations.
Clinical symptoms
Symptoms often occur intermittently and cumulatively over many months and years. Oral ulcers, arthralgia, hair fall, Raynaud’s phenomenon, photosensitive rashes, pleuritic chest pains, headaches, fatigue, fevers and lymphadenopathy are just a few of the many non-specific presenting features of this disease.
There are no diagnostic criteria for lupus and the ACR classification criteria are often misused in this context and can result in missed diagnosis/under-treatment. For example a patient may present with arthritis, Raynaud’s phenomenon, malaise, fevers, lymphadenopathy, oral ulcers and a positive ANA. This patient clearly may have SLE but does not fulfil the 4 criteria needed for classification by the ACR criteria but investigation and treatment should not be delayed until these criteria are fulfilled. The ACR criteria were specifically designed to be highly specific for research studies to enable consistency between studies and have been updated to include antiphospholipid
antibodies in the criteria.
The objective assessment of lupus has depended on a number of disease activity scoring
systems which usually give a single numeric value.
Diagnostic criteria
|
The 1982 Criteria for Classification of Systemic Lupus Erythematosus, Updated 1997 |
||
|
1. Malar rash |
Fixed erythema, flat or raised, over the malar eminences |
|
|
2. Discoid rash |
Erythematous raised patches with adherent keratotic scaling and follicular plugging; atrophic scarring may occur
Discoid plaques of the hand |
|
|
3. Photosensitivity |
Exposure to UV light causes rash |
|
|
4. Oral ulcers |
Includes oral and nasopharyngeal, observed by physician
|
|
|
5. Arthritis |
Nonerosive arthritis involving two or more peripheral joints, characterized by tenderness, swelling, or effusion |
|
|
6. Serositis |
Pleuritis or pericarditis documented by ECG or rub or evidence of pericardial effusion
|
|
|
7. Renal disorder |
Proteinuria > 0.5 g/d or > 3+, or cellular casts |
|
|
8. Neurologic disorder |
Seizures without other cause or psychosis without other cause |
|
|
9. Hematologic disorder |
Hemolytic anemia or leukopenia (< 4000/mL) or lymphopenia (< 1500/mL) or thrombocytopenia (< 100,000/mL) in the absence of offending drugs |
|
|
10. Immunologic disorder |
Anti-dsDNA, anti-Sm, and/or anti-phospholipid |
|
|
11. Antinuclear antibodies |
An abnormal titer of ANAs by immunofluorescence or an equivalent assay at any point in time in the absence of drugs known to induce ANAs |
|
|
If four of these criteria are present at any time during the course of disease, a diagnosis of systemic lupus can be made with 98% specificity and 97% sensitivity. |
||
Laboratory and instrumental investigations
Clinical examination of all organ systems including routine urinalysis and blood pressure measurement is mandatory. Simple investigations may yield useful information. For example, a grossly elevated erythrocyte sedimentation rate (ESR) with a normal C-reactive protein (CRP) is a strong pointer to lupus and related connective tissue diseases. Blood count abnormalities such as anaemia, neutropenia, lymphopenia and thrombocytopenia are also common. Serologically can be found:
|
Table 1. Autoantibodies in Patients with SLE |
|
|||
|
|
Incidence, % |
Antigen Detected |
Clinical Importance |
|
|
Antinuclear antibodies |
98 |
Multiple nuclear |
Human cell substrates are more sensitive than murine. Repeatedly negative tests make SLE unlikely. |
|
|
Anti-DNA |
70 |
DNA (ds) |
Anti-dsDNA is relatively disease-specific; anti-ssDNA is not. High titers are associated with nephritis and clinical activity in some patients.
The fluorescent antinuclear antibody test: specificities of systemic lupus erythematosus. B, Nuclear rim pattern of anti-DNA antibodies. |
|
|
Anti-Sm |
30 |
Protein complexed to 6 species of small nuclear RNA |
Specific for SLE.
The fluorescent antinuclear antibody test: specificities of systemic lupus erythematosus. A, Speckled nuclear pattern of anti-Sm antibodies. |
|
|
Anti-RNP |
40 |
Protein complexed to U1RNA |
High titer in syndromes with features of polymyositis, lupus, scleroderma, and mixed connective tissue disease. If present in SLE without anti-DNA, risk for nephritis is low. |
|
|
Anti-Ro (SS-A) |
30 |
Protein complexed to y1-y5 RNA |
Associated with Sjogren’s syndrome, subacute cutaneous lupus, inherited C¢ deficiencies, ANA-negative lupus, lupus in the elderly, neonatal lupus, congenital heart block. Can cause nephritis. |
|
|
Anti-La (SS-B) |
10 |
Phosphoprotein |
Always associated with anti-Ro. Risk for nephritis is low if present. Associated with Sjogren’s syndrome. |
|
|
Antihistone |
70 |
Histones |
More frequent in drug-induced LE (95%) than in spontaneous SLE. |
|
|
Antiphospholipid |
50 |
Phospholipids |
Three types (lupus anticoagulant (LA), anticardiolipin (aCL), and false-positive test for syphilis (BFP). The LA and aCL (particular high-titer IgG) are associated with clotting, fetal loss, thrombocytopenia, and valvular heart disease. Antibodies to b2-glycoprotein I are part of this group. |
|
|
Antierythrocyte |
60 |
Erythrocyte |
A small proportion of these patients develop overt hemolysis. |
|
|
Antiplatelet |
30 |
Platelet surface + cytoplasm |
Associated with thrombocytopenia in 15% of patients. |
|
|
Antilymphocyte |
70 |
Lymphocyte surface |
Probably associated with leukopenia and abnormal T cell function. |
|
|
Antineuronal |
60 |
Neuronal and lymphocyte surface |
In some series, high titers of IgG correlate with diffuse CNS lupus. |
|
|
Antiribosomal P |
20 |
Ribosomal P protein |
In some series, antibody in serum correlates with psychosis or depression due to CNS SLE. |
|
Antinuclear antibodies are highly sensitive but not specific and anti-dsDNA antibodies are specific but not sensitive and it is important to recognise that a negative result for anti-dsDNA antibodies does not exclude a diagnosis of lupus.
This table is not a standardized guideline, and tests can vary in different clinical settings. The clinical assessment and tests must be combined to make an appropriate diagnosis of SLE.
Diagnostic Tests for Systemic Lupus Erythematosus
|
Test |
Possible Abnormalities |
Mechanism |
Significance and Use |
|
CBC plus differential |
Anemia, thrombocytopenia, |
Autoantibodies to |
Disease activity markers for SLE and |
|
Basic metabolic panel |
Elevated BUN/Cr ratio |
Immune complex |
Diagnosis |
|
ESR and CRP |
Elevated |
Inflammatory markers |
Disease activity marker for follow-up if |
|
Complements (C3, C4) |
Low |
Immune complex |
Disease activity marker |
|
Urine chemistry |
Proteinuria, hematuria, |
Glomerulonephritis or |
SLE nephritis and/or nephrotic syndrome |
|
LFTs |
Elevated transaminases |
Unknown |
Lupus hepatitis, nephrotic syndrome (low |
|
ANA (IFA + EIA) |
Useful as a screening test |
|
ANA-negative lupus is rare (manifests |
|
ENA panel |
Anti-Sm, anti-RNP, |
Antibodies to specific |
Anti-Sm: Highly specific for SLE |
|
dsDNA antibody |
Positive |
Antibodies to the |
Diagnostic of SLE |
|
APLAs |
Lupus anticoagulant panel, |
Antibodies to |
Moderate to high titers of IgG and IgM in |
APLA, antiphospholipid antibody; BUN, blood urea nitrogen; CBC, complete blood count; CNS, central nervous system; Cr, creatinine; CREST, calcinosis, Raynaud‘s syndrome, esophageal involvement, sclerodactyly, telangiectasia; CRP, C–reactive protein; CTD, connective tissue disease; dsDNA, double–stranded DNA; EIA, enzyme immunoassay; ENA, extractable nuclear antigens; ESR, erythrocyte sedimentation rate; IFA, immunofluorescent antibody; Ig, immunoglobulin; JIA, juvenile idiopathic arthritis; LFTs, liver function tests; MCTD, mixed connective tissue disease; NSAID, nonsteroidal anti–inflammatory drug; RA, rheumatoid arthritis; RBC, red blood cell count; RNP, ribonuclear protein; SCLE, subacute cutaneous lupus erythematosus; SLE, systemic lupus erythematosus; SS, Sjögren‘s syndrome
TREATMENT
Patient Education
In order to obtain optimal results from drug therapy, patient education plays a vital role and must be paid due attention. Every newly diagnosed patient needs to be educated about the disease. In this regard, pamphlets especially written for patients can be very helpful. For illiterate patients, the treating physician or a specialist nurse will have to spend the necessary time on education. It is often useful to offer a new patient the opportunity to interact with other previously diagnosed lupus patients who are identified by the specialist as having a positive outlook of the disease and the enthusiasm to function as a counsellors. In many advanced centres (outside
General approach to the drug therapy of SLE
Since there is a range of severity of disease manifestations, proper categorization based on clinical and laboratory features is the first therapeutic step. The following scheme is recommended:

Category I (Mild SLE)
Characterised by arthritis, arthralgia, myalgia, fatigue, mild mucocutaneous involvement, low-grade fever, mild serositis, lupus headache, musculoskeletal complaints are the commonest features of SLE. For mild symptoms, NSAIDs and analgesics may suffice. NSAIDs can occasionally cause adverse effects which may resemble those produced by the disease itself such as proteinuria, edema, renal failure and aseptic meningitis. In some patients, the above symptoms may not be alleviated with NSAIDs alone, and they should be prescribed antimalarials (chloroquine, hydroxychloroquine). These drugs are particularly useful for cutaneous manifestations of SLE. These agents have multiple properties: immunosuppressive anti-inflammatory and sun-blocking. They are also reported to possess anti-platelet and cholesterol lowering effects. The drug of choice is hydroxychloroquine (200 mg BD for 3 months and then 200 mg daily). The maintenance dose must not exceed 6 mg/kg/day. Although the incidence of retinal toxicity is very low, annual monitoring of vision with perimetery using a red object is recommended (for chloroquine, 6-monthly monitoring is desirable). The drug must be discontinued if a central scotoma is detected at any stage. Other significant side effects include nausea, pruritus, hyperpigmentation, myopathy and rarely psychosis. Use of hydroxychloroquine during pregnancy is controversial. When antimalarials are withdrawn after prolonged administration, some patients may develop a relapse of lupus activity. In refractory cases, quinacrine may be combined with hydroxychloroquine. Alternatives include dapsone and thalidomide. Quinacrine and thalidomide are, however, not available in
Category II (Moderate SLE)
Characterised by high-grade fever, toxaemia, severe mucocutaneous manifestations, marked photosensitivity, moderate to severe serositis, lupus pneumonitis, mild to moderate myocarditis, mesangioproliferative or minimal change lupus nephritis, haemolytic anaemia and thrombocytopenia For moderate and severe manifestations, prednisolone 1 mg/kg orally per day is the drug of choice. Antimalarials may be administered concomitantly. High dose of steroid must be continued till disease activity is well controlled that usually takes up to 6 weeks when it should be tapered off slowly over 6 to12 months. In a toxic appearing patient, the administration of intravenous pulse methylprednisolone (15 mg/kg, max.
Category III (Severe SLE)
Characterised by organ/life-threatening features such as focal/diffuse proliferative glomerulonephritis with or without azotaemia/hypertension, lupus cerebritis with recurrent seizures, acute confusional state, coma; systemic necrotizing vasculitis such as one causing peripheral gangrene, GI bleeding or mononeuritis multiplex. A combination therapy consisting of high-dose daily oral prednisolone (40-60 mg/day) and intravenous cyclophosphamide pulses (0.75 gm/m2, maximum of
Category IV (SLE with miscellaneous features)
Characterised by antiphospholipid syndrome (recurrent DVT, CVAs, recurrent foetal loss etc.), pure membranous lupus nephritis, chronic sclerosing lupus nephritis, seizures without other evidence of lupus activity, behavioural disorders without other serious manifestations, resistant thrombocytopenia or haemolytic anaemia Immunosuppressive therapy does not play any significant role in these conditions. Treatment of antiphospholipid syndrome is described in appendix. If seizures or psychosis occur as isolated events with no evidence of lupus activity elsewhere in the body, only symptomatic treatment is recommended. Steroids are not indicated. Pure membranous glomerulonephritis (WHO Class V) may be treated initially with prednisolone 1 mg/kg/day. If there is no response after 6 weeks (85-90% of cases), steroids may be quickly tapered off because they are not likely to help. There is no proven role of cytotoxic drugs in the treatment of this condition in SLE. Renal failure occurs but is less frequent as compared with proliferative glomerulonephritis. Chronic sclerosing glomerulonephritis is best treated with conservative therapy, dialysis and transplantation. Immunosuppressive therapy is not beneficial. At least, 3 months of dialysis is recommended before considering renal transplant as the outcome of the transplant is better in patients whose lupus disease activity remains clinically stable on dialysis for at least 3 months. For refractory thrombocytopenia, danazol may be useful. Colchicine and vincristine are sometimes useful to improve the platelet count. Splenectomy may be indicated in some cases where platelet count tends to be less than 50,000/ cu mm and maintenance requirement for steroids is high. Such patients should receive pneumococcal vaccine. Plasmapheresis may be employed in refractory cases where steroid and cyclophosph-amide pulses do not produce satisfactory results. Intravenous immunoglobulin has also been used in similar situations. A few instances of successful remission of refractory lupus following stem cell transplant are reported.
Other specific entities:
Transverse myelitis : Requires aggressive treatment with prednisolone orally 1.5 mg/kg/day and IV cyclophsophamide bolus. If there is no improvement, plasmapheresis should be considered.
Seizures: For generalized seizure, phenytoin and barbiturates are used and for focal, carbamazepine, valproate or gabapentin is used.
Headaches: Most patients respond to NSAIDs. In intractable cases steroid may be used. Chorea: No specific therapy is required.
Cranial /autonomic and peripheral neuropathy: Oral prednisolone in a dose of 1mg/kg/day is useful.
Cognitive dysfunction: Consider reducing the dose of prednisolone. If associated with APS, anticoagulate.
Principles of treatment of lupus nephritis
General measures: It is advisable to restrict salt if hypertension is present, fat if hyperlipidemia or nephrotic syndrome is present, protein should be restricted if azotaemia is present and calcium should be supplemented with steroid therapy. Meticulous control of hypertension is desirable. Pregnancy should be avoided during active lupus nephritis with suitable contraception (vide infra). NSAIDs should be avoided in the presence of impaired renal function. Immunosuppressive therapy: This is generally guided by the WHO Class of lupus nephritis.
1. Class I: Immunosuppressive therapy is not indicated.
2. Class IIa: Immunosuppressive therapy is not indicated.
3. Class IIb: If proteinura is > 1 gram/24 hours, antidsDNA is high and C3 is low, prednisolone should be administered at a dose of 20 mg daily for 6-12 weeks, followed by tapering over next 3 months.
4.Class III & IV: Protocol for this group is already described above (See Category III under management).
5. Class V: Described under management above (Category IV). A high chronicity index correlates with poor renal outcome with progression to end stage renal disease despite treatment. High activity Index is also associated with poor outcome if not treated aggressively with appropriate immunosuppressive therapy. Patients with high chronicity index and serum creatinine more than 3 mg/dL should not be treated aggressively unless activity index is also high. If serum creatinine is chronically high and more than 5 mg/dL, aggressive immunosuppressive therapy is harmful. Such patients will be better managed with dialysis and transplantation in due course.
Treatment of APS This can be considered under the following heads:
1. Deep venous thrombosis: The main purpose of treatment here is to prevent pulmonary embolism. Standard measures include bed-rest, elevation of the affected limb to allow the oedema and tenderness to subside and anticoagulant therapy. Heparin and warfarin should be started simultaneously so as to allow an overlap of about 5 days. INR should be adjusted between 3 and 4 on long-term warfarin therapy. The duration of warfarin therapy is life-long in patients with recurrent venous thrombosis. Thrombolytics such as streptokinase, urokinase and tPA can be used but they are not more effective in preventing pulmonary embolism. Thromboendarterectomy and percutaneous insertion of IVC filter may be considered in special circumstances.
2. Acute arterial thrombosis: In a patient with APS this usually means a TIA or stroke, with MI and digital gangrene being less common. In some patients with acute stroke (< 3 hours duration), thrombolytics can be used but the standard of care is usually heparin followed by warfarin. Low-dose aspirin is strongly recommended in patients who continue having thrombotic events despite full anticoagulation. APS patients with acute MI can be treated with thrombolytics, angioplasty or coronary stents. Peripheral arterial thrombosis can be treated with thrombolytics or heparin or angioplasty.
3. Catastrophic APS: These patients develop thrombosis in multiple organs and the features mimic DIC and TTP. Oral contraceptives and other drugs, pregnancy, infection and surgical procedures have been identified as predisposing factors.
Crises of SLE
Treatment of the autoimmune crisis
High dose of glucocorticoids including pulses therapy
A. combination “pulses” therapy – 1000 mg of methylprednisolone + 1000 mg of cyclophosphamide at the first day and then at the second and third day – only 1000 mg of methylprednisolone
B. -combination of high doses of glucocoticoids and cyclosporine A (5 mg/kg per day in the course of 6 weeks)
– plasmapheresis
Treatment of the cerebral crisis
– combination “pulses” therapy – 1000 mg of methylprednisolone + 1000 mg of cyclophosphamide at the first day and then at the second and third day – only 1000 mg of methylprednisolone
– cyclophosphanum (cyclophosphamide) intravenous
– plasmapheresis
– immune globulin 0,4 g/kg intravenous in the course of 5 days
Treatment of the hematologic crisis
– high dose of glucocorticoids including pulses therapy
– combination of high doses of glucocoticoids and cyclosporine A (5 mg/kg per day in the course of 6 weeks)
– immune globulin 0,4 g/kg intravenous in the course of 5 days
SYSTEMIC SCLEROSIS
Systemic sclerosis (SSc) is a chronic multisystem disorder of unknown etiology characterized clinically by thickening of the skin caused by accumulation of connective tissue and by involvement of visceral organs, including the gastrointestinal tract, lungs, heart, and kidneys.
Epidemiology
SSc has a worldwide distribution and affects all races. The onset of disease is unusual in childhood and young men. The incidence increases with age, peaking in the third to fifth decade. Women overall are affected approximately three times as often as men and even more often during the late childbearing years (8:1).
Etiology
Immunologic mechanisms and heredity (certain HLA subtypes) play a role in etiology. SSc-like syndromes can result from exposure to vinyl chloride, bleomycin, pentazocine, aromatic hydrocarbons, contaminated rapeseed oil, or l-tryptophan.
Pathogenesis
IMMUNOLOGIC ABNORMALITIES: Patients with scleroderma exhibit abnormalities of the humoral and cellular immune systems. The number of circulating В lymphocytes is normal, but there is evidence of hyperactivity, as manifested by hypergammaglobulinemia and cryoglobulinemia. Antinuclear antibodies are common but are usually in a lower titer than in SLE. Antibodies virtually specific for scleroderma include nucleolar autoantibodies, antibodies to ScL-
Cellular immune derangements in progressive systemic sclerosis include a decrease in the number of circulating T cells, a decrease in helper T cells, and an increase in suppressor T cells. Although functional lymphocyte studies are inconclusive, lymphocytes from patients with this disease are sensitized to skin extracts or collagen. They respond to these substances by proliferating and by producing lymphokines, which may cause chemotaxis and enhanced collagen synthesis by fibroblasts.
Other disorders associated with autoimmune phenomena, such as thyroiditis and primary biliary cirrhosis, are increased in incidence in patients with scleroderma.

http://www.sciencedirect.com/science/article/pii/S0049017207001771
FIBROSIS: Progressive systemic sclerosis is characterized by excessive collagen deposition in many tissues. Although the cause remains obscure, it is thought that this fibrosis may be due to an abnormality in fibroblast function. Fibroblasts from patients with this disorder show increased collagen synthesis in tissue culture, possibly because T cells sensitized to collagen produce lymphokines.
CHROMOSOMAL CHANGES: Almost all (96%) of patients with scleroderma have chromosomal abnormalities, such as chromatid breaks, translocations, and deletions. These abnormalities are acquired rather than inherited and are associated with a “serum breaking factor.” The significance of these chromosomal abnormalities is unclear.
PATHOLOGY
The skin in scleroderma displays early edema and then induration, with the latter characterized by the following:
• A striking increase in collagen fibers in the reticular dermis
• Thinning of the epidermis with loss of rete pegs
• Atrophy of dermal appendages
• Hyalinization and obliteration of arterioles
• Variable mononuclear infiltrates, consisting primarily of T cells
The stage of induration may progress to atrophy or revert to normal. Similar histologic alterations occur in the synovium, lungs, gastrointestinal tract, heart, and kidneys.
Classification
|
Classification of Scleroderma |
|
Localized Scleroderma (Localized cutaneous fibrosis) |
|
· Limited or generalized morphea: Circumscribed patches of sclerosis · Linear scleroderma: Linear lesions seen in childhood · En coup de sabre: Linear lesions of the scalp or face |
|
Systemic Scleroderma (Cutaneous and noncutaneous involvement) |
|
· Limited cutaneous systemic sclerosis (lcSSc), formerly called CREST syndrome (calcinosis of the digits, Raynaud‘s phenomenon, esophageal dysmotility, sclerodactyly, and telangiectasias) · Diffuse cutaneous systemic sclerosis (dcSSc): Sclerosis of proximal extremities, trunk, and face · Systemic sclerosis sine scleroderma (ssSSc): Organ fibrosis on; no skin thickening |
CLINICAL MANIFESTATIONS
Skin
In the skin, a thin epidermis overlies compact bundles of collagen that lie parallel to the epidermis. Fingerlike projections of collagen extend from the dermis into the subcutaneous tissue and bind the skin to the underlying tissue. Dermal appendages are atrophied, and rete pegs are lost. In early stages of disease, a mononuclear cell infiltrate of predominantly T cells surrounds small dermal blood vessels. Increased numbers of T cells, monocytes, plasma cells, and mast cells are found, particularly in the lower dermis of involved skin.
Gastrointestinal Tract
In the lower two-thirds of the esophagus, the histologic findings consist of a thin mucosa and increased collagen in the lamina propria, submucosa, and serosa. The degree of fibrosis is less than in the skin. Atrophy of the muscularis in the esophagus and throughout the involved portions of the gastrointestinal tract is more prominent than the amount of fibrotic replacement of muscle. Ulceration of the mucosa is often present and may be due to either SSc or superimposed peptic esophagitis. Chronic esophageal reflux can lead to metaplasia of the lower esophagus (Barrett’s esophagus), which is a premalignant lesion. Striated muscles in the upper third of the esophagus are relatively spared. Similar changes may be found throughout the gastrointestinal tract, especially in the second and third portions of the duodenum, in the jejunum, and in the large intestine. Atrophy of the muscularis of the large intestine may lead to the development of large-mouth diverticula. In the later stages of the disease, the involved portions of the gastrointestinal tract become dilated. Infiltration of lymphocytes and plasma cells in the lamina propria is also present.
Lung
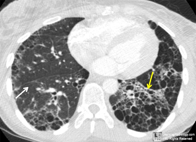
With pulmonary involvement, diffuse interstitial fibrosis, thickening of the alveolar membrane, and peribronchial and pleural fibrosis are observed. Bronchiolar epithelial proliferation accompanies the pulmonary fibrosis. Rupture of septa produces small cysts and areas of bullous emphysema. Small pulmonary arteries and arterioles show intimal thickening, fragmentation of the elastica, and muscular hypertrophy; this may occur without interstitial pulmonary fibrosis and produce pulmonary hypertension, particularly in a subset of patients with limited cutaneous SSc.
Musculoskeletal System
The synovium in patients with arthritis is similar to that seen in early rheumatoid arthritis and shows edema with infiltration of lymphocytes and plasma cells. A characteristic finding is a thick layer of fibrin overlying and within the synovium. Later in the disease the synovium may become fibrotic. Fibrinous deposits appear on the surfaces of tendon sheaths and in the overlying fascia and may lead to audible creaking over moving tendons.
Histologic features of primary myopathy consist of interstitial and perivascular lymphocytic infiltrations, degeneration of muscle fibers, and interstitial fibrosis. Arterioles may be thickened, and capillaries may be decreased in number. Pathologic and electrophysiologic findings of polymyositis in proximal muscles are present in the few patients who are considered to have the overlap syndrome of SSc and polymyositis.
Heart
Cardiac involvement consists of degeneration of myocardial fibers and irregular areas of interstitial fibrosis that are most prominent around blood vessels. Intermittent spasm of blood vessels may result in contraction band necrosis, similar to change observed in myocardial infarction in patients with atherosclerotic coronary artery disease. Fibrosis also involves the conduction system, leading to atrioventricular conduction defects and arrhythmias. The wall of smaller coronary arteries may be thickened. Fibrinous pericarditis and pericardial effusions are found in some patients.
Kidney
Renal involvement is found in over half the patients and consists of intimal hyperplasia of the interlobular arteries; fibrinoid necrosis of the afferent arterioles, including the glomerular tuft; and thickening of the glomerular basement membrane. Small cortical infarctions and glomerulosclerosis may be present. The renal pathologic change is often indistinguishable from that observed in malignant hypertension. Renal vascular lesions, however, may be present in the absence of hypertension. Immunofluorescence studies of kidney have shown IgM, complement components, and fibrinogen in the walls of affected vessels. Angiographic renal studies in patients with SSc may show constriction of the intralobular arteries, a finding that simulates the vasospasm of the digital arteries observed in Raynaud’s phenomenon. Cold-induced Raynaud’s phenomenon has been shown to decrease renal blood flow.
Other Organs
Primary liver involvement is not common. Primary biliary cirrhosis occurs in some patients, particularly in those with the limited cutaneous form of SSc. Fibrosis of the thyroid gland may develop in the presence or absence of autoimmune thyroiditis.
Thickening of the periodontal membrane with replacement of the lamina dura is demonstrated radiographically as widening of the periodontal space and may cause gingivitis and loosening of the teeth. The decreased oral aperture and mucosal dryness make eating and oral hygiene difficult.
CLINICAL MANIFESTATIONS
|
Table 6. Clinical Features of Systemic Sclerosis |
|
||||
|
|
Percent of Patients with Clinical Feature during Course of Disease |
|
|||
|
Clinical Feature |
Limited |
Diffuse |
|
||
|
Raynaud’s phenomenon |
95-100 |
90-95 |
|
||
|
Skin thickening |
98b |
100 |
|
||
|
Subcutaneous calcinosis |
50 |
10 |
|
||
|
Telangiectasia |
85 |
40 |
|
||
|
Arthralgias/arthritis |
40 |
70 |
|
||
|
Myopathy |
5 |
50 |
|
||
|
Esophageal dysmotility |
80 |
80 |
|
||
|
Pulmonary fibrosis |
35 |
40 |
|
||
|
Isolated pulmonary arterial hypertension |
<10 |
<1 |
|
||
|
Congestive heart failure |
<1 |
30 |
|
||
|
Renal crisis |
<1 |
15 |
|
||
|
a Limited cutaneous and diffuse cutaneous subsets of SSc. |
|
||||
|
b 2% or fewer of patients have SSc sine scleroderma. |
|
||||
|
|
|
|
|
|
|
There are two major forms of scleroderma, localized scleroderma and systemic scleroderma (sclerosis). Diffuse (dcSSc) and limited (lcSSc) scleroderma are the two main types of systemic sclerosis.
Scleroderma limited to the skin only can be subdivided into morphea and linear scleroderma.

The clinical spectrum of scleroderma. In literature the concept of scleroderma is synonymous with all subgroups presented above.
Localized Scleroderma
The more common form of the disease, localized scleroderma, only affects the skin without any internal organ involvement. It often appears in the form of waxy patches (morphea) or streaks on the skin (linear scleroderma).
Vascular abnormalities, especially of the microvasculature are a prominent feature of SSc. The degree and rate of skin and internal organ involvement vary among patients. Two subsets, however, can be identified, even though there is some overlap.
|
Subsets of Systemic Sclerosis |
|||
|
|
Diffuse |
Limiteda |
|
|
Skin involvement |
Distal and proximal extremities, face, trunk |
Distal to elbows, face |
|
|
Raynaud’s phenomenon |
Onset within 1 year or at time of skin changes |
May precede skin disease by years |
|
|
Organ involvement |
Pulmonary (interstitial fibrosis); renal (renovascular hypertensive crisis); gastrointestinal; cardiac |
Gastrointestinal; pulmonary arterial hypertension after 10-15 years of disease in <10% of patients; biliary cirrhosis |
|
|
Nail fold capillaries |
Dilatation and dropout |
Dilatation without significant dropout |
|
|
Antinuclear antibodies |
Antitopoisomerase 1 |
Anticentromere |
|
One subset is referred to as diffuse cutaneous scleroderma and is characterized by the rapid development of symmetric skin thickening of proximal and distal extremities. These criteria are not, however, applicable to clinical practice as many patients have SSc who do not meet these criteria. Scleroderma can also occur in a localized form limited to the skin, subcutaneous tissue, and muscle and without systemic involvement. Localized scleroderma occurs most often in children and young women but can affect any age group. The two localized forms are morphea, which occurs as single or multiple plaques of skin induration, and linear scleroderma, which involves an extremity or face. Linear scleroderma of one side of the forehead and scalp produces a disfiguration referred to as en coup de sabre because it resembles a wound from a sword. It may be associated with hemiatrophy of the same side of the face.
SSc also occurs in association with features of other connective tissue diseases. The term overlap syndrome has been used to describe such patients. Undifferentiated connective tissue disease has been suggested as a designation for patients who do not have diagnostic criteria for any one connective tissue disease.
Clinical manifestations of scleroderma:
· Generalized morphea.
· Diffuse edema of hands.
· Firm, thickened skin.
· Flexion contractures of fingers.
· Raynaud’s phenomenon (pallor phase).
It is not uncommon for this less severe form of scleroderma to regress or stop progressing without treatment.
On these photo: Ischemic digital ulcer, telangectasias on the face, dorsum of the hand mucosa, calcinosis cutis.
Systemic Scleroderma
Systemic scleroderma always leads to some internal organ involvement. It is further divided into two subsets of disease, limited or diffuse. According to LeRoy and colleagues, limited or diffuse disease is based on the extent of skin tightening. In limited disease (formerly called CREST
CREST syndrome

[calcinosis, Raynaud’s phenomenon, esophageal dysmotility, sclerodactyly, and telangiectasias] syndrome), skin tightening is confined to the fingers, hands, and forearms distal to the elbows, with or without tightening of skin of the feet and of the legs distal to the knees. Proximal extremities and the trunk are not involved. In diffuse disease or diffuse cutaneous systemic sclerosis (dcSSc), the skin of the proximal extremities and trunk is also involved. Both dcSSc and lcSSc are associated with internal organ involvement; however, patients with dcSSc are at greater risk for clinically significant major organ dysfunction. Systemic sclerosis sine scleroderma (ssSSc) is a rare disorder in which patients develop vascular and fibrotic damage to internal organs (phenotypically similar to that in limited scleroderma), in the absence of cutaneous sclerosis.
|
Subsets of Systemic Sclerosis |
|
Diffuse Cutaneous Systemic Sclerosis (dcSSc) |
|
· Onset of Raynaud’s within 1 year of onset of skin changes (puffy or hidebound) · Truncal and acral skin involvement · Presence of tendon friction rubs · Early and significant incidence of interstitial lung disease, oliguric renal failure, diffuse gastrointestinal disease, and myocardial involvement · Absence of anticentromere antibodies · Nailfold capillary dilation and capillary destruction · Antitopoisomerase antibodies (30% of patients) |
|
Limited Cutaneous Systemic Sclerosis (LcSSc) |
|
· Raynaud’s phenomenon for years (occasionally decades) · Skin involvement limited to hands, face, feet, and forearms (acral) or absent · A significant late incidence of pulmonary hypertension, with or without interstitial lung disease, trigeminal neuralgia, skin calcifications, telangiectasias · A high incidence of anticentromere antibodies (70%-80%) · Dilated nailfold capillary loops, usually without capillary dropout |
Raynaud’s Phenomenon SSc usually begins insidiously; the first symptoms are frequently Raynaud’s phenomenon and puffy fingers. Some 95% of patients will experience Raynaud’s phenomenon, which is defined as episodic vasoconstriction of small arteries and arterioles of fingers, toes, and sometimes the tip of the nose and earlobes. Episodes are brought on by cold exposure, vibration, or emotional stress. Patients experience pallor and/or cyanosis followed by rubor on rewarming. Pallor and/or cyanosis are usually associated with coldness and numbness of fingers and/or toes, and rubor with pain and tingling. Not all patients appreciate the three color phases. A history of digit pallor appears to be the most reliable symptom for the presence of Raynaud’s phenomenon. Raynaud’s phenomenon may precede skin changes by several months or even years in those patients who subsequently develop the limited cutaneous form of SSc. In diffuse cutaneous SSc, skin changes are seen typically within a year of the onset of Raynaud’s phenomenon. After 2 or more years of Raynaud’s phenomenon, few patients who have this as their only symptom will subsequently develop SSc.
Raynaud’s phenomenon is characterized by blood vessel spasms in the fingers, toes, ears or nose, usually brought on by exposure to cold. Raynaud’s phenomenon and Raynaud’s disease, a similar disorder, may occur on their own or they may be associated with autoimmune disorders such as rheumatoid arthritis, systemic lupus erythematosus, and most frequent in scleroderma.

Skin Features
In early disease, fingers and hands are swollen. Swelling may also involve forearms, feet, lower legs, and face. However, lower extremities are relatively spared. This edematous phase may last for a few weeks, months, or even longer. The edema may be pitting or nonpitting and accompanied by erythema. The skin changes begin distally in the extremities and advance proximally. The skin gradually becomes firm, thickened, and eventually tightly bound to underlying subcutaneous tissue (indurative phase). In patients with diffuse cutaneous scleroderma, skin changes will become generalized, involving initially the extremities, followed by the face and trunk over a period of time, varying from months to a few years. In some patients, the skin changes may develop gradually over several years. Rapid progression of these changes over a 1- to 3-year period is associated with a greater risk of visceral disease, particularly of the lungs, heart, or kidneys. Also in diffuse cutaneous SSc, the skin changes usually peak in 3 to 5 years and then slowly improve. On the other hand, patients with limited cutaneous scleroderma will usually have a more gradual progression of skin changes, which are restricted to fingers or distal extremity and face and may continue to worsen. In both subsets of SSc, skin thickening is usually greater in the distal extremity. After many years of disease, the skin may soften and return to normal thickness or become thin and atrophic.

Case report: female 20 years of age. Early stage scleroderma shows facial skin involvement resulting in a total change of the facial expression due to loss of the contours of the skin.
Case report: Female 34 years of age. Aggressive form of scleroderma with widespread skin involvement. Total elimination of the facial expression, numerous telengiectasia in plaque form, pointy nose, microstomia with a deviation due to TMJ resorption.

Pronounced retrognat profile and typical shiny facial skin. Loss of mandibular ramus shows clinically. The eye gives a sunk in expression.

Scleroderma, which is often known as systemic sclerosis, is a progressive and chronic connective tissue disorder, and is often classified as a rheumatic disease. Some unknown factor triggers the over-production of collagen (body protein) causing thickening, hardening and scarring of the skin and other organs. Normally collagen keeps the skin soft, but the overproduction makes the affected tissue thick and hard. This, in turn, affects the amount of blood the small vessels carry to many parts of the body.
In the extremities, the taut skin over fingers gradually limits full extension, and flexion contractures develop. Ulcers may appear on the volar pads of the fingertips and over bony prominences such as elbows, malleoli, and the extensor surface of the proximal interphalangeal joints of the hands. These ulcers may become secondarily infected. The volar pads of the fingertips develop pitting scars and lose soft tissue. In some instances, resorption of the terminal phalanges occurs. Skin over the extremities, face, and trunk may become darkly pigmented, even without exposure to the sun. Hyperpigmentation of the skin may occur over superficial blood vessels and tendons. Areas of hypopigmentation may also develop, similar to vitiligo, involving the eyebrows, scalp, and trunk. The sparing of pigment around hair follicles gives the skin a “salt-and-pepper” appearance. Other patients may develop a diffuse tanning of the skin. The skin loses hair, oil, and sweat glands and so becomes dry and coarse. Vaginal dryness occurs and may cause dyspareunia.
In some patients, particularly those with the limited cutaneous form of disease, calcific deposits develop in intracutaneous and subcutaneous tissue. The sites commonly involved are periarticular tissue, digital pads, olecranon and prepatellar bursae, and skin along the extensor surface of the forearms.
|
|
|
Linear Scleroderma of the Face (Coup de Sabre) in a 13-Year-Old Boy with 8 Years of Disease. Atrophy of the subcutaneum and of the mandible are apparent, as is an isolated depression of bone over the forehead. Progressive facial distortion has occurred along with the ongoing asymmetric growth. Reconstructive surgery is planned for early adulthood. |
|
Linear Scleroderma of the Left Leg in an 11-year-Old Girl. Diffuse muscle atrophy is apparent. As this patient enters puberty, progressive leg length discrepancy is expected. |
|
|
|
|
|
|
|
|
|
The Arm of a 59-Year-Old Woman with 4 Months of Eosinophilic Fasciitis. The superficial skin is not thickened but is irregularly tethered to deeper tissues that have a woody induration. There is a coarse, orange peel appearance and patchy erythema. The exaggerated furrow over the course of superficial veins in the volar forearm is pathognomonic of idiopathic eosinophilic fasciitis and of the fasciitis secondary to the eosinophilia-myalgia syndrome. |
The overlying skin may break down, with drainage of calcific material. Involvement of the face results in thinning of the lips, loss of skin wrinkles and facial expression, as well as microstomia, which may make eating and dental hygiene difficult. The nose takes on a pinched or beaklike appearance. Wrinkles appear around the mouth perpendicular to the lips. Small telangiectatic mats may appear on the fingers, face, lips, tongue, and buccal mucosa after several years. They are seen more frequently in patients with limited cutaneous SSc but are also observed in patients with long-standing diffuse cutaneous SSc. The capillary beds of nail folds of the fingers may show enlargement of capillaries with little or no capillary loss, usually indicative of limited cutaneous scleroderma. In diffuse cutaneous scleroderma, there is disorganization of the capillary beds with dilated capillaries interspersed with areas where capillaries have disappeared. These capillary changes, which are observed by wide-angle microscopy or with an ophthalmoscope used as a magnifier, are not found in patients who have only Raynaud’s phenomenon.
Musculoskeletal Features
More than half the patients with SSc complain of pain, swelling, and stiffness of the fingers and knees. A symmetric polyarthritis resembling rheumatoid arthritis may be seen. In more advanced stages of the disease, leathery crepitation can be palpated over moving joints, especially the knee. Extensive fibrotic thickening of the tendon sheaths in the wrist can produce a carpal tunnel syndrome. Muscle weakness is usually present in patients with severe skin involvement and, in most cases, is due to disuse atrophy. There is a distinctive histologic myopathy that accompanies SSc that is not associated with muscle enzyme abnormalities. A few patients develop a myositis characterized by proximal muscle weakness and muscle enzyme elevations that are identical to polymyositis (overlap syndrome). In addition to terminal phalanges, resorption of bone may involve ribs, clavicle, and angle of mandible.
|
|
|
Scleroderma. This posterioranterior radiograph demonstrates flexion of the fingers, loss of the tufts of the index finger and middle finger distal phalanges and calcification including finger tip calcification. |
|
|
|
The radiograph shows almost complete osteolysis of the carpal bones with focal osteolytic changes in several digits and bony fusion of the third distal interphalangeal joint. |
|
Roentgenogram of the fingers revealing resorption and dissolution of the phalangeal tufts and multiple areas of punctate subcutaneous calcinosis. |
The majority of patients from both subsets of SSc have gastrointestinal involvement. Symptoms attributable to esophageal involvement are present in >50% of patients and include epigastric fullness, burning pain in the epigastric or retrosternal regions, and regurgitation of gastric contents. These symptoms, most noticeable when the patient is lying flat or bending over, are due to the reduced tone of the gastroesophageal sphincter and to dilatation of the distal esophagus. Peptic esophagitis frequently occurs and may lead to strictures and narrowing of the lower esophagus. However, it seldom results in bleeding. Barrett’s metaplasia may develop, but transition to adenocarcinoma is uncommon. Dysphagia, particularly of solid foods, may occur independent of other esophageal symptoms and is caused by loss of esophageal motility due to neuromuscular dysfunction. Manometry or cineradiography reveals decreased amplitude or disappearance of peristaltic waves in the lower two-thirds of the esophagus. Raynaud’s phenomenon in the absence of a connective tissue disease is also associated with esophageal dysmotility. Later in the course of the illness, dilatation and atony of the lower portion of the esophagus as well as reflux are seen. With gastric involvement, barium studies show dilatation, atony, and delayed gastric emptying. Patients may complain of early satiety. Gastric outlet obstruction can also occur.
Hypomotility of the small intestine produces symptoms of bloating and abdominal pain and may suggest an intestinal obstruction or paralytic ileus (pseudoobstruction). Malabsorption syndrome with weight loss, diarrhea, and anemia is due to bacterial overgrowth in the atonic intestine or possibly to obliteration of lymphatics by fibrosis. Roentgenographic features of the second and third portions of the duodenum and of the jejunum include dilatation, loss of the usual feathery pattern, and delayed disappearance of barium. Pneumatosis intestinalis occasionally occurs and appears as radiolucent cysts or linear streaks within the wall of the small intestine. Benign pneumoperitoneum may result from the rupture of these cysts. Involvement of the large intestine may cause chronic constipation and fecal impaction with episodes of bowel obstruction. A segment of atonic bowel may act as a fulcrum for intussuception to occur. Barium studies of the large intestine may show dilatation, atony, and large-mouth diverticula. Laxity of the anal sphincter may cause incontinence or rarely anal prolapse. Some patients may have gastrointestinal features of SSc with little or no cutaneous or other organ involvement, referred to as SSc sine scleroderma. Vascular ectasia may develop in the stomach and intestine and can be the source of gastrointestinal bleeding. These dilated submucosal capillaries in the stomach appear on endoscopy as broad stripesѕhence the term “watermelon stomach.”
Pulmonary
Features Pulmonary involvement occurs in at least two-thirds of SSc patients and is now the leading cause of death in SSc, replacing renal disease, which can usually be treated effectively. The most common symptom is exertional dyspnea, often accompanied by a dry, nonproductive cough. Bilateral basilar rales may be present. In the majority of patients, symptoms usually correlate with radiologic evidence of pulmonary fibrosis and with restrictive lung disease on pulmonary function tests.
Pulmonary function tests are frequently abnormal and show a reduction in vital capacity and decreased lung compliance. Impairment of gas exchange is reflected by a low diffusing capacity and low PO2 with exercise. These abnormalities may be present even when the chest radiograph is normal. Chest film may show a pattern of linear densities, mottling, and honeycombing involving most prominently the lower two-thirds of the lung. Early interstitial pulmonary disease can be detected by high-resolution computed tomography (HRCT) and bronchoalveolar lavage (BAL).

Active inflammatory alveolitis gives a “ground glass” appearance on HRCT. The recovery by BAL of increased numbers of cells, mostly alveolar macrophages accompanied by neutrophils or eosinophils, is evidence for alveolitis.
Both interstitial fibrosis and vascular lesions are found in the lungs of patients with SSc.

http://www.learningradiology.com/caseofweek/caseoftheweekpix2009-340/cow357-1arr.jpg
Interstitial pulmonary fibrosis may be the predominant lesion in patients with diffuse or limited cutaneous SSc. Patients with diffuse cutaneous involvement who have antitopoisomerase 1 antibodies are particularly at risk of developing severe pulmonary fibrosis. In the absence of significant interstitial fibrosis, a severe form of pulmonary arterial hypertension may develop after many years of disease in a subset of patients with limited cutaneous SSc. Fewer than 10% of patients will develop this complication, which is caused by narrowing and obliteration of pulmonary arteries and arterioles by intimal fibrosis and medial hypertrophy. Pulmonary hypertension is manifested initially by exertional dyspnea and eventually by the appearance of right-sided heart failure. Pulmonary artery pressure can be measured noninvasively by two-dimensional echocardiography. The prognosis is extremely poor with the development of pulmonary hypertension; the mean duration of survival is approximately 2 years.
A less common pulmonary problem is aspiration pneumonia resulting from gastric reflux due to lower esophageal atony. Restriction of chest movement caused by extensive fibrotic skin involvement of the thorax rarely occurs. Superimposed bacterial or viral infection can be a serious complication in patients with pulmonary fibrosis. An increased frequency of alveolar cell and bronchogenic carcinoma is seen in patients with pulmonary fibrosis.
Cardiac Features
Primary cardiac involvement in SSc includes pericarditis with or without effusions, heart failure, and varying degrees of heart block or arrhythmias. The majority of patients with diffuse cutaneous SSc have cardiac abnormalities. Cardiomyopathy attributable to myocardial fibrosis appears in <10% of patients and involves primarily those patients with diffuse cutaneous scleroderma. Radionuclide studies have shown abnormalities of left ventricular function due to myocardial fibrosis. Cold-induced vasospasm of the hands produces defects in myocardial thallium perfusion. The characteristic pathologic feature of contraction band necrosis results from cardiac muscle damage caused by intermittent vasospasm of coronary vessels. Patients may experience angina pectoris even though coronary angiograms are normal. Patients can also develop left ventricular failure secondary to systemic hypertension or cor pulmonale secondary to pulmonary arterial hypertension.
Renal Features
Renal failure was the leading cause of death in SSc until the advent of effective treatment. Significant renal disease occurs mostly in those patients with diffuse cutaneous scleroderma. A high risk of renal crisis is present in those patients who have rapidly progressive widespread skin thickening in their first 2 to 3 years of disease. Renal crisis is characterized by malignant hypertension, which can progress rapidly to renal failure. These patients manifest hypertensive encephalopathy, severe headache, retinopathy, seizures, and left ventricular failure. Hematuria and proteinuria are followed by oliguria and renal failure. The mechanism for the hypertensive crisis is activation of the renin-angiotensin system. Before the advent of effective antihypertensive drugs, the majority of these patients died within 6 months. A small number of patients may develop renal crises in the absence of hypertension. Renal failure can also develop insidiously later in the course of disease in the setting of mild to moderate hypertension and proteinuria. In these patients or those with clinically unrecognized renal disease, reduction of renal plasma flow secondary to heart failure or volume depletion resulting from overdiuresis may precipitate renal crisis. An indicator of impending renal failure is microangiopathic anemia, which may occur in a normotensive patient. The presence of a large chronic pericardial effusion may also herald subsequent renal failure.
Other Features
Symptoms of dry eyes and/or dry mouth are frequently present in patients with SSc. Lip biopsy may show lymphocytic infiltration of minor salivary glands characteristic of Sjogren’s syndrome or intraglandular or periglandular fibrosis secondary to SSc. Antibodies to SS-A (Ro) and/or SS-B (La) are found in those patients with lip biopsies consistent with Sjogren’s syndrome (overlap syndrome-SSc and Sjogren’s syndrome) and not in those with salivary gland fibrosis.
Hypothyroidism occurs in a significant number of patients and may be associated with high levels of antithyroid antibodies. Fibrosis of the thyroid gland may be present but also occurs in the absence of autoimmune thyroiditis. Other manifestations of SSc include trigeminal neuralgia and male impotence secondary to decreased penile tumescence. These men have normal serum levels of testosterone and gonadotropins. Pathogenesis of this abnormality has been considered to be caused by vascular and/or autonomic nervous system abnormalities. Biliary cirrhosis is occasionally observed in patients with limited cutaneous SSc.
The 1980 Criteria for systemic sclerosis (ACR)
Major criteria:
Proximal scleroderma: symmetric thickening, tightening, and induration of the skin of the fingers and/or the skin proximal to the metacarpophalangeal or metatarsophalangeal joints. The changes may affect the entire extremity, face, neck, and trunk (thorax and abdomen).
Minor criteria:
1. Sclerodactyly: preceding skin changes limited to the finger.
2. Digital pitting scars or loss of substance from the finger pad: depressed areas at tips of fingers or loss of digital pad tissue as a result of ischemia.
3. Bibasilar pulmonary fibrosis: bilateral reticular pattern of linear or lineonodular densities most pronounced in basilar portions of the lungs on standard chest roentgenogram; may assume appearance of diffuse mottlng or “honeycomb lung”. These changes should not be attributable to primary lung disease.
*The patient should fulfi l the major criterion or two of the three minor criteria.
LABORATORY FINDINGS
The erythrocyte sedimentation rate may be elevated. Hypoproliferative anemia related to chronic inflammation is the most common cause of anemia in SSc. Anemia may also be caused by iron deficiency secondary to gastrointestinal bleeding. Bacterial overgrowth due to atony of the small bowel may lead to vitamin B12 and/or folic acid-deficiency anemia. Microangiopathic hemolytic anemia is most often associated with renal involvement and is caused by the presence of intravascular fibrin in renal arterioles. Polyclonal hypergammaglobulinemia, consisting mostly of IgG, is found in approximately half the patients. Rheumatoid factor, in low titer, is present in 25% of patients. Cryoglobulins may be present in the serum. Antinuclear antibodies detected by using a cultured human laryngeal carcinoma cell line (HEp-2) substrate are present in 95% of patients.
|
Autoantibodies in Systemic Sclerosis |
|||
|
Autoantibody |
Clinical Association |
Percent |
|
|
Antitopoisomerase 1 |
Diffuse cutaneous SSc |
40 |
|
|
Anticentromere |
Limited cutaneous SSc |
60-80 |
|
|
Anti-RNA polymerase I, II, III |
Diffuse cutaneous SSc |
5-40 |
|
|
Anti-Th RNP |
Limited cutaneous SSc |
14 |
|
|
Anti-U1 RNP |
Limited cutaneous SSc Mixed connective tissue disease |
5-10 95-100 |
|
|
Anti-PM/Scl |
Overlap (SSc, polymyositis) |
25 |
|
|
|
|||
Antinuclear antibodies that have a high specificity for SSc are antitopoisomerase 1 (Scl-70), antinucleolar, and anticentromere. Antitopoisomerase 1, originally called anti-Scl-70, recognizes the nuclear enzyme DNA topoisomerase
Laboratory Studies
The following findings may be found with laboratory studies:
· Increased erythrocyte sedimentation rate
· Thrombocytopenia
· Hypergammaglobulinemia
· Microangiopathic hemolytic anemia
· Increased creatine phosphokinase levels in patients with muscle involvement
· Increased urea and creatinine levels in patients with kidney involvement
· C-reactive protein: The nonspecific inflammatory marker C-reactive protein was found elevated in about one quarter of patients with systemic sclerosis, especially early disease, in whom it correlated with disease activity, severity, poor pulmonary function, and shorter survival.
Imaging Studies
Chest radiographs may show normal findings in 5-10% of the patients, even when the patients have respiratory tract symptoms. In approximately 30-60% of patients, fibrosis of the basal parts of the lungs is observed. Occasionally, pictures of diffuse ground-glass and honeycomb lung patterns are observed. In patients with honeycomb lung patterns, changes are irreversible. These changes can be an important feature of patient’s response to treatment.
Bone radiography reveals generalized osteopenia, which most commonly affects the hands. Intra-articular calcifications often are observed.
High-resolution computed tomography (HRCT) and scintigraphy reveal thickening of the alveolar walls and intestinal tissue and honeycomb-appearing lungs.

http://www.learningradiology.com/caseofweek/caseoftheweekpix2009-340/cpw357-2arr.jpg
Gastrointestinal tract changes may be depicted.
Scintigraphy of the esophagus may reveal a disturbance of the esophageal passage.
Manometric esophageal changes may be observed during invasive examination.
Cardiac and pulmonary vascular involvement in systemic sclerosis should be evaluated. Cardiac abnormalities may be assessed by Doppler echocardiography. Left- and right-sided heart diseases were found to be common in persons with systemic sclerosis. A few patients had a restrictive mitral flow pattern, possibly due to primary cardiac involvement of systemic sclerosis.
Because cardiac involvement is one of the major problems in systemic sclerosis, evaluation of ventricular function using echocardiographic strain imaging should be considered, because it appears to be useful to detect subclinical cardiac involvement in systemic sclerosis patients with normal standard echocardiographic and tissue Doppler velocity findings.
With bronchoalveolar lavage (BAL), abnormal numbers of granulocytes, particularly neutrophils and eosinophils are present in BAL fluid. In addition, the concentration of vascular endothelial growth factor may be low.
Lung function tests reveal ventilation-perfusion changes, including the following:
· Reduced carbon monoxide diffusion capacity
· A reduced partial pressure of oxygen, with a normal or low partial pressure of carbon dioxide
· Restrictive ventilatory defect, with reductions in pulmonary compliance, vital capacity, and total lung capacity
· Decreased diffusion capacity of carbon monoxide transfer factor (DLCO) levels, which is a measure of diffusion capacity
The gas transfer measurement (KCO), adjusted for alveolar volume, is also reduced.
Heart changes, including myocardial disease, pericardial problems, conduction system disease, and arrhythmias, can be observed with the following tests:
· Electrocardiography (ECG)
· Holter 24-hour monitoring
· Doppler ultrasonography (US)
Exophthalmos, macroglossia, and/or gigantism may be present, with increased polyphasic potentials of normal or decreased amplitude.
Antihistone antibodies can be observed in the course of systemic sclerosis, but they are not characteristic. The following antinuclear antibodies (ANAs) are characteristic of scleroderma:
· Antibodies against topoisomerase I DNA (Scl 70) are detected in the serum of patients with systemic sclerosis. The antibodies are detected in two thirds of patients with dSSc and interstitial lung fibrosis.
· Anticentromere antibodies (ACAs) are most commonly detected in patients with lSSc; in these patients, changes in the heart, kidneys, and lungs (without fibrosis) are observed less frequently than in other patients.
ANAs can be detected in the course of systemic sclerosis. ANAs include antibodies against fibrillarin, a 34-kd protein of ribonucleoprotein U3 RNP; antibodies against the ribonucleoproteiucleolar 7-2 RNA protein particle Th RNP; and antibodies to 20-110-kd proteins related to preribosomes (PM-Scl). Anti-PM/Scl antibodies are seen in roughly 24% of patients with polymyositis/systemic sclerosis overlap syndrome. They are also found in 3-10% of systemic sclerosis patients. The spectrum of systemic sclerosis-associated ANA differs in patients with and without cutaneous involvement.
Elevated high-sensitivity C-reactive protein appears related to the occurrence of antimitochondrial antibody in these patients.
With capillary microscopy, enlarged capillaries are observed in all 3 portions of the capillary nail fold–arterial, apical, and venous– and especially at the edge of the nail fold. Adjacent areas are avascular.
Spirometry demonstrates functional lung disturbances. In approximately 70% of patients, the DLCO is decreased.
Histologic Findings
In the active indurative phase, a loss of rete ridges occurs, epidermal skin appendages atrophy, and collagen fibers in the reticular dermis appear broad and hyalinized. A loss of space between collagen bundles is noted. Mononuclear cells, mostly T cells, form a variable perivascular infiltrate in the deep dermis and subcutis. Later, sclerotic changes predominate. The number of adnexal structures is reduced, and a loss of periadnexal fat is noted.
The amount of hyalinized collagen, myofibroblasts, mean epidermal thickness, the mononuclear cellular infiltration, and the frequency of focal exocytosis varied significantly between those with and those without local clinical skin involvement.
TREATMENT
EULAR recommendations:
I. SSc-related digital vasculopathy (Raynaud’s phenomenon, digital ulcers).
1. Nifedipine and intravenous iloprost reduce the frequency and severity of SSc-related Raynaud’s phenomenon (SSc-RP) attacks. Dihydropiridine-type calcium antagonists, usually oral nifedipine, should be considered for first-line therapy for SSc-RP, and intravenous iloprost, or other available intravenous prostanoids, should be considered for severe SSc-RP. Intravenous prostanoids (in particular iloprost) should be considered in the treatment of active digital ulcers in patients with SSc. Intravenous iloprost (0.5–2 ng/kg per minute for 3–5 consecutive days) significantly reduced the number of digital ulcers in comparison with placebo in one small RCT.
2. Bosentan should be considered in diffuse SSc with multiple digital ulcers, after failure of calcium antagonists and, usually, prostanoid therapy.
II. SSc-PAH
Two high-quality RCT indicate that bosentan improves exercise capacity, functional class and some haemodynamic measures in pulmonary arterial hypertension (PAH). Bosentan should be strongly considered to treat SSc-PAH. Sildenafil (a selective type 5 phosphodiesterase inhibitor), may be considered to treat SSc-PAH (orally at a dose of 20 mg, 40 mg or 80 mg three times a day).
III. SSc-related skin involvement
Methotrexate may be considered for treatment of skin manifestations of early diffuse SSc.
IV. Scleroderma interstitial lung disease
In view of the results from two high-quality RCT and despite its known toxicity, cyclophosphamide should be considered for the treatment of SSc-related interstitial lung disease (SSc-ILD). The efficacy and safety of cyclophosphamide in the treatment of SSc-ILD was evaluated in two high. The first trial, involving 158 SSc patients with active alveolitis, demonstrated that cyclophosphamide given orally at
a dose of 1–2 mg/kg per day improved lung function tests, dyspnoea score and quality of life over 12 months compared.
V. Scleroderma renal crisis
Despite the lack of RCT, experts believe that angiotensinconverting enzyme (ACE) inhibitors should be used in the treatment of scleroderma renal crisis (SRC).
RCT evaluating the efficacy of ACE inhibitors in the treatment of SRC are lacking. Since the first report demonstrating a beneficial effect of ACE inhibitors in two patients with SRC,64 numerous case reports and uncontrolled studies have reported on ACE inhibitors in SRC. A prospective analysis of 108 patients with SRC has suggested that patients on ACE inhibitors (captopril in 47 and enalapril in eight) had a significantly better survival rate at 1 year (76%) and 5 years (66%) compared with patients not on ACE inhibitors (15% at 1 year and 10% at 5 years, respectively). Treatment with ACE inhibitors was significantly associated with better survival in
SRC, after adjustment for age and blood pressure (p,0.001).
VI. SSc-related gastrointestinal disease
Despite the lack of specific RCT, experts believe that proton pump inhibitors (PPI) should be used for the prevention of SScrelated gastro-oesophageal reflux disease (GORD), oesophageal ulcers and strictures. Specific RCT for the efficacy of PPI in patients with SSc are lacking. The efficacy of PPI in the treatment of GORD in a general population is well documented in meta-analyses of RCT.
Despite the lack of specific RCT, experts believe that prokinetic drugs should be used for the management of SScrelated symptomatic motility disturbances (dysphagia, GORD, early response in satiety, bloating, pseudo-obstruction, etc).
Despite the lack of specific RCT, experts believe that, when malabsorption is caused by bacterial overgrowth, rotating antibiotics may be useful in SSc. No RCT regarding the efficacy of antibiotics in the treatment of SSc-related bacterial overgrowth or malabsorption were found. In general, current treatment of small intestinal bacterial overgrowth is based on empirical courses of broad-spectrum antibiotics such as quinolones or amoxicillin-clavulanic acid.
Dermatomyositis
Dermatomyositis is an idiopathic inflammatory myopathy (IIM) with characteristic cutaneous findings. It is a systemic disorder that most frequently affects the skin and muscles, but may also affect the joints, the esophagus, the lungs, and, less commonly, the heart. Calcinosis is a complication of dermatomyositis that is observed most often in children and adolescents. An association between dermatomyositis and cancer has long been recognized.
Epidemiology
The estimated incidence of dermatomyositis is 9.63 cases per million population. The estimated incidence of AMD is 2.08 cases per million. Dermatomyositis can occur in people of any age. Two peak ages of onset exist: in adults, the peak age of onset is approximately 50 years, whereas in children, the peak age is approximately 5-10 years. Dermatomyositis and polymyositis are twice as common in women as in men. Neither condition shows any racial predilection.
Etiology
The cause of dermatomyositis is unknown; however, the following factors have been implicated. A genetic component may predispose to dermatomyositis. Dermatomyositis rarely occurs in multiple family members. However, a link to certain human leukocyte antigen (HLA) types (eg, DR3, DR5, DR7) may exist. Polymorphisms of tumor necrosis factor may be involved; specifically, the presence of the -308A allele is linked to photosensitivity in adults and calcinosis in children. Immunologic abnormalities are common in patients with dermatomyositis. Patients frequently have circulating autoantibodies. Abnormal T-cell activity may be involved in the pathogenesis of both the skin disease and the muscle disease. In addition, family members may manifest other diseases associated with autoimmunity. Antinuclear antibodies (ANAs) and antibodies to cytoplasmic antigens (ie, antitransfer RNA synthetases) may be present. Although their presence may help to define subtypes of dermatomyositis and polymyositis, their role in pathogenesis is uncertain.
Infectious agents, including viruses (eg, coxsackievirus, parvovirus, echovirus, Toxoplasma , Borrelia species, have been suggested as possible triggers of dermatomyositis.
Several cases of drug-induced dermatomyositis have been reported. Dermatomyositislike skin changes have been reported with hydroxyurea in patients with chronic myelogenous leukemia or essential thrombocytosis. Other agents that may trigger the disease include penicillamine, statin drugs, quinidine, and phenylbutazone.
Dermatomyositis may be initiated or exacerbated by silicone breast implants or collagen injections, but the evidence for this is anecdotal and has not been verified in case-control studies. One report detailed HLA differences among women in whom inflammatory myopathy develops after they received silicone implants.
Patogenesis
Dermatomyositis is considered to be the result of a humoral attack against the muscle capillaries and small arterioles (endothelium of the endomysial blood vessels). Since 1966, there has been evidence supporting an ongoing microangiopathy. The disease starts when putative antibodies or other factors activate C3, forming C3b and C4b fragments that lead to formation of C3bNEO and membrane attack complex (MAC), which are deposited in the endomysial vasculature. Complement C5b-9 MAC is deposited and is needed in preparing the cell for destruction in antibody-mediated disease. B cells and CD4 (helper) cells are also present in abundance in the inflammatory reaction associated with the blood vessels. As the disease progresses, the capillaries are destroyed, and the muscles undergo microinfarction. Perifascicular atrophy occurs in the beginning; however, as the disease advances, necrotic and degenerative fibers are present throughout the muscle.

http://emedicine.medscape.com/article/332783-clinical#a0256
Histopathology of dermatomyositis showing inflammatory myopathic changes with a predominantly perivascular chronic inflammatory infiltrate
The pathogenesis of the cutaneous component of dermatomyositis is poorly understood. Studies on the pathogenesis of the muscle component have been controversial. Some suggest that the myopathy in dermatomyositis is pathogenetically different from that in polymyositis. The former is probably caused by complement-mediated (terminal attack complex) vascular inflammation, the latter by the direct cytotoxic effect of CD8+ lymphocytes on muscle. However, other cytokine studies suggest that some of the inflammatory processes may be similar. One report has linked tumor necrosis factor (TNF) abnormalities with dermatomyositis.
CLINICAL MANIFESTATIONS
Persons with dermatomyositis often present with skin disease as one of the initial manifestations. In perhaps as many as 40% of individuals with dermatomyositis, the skin disease is the sole manifestation at onset. Muscle disease may occur concurrently, may precede the skin disease, or may follow the skin disease by weeks to years.
Skin lesions observed in approximately 35-45% of patients.
Purple erythema – localized on the eyelids, in the area of the temples, forehead, nasolabial folds.

http://health-niche.com/polymyositis/dermatomyositis
As a result, periorbital edema with typical purple color formed the so-called symptom” glasses.” This is the most pathognomonic feature of DM.

https://www.dermquest.com/image-library/image/5044bfd1c97267166cd67165

http://www.skincareguide.com/gl/d/dermatomyositis.html
Heliotrope: a violaceous eruption with periorbital edema
Gottron lesions, scaly erythematous eruptions or red patches overlying the knuckles, elbows, and knees are a characteristic feature of Dermatomyositis. Other skin manifestations involve periungual telangiectasias and a heliotropic (purple) rash over the upper eyelids.

http://hardinmd.lib.uiowa.edu/dermnet/dermatomyositis4.html

http://emedicine.medscape.com/article/332783-clinical#a0256
Ulceration over dorsal and lateral fingers in patient with dermatomyositis.
V-shaped rash – confluent erythematous rash on exposed parts of the body: the front surface of the chest – chest area.

http://www.dermis.net/dermisroot/en/1269539/image.htm
Mechanic’s hands refers to rough, cracked skin at the tips and lateral aspects of the fingers forming irregular dirty-appearing lines that resemble those seen in a laborer .

http://hardinmd.lib.uiowa.edu/ui/tray/dermatomyositis1.html
Nail ridges lesion – hyperemia of nail ridges, hyperkeratosis, telangiectasias.

http://hardinmd.lib.uiowa.edu/dermnet/dermatomyositis3.html
Calcinosis caused by dermatomyositis in childhood can be observed in patient who had active dermatomyositis 15 years before time of this photograph.

http://emedicine.medscape.com/article/332783-clinical#a0256
Muscle tenderness may occur but is not a regular feature of dermatomyositis. Muscle involvement manifests as proximal muscle weakness. Affected patients often begin to note muscle fatigue or weakness when climbing stairs, walking, rising from a sitting position, combing their hair, or reaching for items in cabinets that are above their shoulders.

http://hardinmd.lib.uiowa.edu/dermnet/dermatomyositis2.html

http://emedicine.medscape.com/article/332783-clinical#a0256
Calcifying panniculitis in patient with dermatomyositis.
Manifestations of the disease dermatomyositis may also be systemic. The presence of arthritis, arthralgia, dysphagia, dyspnea, dysphonia, and arrhythmia are some of the systemic manifestations caused by dermatomyositis.
Diagnostic Criteria Dermatomyositis and Polymyositis
Polymyositis:
Definite: all of A-D (4)
Probable: any 3 of A-D
Possible: any 2 of A-D
Laboratory investigations
Muscle enzyme levels are often abnormal during the course of dermatomyositis, except in patients with amyopathic dermatomyositis (ADM). The most sensitive/specific enzyme is elevated creatine kinase (CK), but aldolase studies and other tests (eg, for aspartate aminotransferase [AST] or lactic dehydrogenase [LDH]) may also yield abnormal results.
At times, the elevation of the enzymes precedes the appearance of clinical evidence of myositis. Thus, if a patient who is presumably stable develops an elevation of an enzyme that was previously within the reference range, the clinician should assess the possibility of a flare of the muscle disease.
Several serologic abnormalities have been identified and may be helpful in the classification of subtypes for prognosis, but they are not used for routine diagnosis. As a group, these antibodies have been termed myositis-specific antibodies (MSAs). These autoantibodies occur in about 30% of all patients with dermatomyositis or polymyositis.
A positive antinuclear antibody (ANA) finding is common in patients with dermatomyositis.
Anti–Mi-2 antibodies are highly specific for dermatomyositis, but their sensitivity is low, because only 25% of patients with dermatomyositis demonstrate them. These autoantibodies are associated with acute-onset classic dermatomyositis with the V-shaped and shawl rash (poikiloderma) and a relatively good prognosis.
Anti–Jo-1 (antihistidyl transfer RNA [t-RNA] synthetase) antibodies are more common in patients with polymyositis than in patients with dermatomyositis. They are associated with pulmonary involvement (interstitial lung disease), Raynaud phenomenon, arthritis, and mechanic’s hands.
Other MSAs include antisignal recognition protein (anti-SRP), associated with severe polymyositis, and anti–PM-Scl and anti-Ku, which are associated with overlapping features of myositis and scleroderma.
One study found that autoantibody against p155 was highly related to cancer-associated myositis and could be a reliable marker of cancer in patients with dermatomyositis.
Instrumental investigations
MRI may be useful in assessing for the presence of an inflammatory myopathy in patients without weakness. It can assist in differentiating steroid myopathy from continued inflammation and may serve as a guide in selecting a muscle biopsy site.
Chest radiography should be obtained at the time of diagnosis and when symptoms develop.
A barium swallow allows evaluation of esophageal dysmotility.
Ultrasonography of the muscles has been suggested for evaluation but has not been widely accepted.
EMG is a means of detecting muscle inflammation and damage and has, at times, been useful in selecting a muscle biopsy site. Since the introduction of muscle MRI, EMG has been obtained less commonly in this setting.
CT scanning is useful in the evaluation of potential malignancy that might be associated with inflammatory myopathy.
Other tests may include the following:
· Pulmonary function studies
· Electrocardiography (ECG)
· Esophageal manometry (in selected patients)
Muscle biopsy, either open or via a needle, may enhance the clinician’s ability to diagnose dermatomyositis. The biopsy results may be useful in differentiating steroid myopathy from active inflammatory myopathy when patients have been on corticosteroid therapy but are still weak.
Skin biopsy reveals an interface dermatitis that is difficult to differentiate from lupus erythematosus. Vacuolar changes of the columnar epithelium and lymphocytic inflammatory infiltrates at the dermal-epidermal junction basement membrane can occur.

http://emedicine.medscape.com/article/332783-workup#aw2aab6b5b5aa
Histopathology of dermatomyositis is interface dermatitis.
Findings on muscle biopsy can be diagnostic. Muscle biopsy in patients with dermatomyositis reveals perivascular and interfascicular inflammatory infiltrates with adjoining groups of muscle fiber degeneration/regeneration. This contrasts with polymyositis infiltrates, which are mainly intrafascicular (endomysial inflammation) with scattered individual muscle fiber necrosis.

http://emedicine.medscape.com/article/332783-workup#aw2aab6b5b5aa
Histopathology of dermatomyositis showing inflammatory myopathic changes with a predominantly perivascular chronic inflammatory infiltrate.
Treatment
Therapy for the muscle disease. In patients with muscle weakness, especially children, a program of physical therapy is useful to help prevent the contractures that can complicate the disease when patients do not fully move their joints.
For patients with dysphagia, elevating the head of their bed and having them avoid eating prior to bedtime are helpful. These simple maneuvers may prevent aspiration pneumonitis. Occasionally, nasogastric tube feeding is needed to increase caloric input.
The mainstay of therapy for the muscle disease is systemically administered corticosteroids. Traditionally, prednisone (0.5-2 mg/kg/d) up to a dose of 60 mg/d is given as initial therapy for 1-3 monthes. The drug should be slowly tapered to avoid relapse of the disease. Because most patients develop steroid-related toxic effects, many authorities administer an immunosuppressive or cytotoxic agent early in the course: the use of drugs such as methotrexate (7,5-20 mg/week), azathioprine (2-3 mg/kg/day, supporting dose – 50 mg/day), cyclosporine A (5 mg/kg/day, supporting dose 2-2,5mg/kg/day) is improved. For conditions that do not improve, the use of monthly high-dose intravenous immune globulin (IVIG) for 6 months has proved beneficial in the short term. In addition to its positive effects on refractory muscle and skin disease, IVIG has been reported to be beneficial for other systemic manifestations, including severe esophageal dysfunction. One report suggested that rituximab, a chimeric antibody directed against CD20+ B cells, may be effective. However, other reports have failed to produce positive results for the skin.
Therapy of cutaneous disease of dermatomyositis is often difficult. Some patients with dermatomyositis present primarily with skin disease (amyopathic dermatomyositis (ADM)), whereas others present with a muscle component that is controlled but with significant ongoing skin disease. First-line therapy is to recognize that the patient is photosensitive and to prescribe sun avoidance and sun protection measures, including broad-spectrum sunscreens. The cutaneous component of dermatomyositis is exacerbated by sunlight and other sources of ultraviolet light; in addition, the muscle component may be exacerbated.
Hydroxychloroquine and chloroquine have been beneficial in small, open-label case studies; however, roughly 25-30% of patients with dermatomyositis who are treated with an antimalarial agent develop a drug eruption. Methotrexate is useful. IVIG not only benefits the muscle but also clears the skin lesions in the patients in whom it is used. Rituximab has been used for skin disease, but the results are mixed.
Treatment Calcinosis. Aggressive early treatment of the myositis may aid in preventing calcinosis. Once established, the process of calcinosis is debilitating in many patients. Although spontaneous remission is possible, it often takes many years to occur. The use of the calcium channel blocker diltiazem (240 mg) is reportedly associated with gradual resolution of calcinosis in a small number of cases. In addition, the use of an oral bisphosphonate might be helpful. Intravenous (IV) pamidronate has been demonstrated in several cases to result in resolution of the calcinosis. Colchicine, alendronate, and warfarin appear to be potentially beneficial for the resolution of calcinosis, though the data are not conclusive.
Recommendations. A well-balanced diet is useful. Patients with severe muscle inflammation may need extra protein to balance their loss. Patients with dysphagia should avoid eating before bedtime; they may require a special diet, depending on the severity of the esophageal dysfunction.
Activity should be maintained as much as possible in patients with dermatomyositis; however, avoid vigorous physical training should be avoided when the myositis is active. Exercises to maintain the patient’s range of motion are advised. Sun avoidance and sun protection measures are recommended in patients with skin lesions.
Prognosis. 5-year survival in idiopathic DM / PM and in combination with diffuse connective tissue diseases with timely use of glucocorticoids is 85%. In patients with DM / PM in conjunction with malignant formations much worse. Survival also depends on serological groups of patients. In patients where determined anti-Mi-2 antibodies weather is very favorable, and 5-year survival rate exceeds 90%. Most poor prognosis in patients with anti-SRP-antibody 5-year survival rate in them is less than 30%.
References
A –
1. Davidson’s Principles and practice of medicine (21st revised ed.) / by Colledge N.R., Walker B.R., and Ralston S.H., eds. – Churchill Livingstone, 2010. – 1376 p.
2.
3. The Merck Manual of Diagnosis and Therapy (nineteenth Edition)/ Robert Berkow, Andrew J. Fletcher and others. – published by Merck Research Laboratories, 2011.
4. Web -sites:
A. http://intranet.tdmu.edu.ua/data/kafedra/internal/index.php?&path=vnutrmed2/classes_stud
D. http://emedicine.medscape.com/
E. http://meded.ucsd.edu/clinicalmed/introduction.htm
B – Additional:
1. Scleroderma: From Pathogenesis to Comprehensive Management [Hardcover]/John Varga.; Christopher P. Denton.; Fredrick M. Wigley/ Springer.- 2011.- 709 p.
2. Systemic Lupus Erythematosus / Smolen, Josef S.; Zielinski, Christoph C.; Geyer, G. -2012. – 200 p.
3. Clinical Rheumatology (The Clinical Medicine Series) 12 edition/ Pacific Primary Care Software PC/ M.D., C. G. Weber.- 2011.- 526 p.
4. Kelley’s Textbook of Rheumatology, 9th Revised edition / Firestein, Gary S.; Budd, Ralph C.; Gabriel, Sherine E.; O’Dell, James R.; McInnes, Iain B.-2012.- 2292 p.